Foram encontradas 50 questões.
Disciplina: Segurança e Saúde no Trabalho (SST)
Banca: VUNESP
Orgão: Pref. Itapevi-SP
Provas
Provas
Provas
Provas
Provas
Provas
Mulher, 36 anos, assintomática, procura atendimento médico por excesso de peso. Refere história de síndrome de ovários policísticos em uso de anticoncepcional hormonal oral de baixa dosagem e fluoxetina 20 mg/dia. Nega ingesta de bebidas alcoólicas. Apresenta antecedente familiar de diabetes mellitus tipo 2. Exame físico: peso = 80 kg; altura = 1,58 m; circunferência abdominal = 90cm; PA = 130 x 90 mmHg. Exames laboratoriais: TSH = 1,6 mU/L (normal = 0,4 a 4); T4 livre = 1,4 ng/dL (normal = 0,8 a 1,8); glicose jejum = 109 mg/dL; hemoglobina glicada = 6,1%; colesterol total = 215 mg/dL; triglicérides = 195 mg/dL; colesterol HDL = 34 mg/dL; colesterol LDL = 128 mg/dL; aspartato aminotransferase = 69 UI/L (normal = 12 a 38); alanina aminotransferase = 85 UI/L (normal = 7 a 41); ferritina = 499 μg/L (normal = 24 a 155); sorologias para hepatites B e C negativas.
Considerando que foi afastada a possibilidade de síndrome de Cushing, assinale a alternativa que apresenta o diagnóstico mais provável.
Provas
Homem, 47 anos, procura atendimento médico em ambulatório, pois acredita estar com a pressão alta. Não apresenta nenhum antecedente pessoal relevante e nem antecedentes familiares de doenças cardiovasculares. Não é tabagista e não faz uso regular de medicamentos. Exame físico: pressão arterial medida no braço esquerdo foi de 155 x 90 mmHg e no braço direito de 150 x 90 mmHg. Em uma segunda consulta os valores foram os mesmos.
Além de realizar orientações dietéticas e sobre mudança do estilo de vida, a conduta apropriada em relação à pressão arterial, de acordo com as últimas diretrizes brasileiras de hipertensão arterial, é
Provas
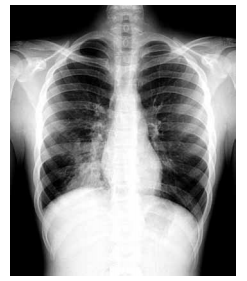
Mulher, 32 anos, refere que foi madrinha em um casamento há 3 dias e que dançou a noite inteira na festa. Após 48 horas, passou a apresentar dor muscular, febre de até 38ºC e dor ventilatório-dependente em hemitórax D. Nega uso de medicamentos nos últimos seis meses. Exame físico: paciente febril, 37,9 ºC, em bom estado geral; FC = 92 bpm; FR = 18 ipm; SpO2 em ar ambiente = 96%; PA 100 x 60 mmHg; ausculta cardíaca normal; ausculta pulmonar presença de estertores subcrepitantes em base pulmonar D. Foi realizada radiografia de tórax que está ilustrada a seguir.

Assinale a alternativa com a opção terapêutica correta.
Provas
Provas
Caderno Container