Foram encontradas 40 questões.
Homem de 84 anos é avaliado em consulta domiciliar de rotina. Ele é portador de depressão, hipertensão arterial, DPOC e demência leve, em uso de budesonida, formoterol, escitalopram (10 mg/dia), enalapril e anlodipino. A cuidadora refere que o paciente tem falado coisas estranhas e incoerentes, que os vizinhos o observam e riem dele, e conversa com os quadros na parede. Na avaliação de hoje, ele está choroso, diz que tem ficado sem energia e que está magoado com os vizinhos. Não há ideação suicida e ele apresenta depressão moderada na avaliação médica. Exame físico: alerta, atento e orientado para si mesmo e seu endereço, mas não consegue nomear o ano ou o mês; sinais vitais: normais; restante dos exames físico e neurológico não apresentam alteração relevante. Não há quadro infeccioso ou metabólico associado.
Nesse momento, o próximo passo de escolha é
Provas
Homem de 19 anos, com história de diabete tipo 1, apresenta quadro de dor no quadrante superior direito, náuseas e febre há 2 dias. Glicemia capilar: 156 mg/dL. Ao exame físico: orientado, consciente, corado e anictérico; temperatura: 39,2 ºC; frequência cardíaca: 98 bpm; pressão arterial: 111 x 72 mmHg; oximetria de pulso normal; dor à palpação do hipocôndrio direito com sinal de Murphy positivo. Exames laboratoriais: hemoglobina: 13,8 g/dL; leucócitos: 14 000/mm3; alanina aminotransferase: 50 U/L; aspartato aminotransferase: 40 U/L; bilirrubina total: 1,2 mg/dL; eletrólitos, coagulograma, função renal e fosfatase alcalina são normais. Ultrassom mostra vesícula biliar distendida, com cálculos e parede espessada.
Além de antibióticos, qual é o tratamento mais adequado?
Provas
Homem de 82 anos é avaliado em consulta domiciliar de rotina. Ele tem histórico de osteoartrose (com dificuldade de deambular) e insuficiência cardíaca (fração de ejeção de 26%). As medicações em uso são: losartana (100 mg/dia), furosemida (80 mg/dia), sinvastatina (40 mg/dia) e aspirina (100 mg/dia). No momento, ele está eupneico, estável, sem congestão, com frequência cardíaca de 85 bpm e pressão arterial de 132 x 78 mmHg. Exames realizados há 1 semana mostraram hemograma, ureia, creatinina, sódio, potássio e glicemia normais.
Admitindo-se que não há contraindicações, a próxima medicação que deve ser adicionada a esse paciente é
Provas
Homem de 57 anos, com cirrose de etiologia alcoólica, apresenta quadro agudo de confusão e sonolência. Ele está afebril, e os sinais vitais são normais. O exame físico é notável por icterícia, asterixis e ascite moderada. Os medicamentos em uso são: furosemida, espironolactona e lactulose e rifaximina. Atualmente, o paciente está listado para transplante de fígado. Exames séricos: hemoglobina: 10,3 g/dL; leucócitos: 5 800/mm3; plaquetas: 52 000/mm3; sódio: 133 mEq/L; creatinina: 1,3 mg/dL; bilirrubina total: 2,9 g/dL; albumina: 2,9 g/dL; coagulograma alterado (RNI de 1,7).
Nesse momento, o próximo passo recomendado é
Provas
Mulher de 32 anos relata quadro de 1 semana com vermelhidão ocular e lacrimejamento bilateral, associados a dor de garganta e tosse seca. A paciente apresenta fadiga, adinamia, letargia e disfonia. Ao exame físico: sinais vitais são normais; hiperemia conjuntival bilateral; a acuidade visual é normal; há eritema faríngeo significativo, mas sem exsudato; não há adenomegalia cervical; o exame pulmonar é normal.
Nessa circunstância, é correto afirmar:
Provas
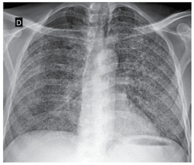
Paciente de 33 anos, HIV positivo, apresenta quadro de 1 mês com tosse seca, febre noturna, perda de peso, sudorese intensa, anorexia, adinamia e queda do estado geral. Ele não faz tratamento antirretroviral. Nega escarro hemoptoico e sintomas neurológicos ou gastrointestinais. Exame físico: consciente, orientado e anictérico; pressão arterial: 110 x 65 mmHg; pulso: 112 bpm; temperatura: 37,3 ºC; oximetria de pulso com saturação de 91%. A desidrogenase lática sérica é normal. A radiografia realizada é mostrada a seguir.

A principal hipótese diagnóstica é
Provas
Homem de 62 anos refere dispneia progressiva, piora da tosse e aumento da produção de escarro por vários dias. Ele é fumante ativo com história de doença pulmonar obstrutiva crônica, em uso de fluticasona/salmeterol e salbutamol. Sua tolerância ao exercício agora está limitada a sair da cama, com piora da sua linha de base. O teste de função pulmonar recente mostra: capacidade vital forçada (CVF) de 3,52 L; volume expiratório forçado de 1º segundo (VEF1) de 40%; VEF1/CVF de 40%; ausência de resposta à broncodilatação. Ele teve 3 internações nos últimos 12 meses.
A conduta que tem maior probabilidade de reduzir a chance de reinternação hospitalar dele é associar
Provas
Homem de 47 anos refere queixas de fadiga, mal-estar, febre e urina escura há 4 dias. Relata que voltou de uma viagem há 3-4 semanas para uma grande capital do país, onde admite ter tido atividade sexual de alto risco (sem preservativo). Não há diarreia ou ingestão de saladas, verduras, água não potável e alimentos de risco para infecção gastrintestinal de origem oral-fecal. Ao exame físico: sinais vitais normais; consciente e orientado; icterícia 2+/4; tremor flapping (asterixis) negativo; não há ascite; dor discreta à palpação do hipocôndrio direito. Exames séricos: bilirrubina direta: 6,4 mg/dL; bilirrubina indireta: 1,1 mg/dL; alanina aminotransferase: 1 546 U/L; aspartato aminotransferase: 945 U/L; albumina e coagulograma são normais. A ultrassonografia abdominal é normal.
Admitindo-se a principal hipótese diagnóstica, é correto afirmar:
Provas
Em relação à insuficiência cardíaca (IC) com fração de ejeção reduzida, é correto afirmar:
Provas
Paciente de 69 anos de idade, em tratamento paliativo com quimioterápicos para câncer de pulmão, é avaliado em consulta de rotina. Refere quadro de dor intensa em extremidades que ele descreve como “em choque” com sensação de “alfinetadas”, pior à noite. Além disso, ele tem se sentido triste, chorando com facilidade e sensação de falta de esperança, preenchendo critérios para depressão moderada. Morfina e paracetamol são iniciados.
Admitindo-se que não há contraindicação, o tratamento adjuvante de escolha para o quadro clínico descrito é
Provas
Caderno Container