Foram encontradas 435 questões.
Em nosso cotidiano, um dos conceitos físicos mais presentes é o de temperatura. Desse modo, é muito importante conhecer os principais conceitos relacionados ao tema. Assim, analise as afirmações abaixo.
I- Somente nossos sentidos são suficientes para quantificar a temperatura de um corpo;
II- A temperatura mede o nível de concentração de calor das moléculas de um corpo;
III- O equilíbrio térmico acontece quando dois corpos, em contato e isolados de influências externas, tendem para um estado final, que é caracterizado por uma uniformidade na temperatura dos corpos.
Está CORRETO o que se afirma apenas em:
Provas
Questão presente nas seguintes provas
Campina Grande, cidade interiorana da Paraíba, encontra-se a aproximadamente 120km da capital do estado, João Pessoa. Se um carro que viaja entre as duas cidades, percorre a primeira metade do percurso com velocidade de 60km/h, e a outra metade do percurso com velocidade de 120km/h, é CORRETO afirmar que a velocidade média do carro em (km/h) ao longo de todo o percurso é de:
Provas
Questão presente nas seguintes provas
Ao mudar de cor em função da substância, os indicadores de PH são comumente utilizados na determinação da acidez ou basicidade do meio. A fenolftaleína (I) é um exemplo de indicador ácido-base sintético que atinge a cor rosa em meio básico e incolor em meio ácido. O papel de tornassol (II) fica com cor azul na presença de bases e cor vermelha na presença de ácidos. Considere que dois cientistas, Luís e Arnaldo, resolvem determinar o PH de algumas substâncias. O tubo de ensaio 1 contém Refrigerante e foi entregue para Luís, que dispõe do indicador II. Arnaldo recebeu o tubo de ensaio 2, que contém Leite de Magnésia, e dispõe do indicador I.
Ao anotarem corretamente as cores observadas após a interação dos indicadores com os componentes presentes nos tubos de ensaio, Luís e Arnaldo, respectivamente, obtiveram:
Provas
Questão presente nas seguintes provas
Um elemento X apresenta a seguinte configuração eletrônica:
!$ 1s^2 2s^2 2p^6 3s^2 3p^6 4s^2 3d^{10} 4p^6 !$
Sabendo que seu isótopo possui 14 nêutrons, a massa deste isótopo é:
Provas
Questão presente nas seguintes provas
Utilizando dos seus conhecimentos sobre os reinos dos seres vivos, relacione corretamente as letras com os números a seguir:
X - Reino Plantae
Y - Reino Protista
Z - Reino Monera
1 - Protozoários e ameboides são representantes desse reino.
2 - São organismos que realizam fotossíntese, são multicelulares e eucariontes.
3 - Bacterioses são causadas por organismos que fazem parte desse reino.
A correlação adequada está na alternativa:
Provas
Questão presente nas seguintes provas
O tônus muscular é o mecanismo de base da expressão e se refere ao grau de tensão ou relaxamento dos músculos. O tônus muscular de cada pessoa é o resultado de sua relação com o meio. Baseado no contexto do tônus marque a alternativa referente ao preenchimento dos espaços abaixo.
Qualquer movimento ou ação pressupõe um grupo de músculos que tencionam e outros que relaxam todo o organismo para manter uma posição equilibrada. Precisa ter um nível de tônus determinado . A disfunção extrema desse tônus denomina-se . O tônus permite um contato com o mundo, dito .
A sequência CORRETA é:
Provas
Questão presente nas seguintes provas
Analise as afirmativas:
I- A hepatite B também pode ser considerada uma doença sexualmente transmissível.
II- Ao atacar o sistema imunológico, o vírus do HIV atinge principalmente as plaquetas.
III- A sífilis é uma Infecção Sexualmente Transmissível (IST) causada pela bactéria Treponema pallidum.
Está CORRETO o que se afirma em:
Provas
Questão presente nas seguintes provas
“O Nordeste foi cantado na voz do Rei do Baião”. (VIANA, FEITOSA, NETO e AZEVEDO, 2013). O músico, intérprete e compositor, Luiz Gonzaga cantou a nossa fauna, flora, o amor, a seca, a saudade, o êxodo rural, enfim, todas as nossas esperanças e desolações. A partir desse mote, o que se pode perceber da letra da canção abaixo:
Asa Branca
(Luiz Gonzaga e Humberto Teixeira)
Quando olhei a terra ardendo
Qual fogueira de São João,
Eu perguntei a Deus do céu, ai
Por que tamanha judiação?
Eu perguntei a Deus do céu, ai
Por que tamanha judiação?
Que braseiro, que fornalha
Nem um pé de prantação,
Por farta d'água perdi meu gado,
Morreu de sede meu alazão.
Por farta d'água perdi meu gado,
Morreu de sede meu alazão.
Até mesmo a asa-branca
Bateu asas do sertão,
Então eu disse adeus, Rosinha
Guarda contigo meu coração.
Então eu disse adeus, Rosinha,
Guarda contigo meu coração.
Hoje longe, muitas léguas,
Numa triste solidão,
Espero a chuva cair de novo
Pra mim voltar pro meu sertão,
Espero a chuva cair de novo
Pra mim voltar pro meu sertão.
Quando o verde dos teus olhos
Se espalhar na prantação
Eu te asseguro não chore não, viu?
Que eu voltarei, viu?
Meu coração.
Eu te asseguro não chore não, viu?
Que eu voltarei, viu?
Meu coração.
A alternativa que traduz CORRETAMENTE o sentimento do sertanejo é:
Provas
Questão presente nas seguintes provas
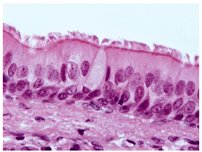
O tecido epitelial é caracterizado por possuir pouca quantidade de material intercelular, apresentando, portanto, células justapostas. Sabendo que a imagem a seguir representa um tipo de tecido epitelial retirado do trato respiratório, podemos classificá-lo, segundo a forma e o arranjo, como:

(http://mol.icb.usp.br/wp-content/uploads/2-28.jpg Data de acesso: 11 de abril de 2019)
Provas
Questão presente nas seguintes provas
A Literatura de Cordel enquanto Patrimônio Cultural Brasileiro foi reconhecido pelo Conselho Consultivo do IPHAN – Instituto do Patrimônio Histórico e Artístico Nacional e por unanimidade, no dia 19 de setembro de 2018. O que este ato significa para a manutenção desse Patrimônio Cultural Imaterial Brasileiro?
Provas
Questão presente nas seguintes provas
Cadernos
Caderno Container