Foram encontradas 390 questões.
- Protocolos de Exames de Medicina NuclearBases Físicas e Tecnológicas
- Protocolos de Exames de Medicina NuclearTécnicas Radiográficas em Tomografia Computadorizada
A ponderação T2 nas imagens de ressonância magnética
caracteriza
Provas
Questão presente nas seguintes provas
Observe a imagem a seguir.

Sobre a imagem acima, é correto afirmar que
Provas
Questão presente nas seguintes provas
Como qualquer outra medicação, os meios de contraste não estão
isentos de riscos, podendo ocasionar reações adversas após o seu
uso. Felizmente, as reações adversas relacionadas aos meios de
contraste não são comuns e, quando ocorrem, são geralmente
leves ou moderadas. Preocupações referentes ao tema ocorrem
na prática clínica, pois algumas das reações adversas não são
previsíveis e, em raras ocasiões, podem ser graves, apresentando
risco de morte.
Quanto à temporalidade, essas reações adversas tipicamente são
Quanto à temporalidade, essas reações adversas tipicamente são
Provas
Questão presente nas seguintes provas
Um controle de qualidade essencial realizado em equipamentos
de ressonância magnética (RM) é
Provas
Questão presente nas seguintes provas
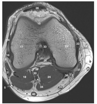
Observe a imagem a seguir.

Os números 10, 17 e 28 na ressonância magnética acima indicam as seguintes estruturas:
Provas
Questão presente nas seguintes provas
Observe a figura a seguir.

Em relação à figura acima, é correto afirmar que
Provas
Questão presente nas seguintes provas
Observe a imagem a seguir.

Os números 17, 23 e 26 na ressonância magnética acima indicam as seguintes estruturas:
Provas
Questão presente nas seguintes provas
Em relação à segurança em um exame de ressonância magnética,
assinale a afirmativa correta.
Provas
Questão presente nas seguintes provas
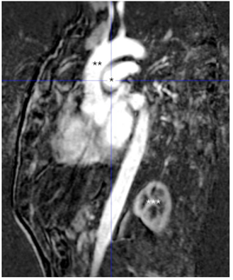
Observe a imagem a seguir.

A RM mostrada acima mostra o seguinte plano e a seguinte provável doença:
Provas
Questão presente nas seguintes provas
Com relação à eliminação do meio de contraste em um exame de
ressonância magnética, é correto afirmar que
Provas
Questão presente nas seguintes provas
Cadernos
Caderno Container