Foram encontradas 740 questões.
A primeira figura é uma foto de um ecocardiograma realizado em um recém-nascido com tumores múltiplos na parede lateral do ventrículo direito sem causar obstruções. A segunda figura é uma foto de um ecocardiograma realizado na mesma criança aos quatro anos de idade.

Qual o diagnóstico mais provável?
Provas
Com relação aos aneurismas de artérias periféricas, assinale a alternativa correta.
Provas
Homem de 70 anos, negro, tabagista e hipertenso há muitos anos, apresenta-se com claudicação intermitente e dor na panturrilha direita há alguns meses, aliviada com repouso. Feita a hipótese diagnóstica, assinale a alternativa que contém o sinal que deve ser pesquisado no exame físico do paciente para comprovar o seu diagnóstico.
Provas
Com relação ao emprego dos exames de imagem no diagnóstico do abdome agudo, assinale a alternativa correta.
Provas
Mulher de 23 anos, com atraso menstrual de 2 meses, apresentou dor súbita abdominal em região hipogástrica, seguida de tontura há cerca de 1 hora. Encaminhada ao Pronto-Socorro, foi atendida, submetida a exame físico e realizado exame HCG e ultrassom abdominal que detectaram gravidez ectópica rota. Que sinal se espera observar à inspeção do abdome, nesse caso, e o que ele indica?
Provas
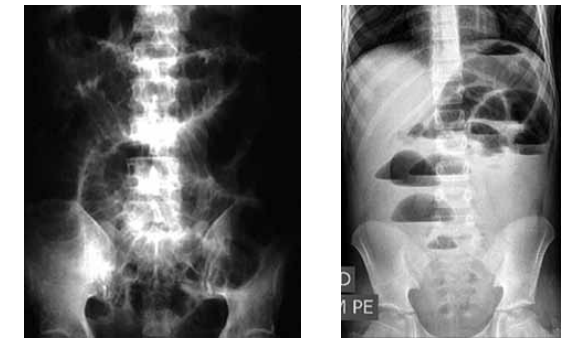
Homem de 45 anos procurou pronto-atendimento com história de náuseas, vômitos e distensão abdominal há 2 dias. Não elimina flatos ou fezes desde então. Foi submetido a uma laparotomia exploradora aos 40 anos por ferimento abdominal por arma de fogo (FAF). Foi uma operação extensa, segundo relato do paciente, em que foi removido mais de 1 metro de intestino delgado. Ao exame físico: em regular estado geral, um pouco desidratado, PA: 110 x 80 mmHg, FC: 85 bpm, RHA aumentados, abdome globoso, timpânico, globalmente doloroso, sem sinais de peritonite. Apresenta RX abdome (posição supina e ortostática) a seguir.

Qual o diagnóstico sindrômico e etiológico mais provável e a conduta inicial mais indicada?
Provas
As lesões esplênicas são frequentemente observadas na prática cirúrgica.
Com relação ao trauma esplênico, assinale a alternativa correta.
Provas
Na ceratoplastia penetrante em córneas com diâmetro normal, o tamanho recomendado para o enxerto é de 7.5 mm, porque enxertos de diâmetro maior têm mais possibilidade de apresentar, principalmente, a seguinte complicação pós-operatória:
Provas
Crianças com até 6 anos de idade com esotropia totalmente acomodativa e relação CA/A normal devem ser tratadas com
Provas
Paciente de 18 anos, masculino, branco, chega ao pronto-socorro referindo embaçamento visual em olho D após bolada que tomou nesse olho no jogo de futebol, há 1 hora.
O exame oftalmológico mostrou:
AV sc: OD MM
OE 20/20
Biomicroscopia: OD hifema tomando 2/3 da câmara anterior.
OE sem alterações.
Tonometria de aplanação: OD 35 mmHg
OE 14 mmHg
Fundoscopia: OD impossível
OE sem alterações.
Além de recomendar repouso em decúbito elevado e aumento da ingesta hídrica, o tratamento inicial para esse paciente consiste em
Provas
Caderno Container