Foram encontradas 740 questões.
Na coarctação de aorta, quais as malformações que podem vir associadas?
Provas
Quais os objetivos do tratamento de pacientes com coração “univentricular”?
Provas
As complicações mais frequentes nos pós-operatório da correção da drenagem anômala total de veias pulmonares são:
Provas
Quais os grupos de cardiopatias congênitas ou adquiridas que podem se apresentar com insuficiência cardíaca congestiva?
Provas
Em relação à endocardite infecciosa, é correto afirmar:
Provas
Paciente feminina de 23 anos apresentou um episódio de acidente vascular isquêmico transitório. Durante a avaliação neurológica, realizou tomografia de crânio com e sem contraste que se revelou normal, sem evidência de sangramento, sendo, então, medicada com ácido acetilsalicílico. Passou pelo cirurgião vascular que deu o laudo de “sem evidência de trombose vascular profunda”. Os exames hematológicos solicitados (hemograma completo com plaquetas e coagulograma completo) estavam normais. O ecocardiograma transesofágico evidenciou forame oval patente com prova positiva com microbolhas para “shunt” direito-esquerdo.
Qual a conduta correta e adequada nesse caso?
Provas
Lactente de 6 meses, com peso atual de 8 kg, apresenta ganho de peso adequado e sem sintomas cardiovasculares segundo a genitora. Exame físico: bom estado geral, corada, hidratada, anictérica, acianótica, afebril, ativo, reativo a estímulos, FC 128 bpm; saturação periférica de O2 de 97% em ar ambiente, ritmo cardíaco a dois tempos com bulhas normofonéticas, sopro sistólico em borda esternal esquerda baixa irradiando em faixa 4/6+, sem visceromegalias, pulsos normopalpáveis e simétricos.

Com base nos dados apresentados, qual seria o diagnóstico da malformação cardiovascular apresentada?
Provas
Adolescente de 14 anos apresenta-se com diagnóstico de insuficiência mitral reumática e faz profilaxia secundária regularmente, além do uso de furosemida, espironolactona e enalapril. O ecocardiograma realizado evidencia valva mitral com fusão comissural com espessamento de suas cúspides e cordoalhas com insuficiência importante, insuficiência tricúspide moderada. PSVD = 61 mmHg. Átrio esquerdo = 50 mm. Aorta = 30 mm. Ventrículo esquerdo = 61 x 42 mm.
Qual a conduta a ser adotada?
Provas
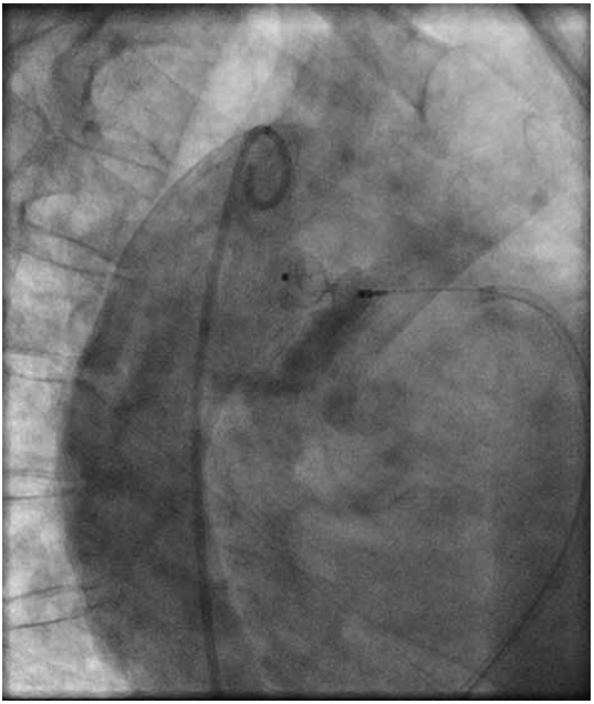
Paciente de 55 anos, feminina, vem encaminhada do Hospital de referência devido a quadro de cervicalgia associada a dor torácica esquerda de leve intensidade com piora ao esforço físico. Nega outras queixas. Tem como antecedentes: três gestações com parto cesárea sem intercorrências, ex-tabagista (carga baixa), etilista social, sedentária, diabetes mellitus não insulino dependente, osteoporose e hipertensão arterial sistêmica.
Ao exame físico: bom estado geral. FC = 75 bpm; FR = 20 irpm; PA = 160 x 70 mmHg; Saturação periférica de O2 em ar ambiente = 97% em membro superior direito e 98% em membro inferior direito. Presença de bulhas rítmicas, normofonéticas, em dois tempos e com sopro contínuo em região infraclavicular esquerda. Pulsos periféricos presentes e de amplitude aumentada.
Com base nesta figura de cateterismo cardíaco, qual a cardiopatia congênita diagnosticada?

Provas
Atriotomia oblíqua direita, desinserindo proximalmente os megafolhetos anterior e posterior da valva tricúspide. Em seguida, os músculos papilares anormais e outros tecidos entre as válvulas e a parede ventricular direita são seccionados, preservando-se a fixação ao ápice do ventrículo direito. A borda livre do folheto posterior é rodada no sentido horário e suturada na borda septal do folheto anterior, transformando a nova valva tricúspide em um cone com vértice fixo na ponta do ventrículo direito. Em seguida, faz-se a plicatura longitudinal do VD atrializado, excluindo-se sua porção fina. O novo anel valvar é construído no nível anatomicamente correto por meio da plicatura do anel verdadeiro, adequando-o à base do cone previamente construído. A valva é fixada ao anel verdadeiro com pontos separados. A seguir, realiza-se uma sutura contínua, com o reforço da nova junção da valva tricúspide ao anel, passando-se pontos muito superficiais próximos à área do nó atrioventricular.
Essa técnica diz respeito à seguinte cardiopatia congênita:
Provas
Caderno Container