Foram encontradas 385 questões.
Descritos em 1900 por Karl Landsteiner, os sistemas de grupos sanguíneos ABO marcaram o início da grande individualidade dos antígenos eritrocitários presentes na membrana do eritrócito. A transfusão de um tipo ABO incorreto pode resultar na morte do paciente, com uma reação hemolítica intravascular, seguida de alterações imunológicas e bioquímicas.
Em relação aos antígenos que compõem os sistemas ABO, assinale a alternativa correta.
Provas
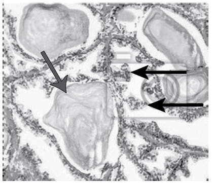
Paciente OM, 55 anos, foi ao Mato Grosso em uma excursão de pescaria. Em seu retorno de viagem, apresentou calafrios, febre e edemas em suas pernas. O primeiro exame liberado foi o hemograma acusando a presença de uma anemia normocítica/normocrômica.
Imagem: Lâmina de esfregaço distendido e gota espessa

(Imagem gentilmente cedida pelo Laboratório de Parasitologia do Centro Universitário FMABC)
De acordo com as imagens dadas, o parasita encontrado é
Provas
O câncer de próstata (CP) é a neoplasia mais frequente em homens e a 2a maior causa de morte entre homens no Brasil. A imagem a seguir foi realizada através de anatomopatológico de um paciente de 58 anos, etnia negra e que possui o exame nível sérico de Antígeno Prostático Específico (PSA) elevado – 5,2 ng/mL, para se necessário realizar o estadiamento na escala de Gleason.
Com base no arranjo das células conforme imagem, trata-se de
Imagem: Lâmina de anatomopatológico da próstata

(Imagem gentilmente cedida pelo Laboratório de Patologia Clínica da FMABC)
Provas
A aldosterona e a renina plasmáticas são solicitadas em conjunto quando um paciente apresenta pressão arterial elevada e hipocalemia.
A aldosterona é produzida pelas células situadas em
Provas
O Sequenciamento de Nova Geração (NGS) é altamente eficiente no diagnóstico molecular de doenças genéticas e cânceres hereditários ou não hereditários. Ressalta-se a importância do cuidado na interpretação do resultado junto à clínica.
Em relação a essa metodologia, considera- se correto o seguinte:
Provas
As hepatites virais constituem uma relevante questão de saúde pública no Brasil e no mundo. Essas infecções são causadas por agentes hepatotrópicos primários e podem evoluir de forma aguda (até mesmo fulminante) ou crônica, de forma sintomática ou assintomática, dependendo do agente viral envolvido e de fatores imunogenéticos do paciente. Na maioria das vezes, são infecções silenciosas, ou seja, não apresentam sintomas.
Os testes laboratoriais marcadores de triagem para a hepatite B são:
Provas
A doença de von Willebrand (DVW) é um distúrbio hemorrágico resultante de defeito quantitativo e/ou qualitativo do fator von Willebrand (FVW). O diagnóstico clínico da DVW baseia-se na presença de três condições: história pessoal de sangramentos cutâneos e mucosos, história familiar de manifestações hemorrágicas e exames laboratoriais que demonstrem um defeito quantitativo e/ou qualitativo do FVW.
Os exames laboratoriais utilizados como testes confirmatórios para o diagnóstico da doença são:
Provas
Diminuir os riscos relacionados à transfusão de sangue, principalmente no que se refere à transmissão de doenças. Neste contexto, apresentam-se os procedimentos da triagem clínica cujo objetivo é proteger tanto os doadores, quanto os pacientes que vão receber a transfusão. A triagem de doadores inclui três etapas básicas: registro do doador, triagem clínica e triagem sorológica. Na triagem sorológica, tem-se a etapa de avaliação do sangue a partir da investigação de doenças transmissíveis.
Encontram- se na lista de investigação obrigatória na triagem sorológica as seguintes doenças:
Provas
Em um hospital local, suspeita-se de troca de bebês na maternidade. Foram realizados os testes de tipagem sanguínea com fator RH e sistema MNS (sistema sanguíneo que testa a capacidade de aglutinação de hemácias humanas) nos recém-nascidos e seus pais. Os resultados estão descritos a seguir:
| RECÉM-NASCIDOS | FAMÍLIAS | ||
| MÃE | PAI | ||
| I. O, N, Rh– | 1 | B, MN, Rh– | AB, N, Rh+ |
| II. B, N, Rh+ | 2 | AB, MN, Rh– | AB, MN, Rh+ |
| III. B, MN, Rh+ | 3 | B, M, Rh– | B, N, Rh+ |
Baseado nos resultados dos exames de sangue citados, os pais corretos dos recém-nascidos I, II e III são, respectivamente:
Provas
A pandemia da doença causada pelo novo Coronavírus 2019 (SARS-CoV-2) tem impactado o cenário mundial, agravando as taxas de morbidade e mortalidade. Diante desse contexto, foram desenvolvidos diversos tipos de teste para o diagnóstico da infecção. Atualmente, os mais utilizados e difundidos são os testes de RT-PCR (Real Time PCR) e Antígeno para Covid-19.
Assim, observa-se a seguinte característica no teste Antígeno para Covid-19:
Provas
Caderno Container