Magna Concursos

Foram encontradas 1.287 questões.

3698513 Ano: 2025
Disciplina: Medicina
Banca: VUNESP
Orgão: Pref. Campinas-SP
A icterícia é um dos problemas mais comuns no período neonatal, sendo caracterizada por expressão clínica
 

Provas

Questão presente nas seguintes provas
3698512 Ano: 2025
Disciplina: Medicina
Banca: VUNESP
Orgão: Pref. Campinas-SP
É correto afirmar que a replicação viral, que ocorre no interior da célula do hospedeiro, evolui seguindo as etapas de:
 

Provas

Questão presente nas seguintes provas
3698511 Ano: 2025
Disciplina: Medicina
Banca: VUNESP
Orgão: Pref. Campinas-SP
O metabolismo celular é frequentemente alterado em células cancerígenas devido à ativação oncogênica, que induz mudanças significativas nas vias metabólicas.
Assinale a alternativa que apresenta, corretamente, as características metabólicas associadas à ativação oncogênica.
 

Provas

Questão presente nas seguintes provas
Os laboratórios de análises clínicas devem participar de programas vigentes que avaliem continuamente a qualidade de seu desempenho. Essas avaliações são realizadas para garantir a obtenção de resultados laboratoriais confiáveis. Os gráficos apresentados mostram os resultados dos controles normais do analito CK (creatinoquinase) durante o mês de fevereiro nos anos de 2022 e 2023, de um laboratório de análises clínicas do ABC paulista, São Paulo.
Enunciado 4449133-1 (Arquivo pessoal; imagem usada com autorização)

Com base na análise dos dados, qual é a interpretação correta sobre o desempenho dos controles nesses dois períodos?
 

Provas

Questão presente nas seguintes provas
3698509 Ano: 2025
Disciplina: Medicina
Banca: VUNESP
Orgão: Pref. Campinas-SP
A figura a seguir apresenta um esfregaço de sangue venoso, em que são visíveis formas características de um protozoário flagelado. Esse parasita é transmitido por insetos triatomíneos e está associado a uma doença tropical de grande impacto na América Latina.
Enunciado 4449132-1 (Arquivo pessoal; imagem usada com autorização)

Qual é a doença representada na figura?
 

Provas

Questão presente nas seguintes provas
3698508 Ano: 2025
Disciplina: Medicina
Banca: VUNESP
Orgão: Pref. Campinas-SP
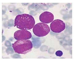
Tipo de leucemia aguda que ocorre quando há uma translocação entre os cromossomos 15 e 17, acontecendo, assim, um gene anormal e causando uma infiltração na medula óssea deste tipo celular.
Essas células anormais produzem quantidades excessivas de um fator que ativa o processo de coagulação do sangue e de citocinas. Todo esse excesso faz com que também haja uma enorme produção de trombina e acaba por gerar diversos coágulos sanguíneos, o que aumenta o risco de trombose.
Enunciado 4449131-1 (Arquivo pessoal; imagem usada com autorização)

De qual celularidade trata o enunciado?
 

Provas

Questão presente nas seguintes provas
3698507 Ano: 2025
Disciplina: Medicina
Banca: VUNESP
Orgão: Pref. Campinas-SP
Paciente feminina, 35 anos, deu entrada no Hospital de Clínicas de São Paulo, com quadro de trombose venosa profunda (TVP) em membro inferior direito; foi tratada com rivaroxabana. Após 09 meses, manifestou outro episódio de TVP em membro inferior esquerdo, redução da acuidade visual bilateralmente e tromboembolismo pulmonar em vigência de rivaroxabana. Suspeita-se de trombofilia adquirida.
Em face do exposto, o exame sanguíneo específico para trombofilia adquirida que deve ser realizado para confirmação é:
 

Provas

Questão presente nas seguintes provas
3698506 Ano: 2025
Disciplina: Medicina
Banca: VUNESP
Orgão: Pref. Campinas-SP
O estadiamento nas neoplasias auxilia na escolha de tratamento, como cirurgia, quimioterapia, radioterapia, terapias-alvo e imunoterapia.
Qual sistema de estadiamento é utilizado para classificar as doenças no contexto do linfoma de Hodgkin e do linfoma não Hodgkin?
 

Provas

Questão presente nas seguintes provas
3698505 Ano: 2025
Disciplina: Medicina
Banca: VUNESP
Orgão: Pref. Campinas-SP
Em um quadro clínico com suspeita de infarto agudo do miocárdio, o corpo médico solicita, para confirmação, um eletrocardiograma, no qual a principal alteração é o supradesnivelamento do ST, além da dosagem das enzimas cardíacas, na qual a principal alteração é o supradesnivelamento de ST e a dosagem de enzimas cardíacas.
Com relação às troponinas cardioespecíificas, assinale a alternativa correta.
 

Provas

Questão presente nas seguintes provas
3698504 Ano: 2025
Disciplina: Medicina
Banca: VUNESP
Orgão: Pref. Campinas-SP
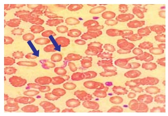
Paciente do sexo masculino, 51 anos, natural da cidade litorânea do estado de São Paulo. Procurou o pronto atendimento em uma UPA, pois sentia-se debilitado, apresentando febre intermitente e com ciclos regulares de até dois dias, mialgia e artralgia e distúrbios gastrointestinais. Realizou um hemograma, que apresentou o seguinte resultado:
Enunciado 4449127-1 Legenda: Laudo do hemograma.

Enunciado 4449127-2 Legenda: Esfregaço de sangue periférico do paciente.
(LABFMABC do Centro Universitário FMABC. Imagem usada com autorização)

Depois de feita a leitura do esfregaço, outra técnica foi realizada para complementação. As inclusões eritrocitárias revelam a presença de:
 

Provas

Questão presente nas seguintes provas