Foram encontradas 460 questões.
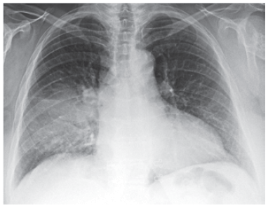
Mulher de 42 anos, sem comorbidades, apresenta quadro de 3 dias de anorexia, prostração, febre e tosse. Não há espirros, rinorreia ou disfonia. Ela nega tabagismo, etilismo e uso de drogas. Exame físico: temperatura: 38,5 ºC; frequência respiratória: 18 ipm; pressão arterial: 120 x 80; frequência cardíaca: 95 bpm; oximetria de pulso com saturação de 97%; ausculta pulmonar com crepitações em metade de hemitórax direito. Teste rápido de COVID e influenza são negativos. A radiografia de tórax realizada é mostrada a seguir.

Com os dados descritos, é correto afirmar:
Provas
Mulher de 66 anos apresenta quadro de 2 meses de evolução com anorexia, perda de peso, anemia ferropriva e diarreia episódica sanguinolenta. Não há etilismo. A tomografia de abdome realizada é mostrada a seguir.

O exame com maior probabilidade de demonstrar a etiologia do quadro descrito é
Provas
Homem de 67 anos que faz uso de aspirina infantil, metformina, gliclazida, enalapril e anlodipino é avaliado em consulta de rotina. O prontuário revela quadro de anemia de 9 meses de evolução. Seu exame físico é normal. Exames séricos da semana anterior mostram: hemoglobina: 8,1 g/dL; volume corpuscular médio: 113 fL; leucócitos: 3 800/mm3; plaquetas: 147 000/mm3.
O medicamento que, mais provavelmente, deve ter causado as alterações descritas é
Provas
Qual medicação usada no tratamento do diabete melito tipo 2 tem maior chance de produzir perda de peso?
Provas
Homem de 49 anos é atendido em consulta de rotina. Ele relata sentir-se bem e não há histórico de diabetes ou doença arterial coronariana. Nos últimos 3 meses, as medidas de pressão arterial (PA) oscilaram entre 155 x 92 a 162 x 96 mmHg. Hoje, o exame físico é normal, e a PA é 165 x 98 mmHg à chegada, com valor semelhante após 20 minutos. Exames séricos são normais.
Nesse paciente, a recomendação de escolha é
Provas
Em relação às síndromes vertiginosas, é correto afirmar:
Provas
Em relação à vigilância em saúde, constitui uma doença de notificação compulsória:
Provas
Em relação às infecções de vias aéreas superiores, é correto afirmar:
Provas
Em relação ao tratamento medicamentoso do paciente com depressão e transtorno da ansiedade generalizada no paciente idoso, constitui uma medicação de escolha:
Provas
Constitui uma afirmação correta em relação ao Código de Ética Médica (CEM):
Provas
Caderno Container