Foram encontradas 670 questões.
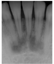
Paciente compareceu ao consultório odontológico apresentando dor espontânea, latejante e localizada na região do dente 44. Ao exame intrabucal, observa-se que a gengiva vestibular do referido dente se apresenta eritematosa, edemaciada e brilhante. Durante a palpação da região, notase drenagem de secreção purulenta via sulco gengival. Durante o exame de sondagem, pode-se observar a presença de bolsa periodontal mesiovestibular de 6mm. Qual é o diagnóstico clínico e a conduta para a condição apresentada pelo paciente?
Provas
Diante de um acidente com material perfurocortante contaminado com sangue ou fluido orgânico durante o atendimento odontológico, o cirurgião-dentista deve
Provas
Paciente do sexo feminino, melanoderma, 48 anos de idade, compareceu ao consultório odontológico apresentando a lesão evidenciada na figura a seguir. Esta lesão é assintomática, não gera expansão óssea e foi identificada ao caso, durante a realização de exames radiográficos para documentação ortodôntica. Qual é o diagnóstico clínico e a conduta para este caso?

Fonte: NELSON, Brenda L & PHILLIPS, Billy J. Head and Neck Pathology, v. 13, n. 4, 2019.
Provas
Paciente de 17 anos de idade, compareceu ao consultório odontológico apresentando lesão cariosa na região oclusal do dente 36. A profundidade da lesão cariosa equivale ao número 4 da representação esquemática a seguir. Para a proteção do complexo dentinopulpar deste dente, recomenda-se o uso de

Disponível em: Acesso emhttps://dentisticahoje.blogspot.com/2017: 4 de setembro de 2022.
Provas
Observe a figura a seguir.

Fonte: LIMA, José Eduardo de Oliveira. Cárie dentária: um novo conceito. Rev Dent Press Ortodon Ortop Facial, v. 12, n. 6, 2007. (Adaptado).
De acordo com Ernest Newbrun (1983) a patogênese da doença cárie é resultante da interação crônica entre os seus fatores etiológicos determinantes. Neste contexto, a intersecção dos fatores etiológicos apresentados no diagrama que segue, resultará em
Provas
A prevenção das doenças bucais está associada a três níveis de prevenção, de acordo com o modelo proposto por Leavell e Clark. Em relação à doença periodontal, são exemplos dos níveis de prevenção primária, secundária e terciária, respectivamente:
Provas
Um dos objetivos específicos da Política Nacional de Promoção da Saúde (2018) é o de
Provas
Um estudo epidemiológico evidenciou uma correlação positiva entre o consumo diário de bebida alcóolica em alguns estados do Brasil e a taxa de mortalidade por cirrose hepática nesses locais. Qual é o delineamento desse estudo?
Provas
Na publicação do Ministério da Saúde intitulada Carteira de Serviços da Atenção Primária à Saúde (CaSAPS) (2020), são citados os atributos essenciais da Atenção Primária à Saúde, dentre eles, a organização da atenção de forma que o cidadão tenha todos os serviços de saúde necessários, identificando e proporcionando os serviços preventivos, bem como serviços que possibilitem o diagnóstico e o tratamento das doenças, estabelecendo, também, a forma adequada para a resolução de problemas, sejam eles orgânicos, funcionais ou sociais. A esse atributo dá-se o nome de
Provas
É importante considerar, no processo epidêmico, os conceitos de controle, eliminação e erradicação de doenças. Nesse sentido, de acordo com o Ministério da Saúde (Guia de Vigilância em Saúde, 2021), a Organização Pan-Americana da Saúde, em abril de 2015, declarou a Região das Américas livre de
Provas
Caderno Container