Foram encontradas 1.112 questões.
Paciente de 72 anos, masculino, branco, chega ao consultório queixando-se de piora da AV para longe há 1 ano.
Refere que nunca usou óculos para longe, apenas para
perto, mas que, ultimamente, estava conseguindo ler de
perto sem óculos.
Ao realizar o exame biomicroscópico, notou-se a presença de catarata nuclear bilateral, e o paciente conseguia ler J1 a 33 cm OD e a 25 cm OE, sem correção.
Antes mesmo de realizar o exame refracional no paciente, pode-se supor, corretamente, que esse paciente está com miopia de
Ao realizar o exame biomicroscópico, notou-se a presença de catarata nuclear bilateral, e o paciente conseguia ler J1 a 33 cm OD e a 25 cm OE, sem correção.
Antes mesmo de realizar o exame refracional no paciente, pode-se supor, corretamente, que esse paciente está com miopia de
Provas
Questão presente nas seguintes provas
Para realizar uma injeção intravítrea, deve-se realizá-la
na região da pars plana para minimizar o risco de dano
ao cristalino ou à retina. Portanto, o local ideal para a
injeção deve ser, em olhos fácicos emétropes,
Provas
Questão presente nas seguintes provas
Em relação ao transtorno do espectro autista (TEA), é
correto afirmar que
Provas
Questão presente nas seguintes provas
4028958
Ano: 2026
Disciplina: Saúde Pública
Banca: VUNESP
Orgão: Pref. São José Rio Preto-SP
Disciplina: Saúde Pública
Banca: VUNESP
Orgão: Pref. São José Rio Preto-SP
Provas:
A primeira linha de tratamento medicamentoso no transtorno de déficit de atenção e hiperatividade (TDAH) é
Provas
Questão presente nas seguintes provas
Adolescente de 13 anos apresenta história de dificuldade escolar progressiva, ataxia, distonia e alteração na
movimentação ocular caracterizada por incapacidade de
realizar sacadas verticais (paralisia supranuclear do olhar
vertical). A família relata episódios de cataplexia desencadeada por riso e piora gradual do equilíbrio. O exame físico
mostra esplenomegalia.
Com base nesse quadro clínico, o diagnóstico provável é
Com base nesse quadro clínico, o diagnóstico provável é
Provas
Questão presente nas seguintes provas
Sobre a doença associada ao anticorpo contra a glicoproteína da mielina de oligodendrócitos (MOGAD), é correto
afirmar:
Provas
Questão presente nas seguintes provas
Em relação aos distúrbios do sono na infância, é correto
afirmar que
Provas
Questão presente nas seguintes provas
Em relação à síndrome do X-frágil, é correto afirmar que
Provas
Questão presente nas seguintes provas
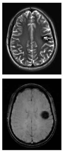
Adolescente de 16 anos realiza exame de imagem por
ressonância magnética do crânio para investigação de
epilepsia focal. O exame demonstra a alteração a seguir
(imagem ponderada em T2 e imagem ponderada em suscetibilidade magnética (SWI), respectivamente):
(Arquivo pessoal; imagens usadas com autorização)
Considerando o exposto, é correto afirmar que o achado das imagens é compatível com
(Arquivo pessoal; imagens usadas com autorização)
Considerando o exposto, é correto afirmar que o achado das imagens é compatível com
Provas
Questão presente nas seguintes provas
Criança de 6 anos apresenta torcicolo, há 3 semanas,
associado a episódios de vômitos matinais e marcha instável. Nas últimas 48 horas, os pais notaram piora da coordenação motora e sonolência progressiva. Ao exame,
observa-se nistagmo, ataxia de marcha e rigidez cervical.
O fundo de olho revela papiledema.
Diante desse quadro clínico, a conduta adequada é
Diante desse quadro clínico, a conduta adequada é
Provas
Questão presente nas seguintes provas
Cadernos
Caderno Container