Foram encontradas 390 questões.
A enteroressonância tem como objetivo avaliar possíveis
alterações no sistema gastrointestinal, principalmente doenças
que acometem o intestino delgado.
Em relação ao tema, assinale a afirmativa correta.
Em relação ao tema, assinale a afirmativa correta.
Provas
Questão presente nas seguintes provas
Os meios de contraste paramagnéticos são utilizados na
ressonância magnética (RM) para aprimorar o contraste entre os
tecidos avaliados, melhorando a qualidade final da imagem.
Esses meios de contraste são denominados de paramagnéticos porque
Esses meios de contraste são denominados de paramagnéticos porque
Provas
Questão presente nas seguintes provas
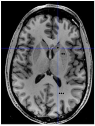
Observe a imagem a seguir.

As três áreas com asteriscos correspondem, respectivamente, às seguintes estruturas:
Provas
Questão presente nas seguintes provas

A seta na ressonância magnética acima está indicando a seguinte estrutura:
Provas
Questão presente nas seguintes provas
- Protocolos de Exames de Medicina NuclearBases Físicas e Tecnológicas
- Protocolos de Exames de Medicina NuclearTécnicas Radiográficas em Tomografia Computadorizada
Na ressonância magnética as sequências são padrões específicos
de pulsos de rádio e gradientes de campo magnético que
manipulam a forma como os prótons reagem, gerando imagens
com diferentes características.
Em relação ao tema, assinale a afirmativa correta.
Em relação ao tema, assinale a afirmativa correta.
Provas
Questão presente nas seguintes provas
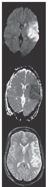
Observe a sequência de imagens Difusão, ADC e T2 em paciente
com Acidente Vascular Cerebral (AVC), adquiridas duas horas após
o evento.
A área afetada pelo AVC corresponde ao seguinte território vascular:
A área afetada pelo AVC corresponde ao seguinte território vascular:
Provas
Questão presente nas seguintes provas
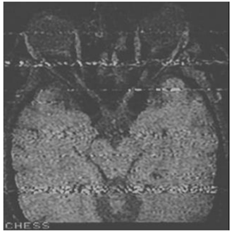
Os artefatos podem ser originários do magneto, do gradiente de
campo magnético, do sistema de radiofrequência, da técnica de
aquisição, do paciente ou de componentes externos ao aparelho.
Acerca do item, observe a imagem a seguir.
A imagem descreve um artefato
A imagem descreve um artefato
Provas
Questão presente nas seguintes provas

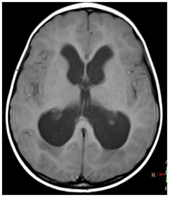
RM de paciente encontrado irresponsivo, com tempo de início dos sintomas desconhecido.
Baseado nesse exame, assinale a afirmativa correta.
Provas
Questão presente nas seguintes provas
Observe o exame a seguir.

Esse exame mostra
Provas
Questão presente nas seguintes provas

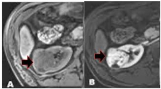
Com relação à lesão acima, assinalada pela seta, é correto afirmar que se trata de
Provas
Questão presente nas seguintes provas
Cadernos
Caderno Container