Foram encontradas 740 questões.
Mulher, 78 anos, portadora de Divertículo de Zenker não tratado, evolui com quadro de sudorese noturna, astenia, tosse seca e dispneia há 4 dias.
Assinale a alternativa que indica o diagnóstico mais provável dessa paciente e sua etiologia.
Provas
Os fatores de risco do hospedeiro influenciam nas taxas de infecção hospitalar de forma ainda mais significativa, quando submetidos a um procedimento cirúrgico.
Assinale a alternativa que justifica essa afirmação.
Provas
A manobra de Lecompte realizada na operação de Jatene serve para
Provas
Com relação aos abscessos pulmonares, é correto afirmar:
Provas
Para o cirurgião, a escolha de um fio ideal para uma boa síntese é uma preocupação constante, sendo importante que esse fio mantenha a força tênsil por tempo suficiente até que a cicatriz adquira sua própria resistência frente aos estímulos mecânicos habituais e que seja inerte, provocando o mínimo de reação tecidual. Assim,
Provas
Com relação à Doença Diverticular dos Colons (DDC), é correto afirmar que
Provas
O sangramento gastrointestinal do trato superior é um problema relativamente comum e a maioria dos sangramentos não varicosos (70%) é atribuída à úlcera péptica. A endoscopia alta flexível é o melhor procedimento inicial para o diagnóstico nesses casos. Os pacientes que apresentam sangramento ativo com jato arterial à endoscopia são de alto risco e a intervenção é necessária.
A classificação desses pacientes, segundo Forest, é
Provas
O termo doença intestinal inflamatória é geralmente usado para descrever duas doenças de causa desconhecida com aspectos gerais semelhantes: a colite ulcerativa e a doença de Crohn. Com relação a esse tema, assinale a alternativa correta.
Provas
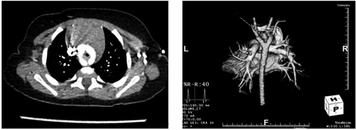
Mãe de lactente de um ano refere que seu filho apresenta chiado no peito desce o nascimento. Vem sendo tratado como bronquiolite desde então. Procurou novo pediatra que o encaminhou ao cardiopediatra. Mãe apesar de desconfiada passou em consulta e realizou radiografia de tórax normal, eletrocardiograma normal, ecocardiograma que viu alguma alteração na aorta nada conclusivo e angiotomografia e tomografia de tórax.

Com base nessas ilustrações, qual seu diagnóstico?
Provas
O conceito de câncer colorretal familiar é relativamente novo. Assinale a observação correta relativa a esse tema.
Provas
Caderno Container