Magna Concursos

Foram encontradas 385 questões.

2263456 Ano: 2022
Disciplina: Medicina
Banca: VUNESP
Orgão: Pref. Piracicaba-SP
Provas:

Sobre a fisiopatologia das hidrocefalias, dinâmica e fisiologia do liquor, assinale a alternativa correta.

 

Provas

Questão presente nas seguintes provas
2263455 Ano: 2022
Disciplina: Medicina
Banca: VUNESP
Orgão: Pref. Piracicaba-SP
Provas:

Sobre tumores da coluna, pode-se afirmar que

 

Provas

Questão presente nas seguintes provas
2263454 Ano: 2022
Disciplina: Medicina
Banca: VUNESP
Orgão: Pref. Piracicaba-SP
Provas:

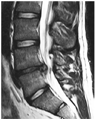
Observe a imagem a seguir.

Enunciado 2263454-1

Uma hérnia de disco lombar em segmento L4-L5 que ocorre em paciente jovem, com quadro agudo de forte ciática para MID, apresentando boa marcha após uso de AINES, mas paresia na extensão do hálux D e na dorsiflexão do pé, tem como melhor conduta:

 

Provas

Questão presente nas seguintes provas
2263453 Ano: 2022
Disciplina: Medicina
Banca: VUNESP
Orgão: Pref. Piracicaba-SP
Provas:

Uma MAV de sistema nervoso localizada no cerebelo na topografia de núcleo denteado, com 4,5 cm de nidus e com drenagem venosa predominante para veia cerebral interna é classificada como Spetzler-Martin:

 

Provas

Questão presente nas seguintes provas
2263452 Ano: 2022
Disciplina: Medicina
Banca: VUNESP
Orgão: Pref. Piracicaba-SP
Provas:

Sobre os glioblastomas, pode-se afirmar que

 

Provas

Questão presente nas seguintes provas
2263451 Ano: 2022
Disciplina: Medicina
Banca: VUNESP
Orgão: Pref. Piracicaba-SP
Provas:

Sobre a neurofibromatose do tipo II (NF2), pode-se afirmar que

 

Provas

Questão presente nas seguintes provas
2263450 Ano: 2022
Disciplina: Medicina
Banca: VUNESP
Orgão: Pref. Piracicaba-SP
Provas:

Sobre a esclerose tuberosa, pode-se afirmar que

 

Provas

Questão presente nas seguintes provas
2263449 Ano: 2022
Disciplina: Medicina
Banca: VUNESP
Orgão: Pref. Piracicaba-SP
Provas:

Observe a imagem.

Enunciado 2263449-1

Um macroadenoma que possui extensão lateral que termina entre a linha intercarotídea e a margem lateral do seio cavernoso é classificado como KNOSP:

 

Provas

Questão presente nas seguintes provas
2263448 Ano: 2022
Disciplina: Medicina
Banca: VUNESP
Orgão: Pref. Piracicaba-SP
Provas:

A síndrome medular incompleta mais comumente observada nos traumatismos da coluna vertebral é a síndrome

 

Provas

Questão presente nas seguintes provas
2263447 Ano: 2022
Disciplina: Medicina
Banca: VUNESP
Orgão: Pref. Piracicaba-SP
Provas:

Sobre os meningeomas da coluna, assinale a alternativa correta.

 

Provas

Questão presente nas seguintes provas