Foram encontradas 670 questões.
É importante considerar, no processo epidêmico, os conceitos de controle, eliminação e erradicação de doenças. Nesse sentido, de acordo com o Ministério da Saúde (Guia de Vigilância em Saúde, 2021), a Organização Pan-Americana da Saúde, em abril de 2015, declarou a Região das Américas livre de
Provas

Fonte: LUDOVICHI, Fernando Felipe et al. Ciência & Saúde Coletiva, v. 23, n. 12, 2018. (Adaptado).
O diagnóstico da síndrome e a característica clínica apontada pela seta na imagem são, respectivamente:
Provas
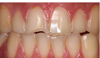
Paciente do sexo masculino, 28 anos, nadador em competições nacionais, procurou atendimento odontológico devido à desgastes dentários como mostra figura que segue. Ele relata utilizar escova de cerdas médias para higiene dentária.

Fonte: SALEM, Mennatallah N & HAFEZ, Shereen. Clinical, Cosmetic and Investigational Dentistry, v. 24, n. 13, 2021.
De acordo com estas informações e com a imagem clínica desse paciente, o diagnóstico e o tratamento para a lesão não cariosa evidenciada no dente 11 é:
Provas
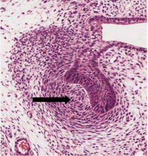
Observe a figura que segue.

Fonte> ABRAHAMSOHN, Paulo & FREITAS, Vanessa. Disponível em: < https://mol.icb.usp.br/index.php/13-3-6-odontogenese/> Acesso em: 4 set. 2022.
De acordo com a fotomicroscopia apresentada, da fase da odontogênese, o nome da estrutura apontada pela seta e o tecido dentário que será originado da estrutura apontada são, respectivamente:
Provas
Após uma queda acidental durante um jogo de futebol, paciente compareceu ao consultório odontológico apresentando o dente 21 fora do plano oclusal, assintomático, sem mobilidade, e que, à percussão, emite um som metálico. Durante a avaliação radiográfica não foi evidenciada a imagem do espaço do ligamento periodontal. Qual é o diagnóstico associado ao dente 21?
Provas
Quais são as estruturas anatômicas que podem ser projetadas em uma radiografia periapical realizada na região de molares inferiores esquerdo?
Provas
Para o atendimento de crianças com quadro clínico de Pulpite, o anestésico local, sem vasoconstritor, melhor indicado é a
Provas
Utilize o caso clínico que segue para responder às questões 43 e 44:
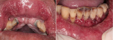
Paciente, 54 anos de idade, trabalhador rural e tabagista, procurou atendimento odontológico apresentando lesões sintomáticas, com aspecto de pontilhado hemorrágico, em cavidade bucal. Relata que as lesões tiveram início há 40 dias, apresentando uma piora clínica. Relata dificuldade de realizar higiene bucal e cansaço ao mínimo esforço. As imagens clínicas são as seguintes:

Considerando as informações clínicas e as imagens apresentadas, a hipótese de diagnóstico para o caso apresentado é de:
Provas
Utilize o caso clínico que segue para responder às questões 43 e 44:
Paciente, 54 anos de idade, trabalhador rural e tabagista, procurou atendimento odontológico apresentando lesões sintomáticas, com aspecto de pontilhado hemorrágico, em cavidade bucal. Relata que as lesões tiveram início há 40 dias, apresentando uma piora clínica. Relata dificuldade de realizar higiene bucal e cansaço ao mínimo esforço. As imagens clínicas são as seguintes:

A lesão fundamental evidenciada nas imagens clínicas do caso é:
Provas
Paciente comparece ao consultório odontológico apresentando o dente 37 com extensa destruição coronária por lesão cariosa. O exame radiográfico periapical, revelou lesão de furca importante associada ao referido dente. O plano de tratamento estabelecido para o paciente foi a exodontia do dente 37. Para realizar este procedimento cirúrgico, faz-se uso do:
Provas
Caderno Container