Foram encontradas 385 questões.
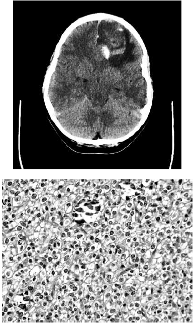
Paciente de 30 anos com quadro de cefaleia há alguns meses e história de primeira crise convulsiva há 1 semana. Não apresenta deficits neurológicos.
Apresenta esta imagem de tomografia computadorizada sem contraste e, após a cirurgia, observa-se tal lâmina em cortes HE.

Qual a sua impressão diagnóstica:
Provas
Sobre o conceito de morte encefálica, é correto afirmar que
Provas
Na síndrome de Villaret, encontra-se dano aos seguintes sistemas e/ou nervos cranianos:
Provas
Sobre a doença de Moya-Moya, assinale a alternativa correta.
Provas
Sobre os meduloblastomas, pode-se afirmar:
Provas
Na hidrocefalia de pressão normal, observa-se:
Provas
Sobre os adenomas hipofisários, pode-se afirmar que
Provas
É situação indicativa de monitorização de pressão intracraniana:
Provas
Sobre a monitorização neurofisiológica intraoperatória, assinale a alternativa correta.
Provas
Paciente vítima de queda de moto com capacete, relatando fortes dores em região dorsal, sem deficits motores nem sensitivos ao exame clínico. Em investigação radiológica com tomografia e ressonância identificou-se fratura de corpo de T12 tipo compressão com comprometimento de muro posterior, lesão de ligamentos interespinhosos e supraespinhosos entre T11 e T12, conforme imagem a seguir.

Qual a melhor conduta conforme preconizado por escore TLICS?
Provas
Caderno Container