Magna Concursos

Foram encontradas 1.287 questões.

3698503 Ano: 2025
Disciplina: Medicina
Banca: VUNESP
Orgão: Pref. Campinas-SP
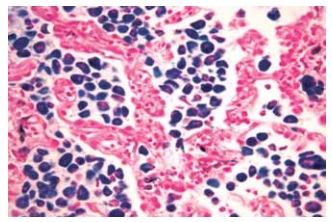
Paciente masculino, 52 anos, hipertenso e tabagista, deu entrada em um Pronto-Socorro Hospitalar, na região leste de São Paulo, com dificuldade de respirar e muito cansaço. Relatou que foi tratado há 20 dias de uma pneumonia e que fez corticoterapia de 07 dias. Todavia, não apresentando melhoras, este retornou à unidade.
Foi solicitada uma tomografia, que demonstrou opacidades em vidro despolido com predomínio nas bases e periferia do parênquima pulmonar. Os exames laboratoriais não acusaram patógeno viral ou bacteriano, e o paciente foi submetido a um exame de biópsia pulmonar. A amostra cirúrgica foi recebida previamente fixada em formol tamponado a 4% e submetida ao processamento da análise com inclusão total do material. As secções obtidas foram coradas utilizando hematoxilina e eosina.
Enunciado 4449126-1 Legenda: Espessamento de septos com infiltrado inflamatório.

Enunciado 4449126-2 Legenda: Macrófagos com ferro.
(Laboratório de Anatomia Patológica do Centro Universitário FMABC. Imagem usada com autorização)

O diagnóstico de DIP (pneumonia intersticial descamativa) foi feito correspondendo à clínica de pulmão do tabaco. O parênquima pulmonar demonstra presença de macrófagos intra-alveolares, multinucleados e com pigmento granular castanho contendo ferro, que é demonstrado pela técnica
 

Provas

Questão presente nas seguintes provas
3698502 Ano: 2025
Disciplina: Medicina
Banca: VUNESP
Orgão: Pref. Campinas-SP
A incidência global de amiloidose é estimada em cerca de cinco a nove casos por milhão de pacientes/ano. Os estímulos inflamatórios na amiloidose AA (amiloide secundária ou reativa) estão associados à artrite inflamatória crônica (artrite reumatoide, espondilite anquilosante), doença inflamatória intestinal, infecções crônicas, síndromes de febre periódica hereditárias familiares como a febre familiar do Mediterrâneo (FFM), neoplasias e causas idiopáticas. O comprometimento renal é uma manifestação comum na maior parte dos tipos de amiloidose sistêmica. Em biópsias, são feitas microscopia de luz e imunofluorescência indireta (IF).
A figura a seguir demonstra a Micrografia de luz (LM) de um rim de paciente masculino, 58 anos mostrando depósitos de amiloide (laranja) nos glomérulos.
Enunciado 4449125-1
(Laboratório de Anatomia Patológica do Centro Universitário FMABC. Imagem usada com autorização)

Qual é o corante utilizado para detectar depósitos de amiloide em tecidos e as proteínas detectadas na IFI?
 

Provas

Questão presente nas seguintes provas
3698501 Ano: 2025
Disciplina: Medicina
Banca: VUNESP
Orgão: Pref. Campinas-SP
Para garantir um laudo fidedigno na avaliação do resultado de hemocultura venosa, é fundamental que a fase pré-analítica seja rigorosamente controlada.
Nesse contexto, é correto, na coleta de hemoculturas,
 

Provas

Questão presente nas seguintes provas
3698500 Ano: 2025
Disciplina: Medicina
Banca: VUNESP
Orgão: Pref. Campinas-SP
O diagnóstico clínico de glomerulopatias é sindrômico e depende da dosagem laboratorial de biomarcadores. Numerosas pesquisas estão sendo conduzidas para fundamentar a relevância da utilização de biomarcadores no diagnóstico e monitoramento dessas condições. Dessa forma, o biomarcador sensível que serve para demonstrar a presença de glomerulopatia e início da lesão renal é:
 

Provas

Questão presente nas seguintes provas
3698499 Ano: 2025
Disciplina: Medicina
Banca: VUNESP
Orgão: Pref. Campinas-SP
Paciente feminina, 42 anos, em tratamento dermatológico há 06 meses devido a uma dermatite no couro cabeludo, sendo tratada com o princípio ativo do grupo das sulfonas. A paciente em suas duas últimas consultas comunicou sintomas como taquicardia, pressão baixa, fraqueza e dores ósseas. Nos últimos dois hemogramas realizados com intervalos de 20 dias, foram notadas quedas da concentração do número de eritrócitos, do hematócrito e presença de plaquetopenia. Ao diagnóstico de imagem na tomografia, foi relatado discreto aumento do volume hepático.
Seguem a lâmina do sangue periférico e o resultado do teste de Coombs direto:
Enunciado 4449122-1
(LABFMABC do Centro Universitário FMABC. Imagem usada com autorização)

Com base nos resultados laboratoriais, é correto afirmar que
 

Provas

Questão presente nas seguintes provas
3698498 Ano: 2025
Disciplina: Medicina
Banca: VUNESP
Orgão: Pref. Campinas-SP
A mucormicose, frequentemente referida como “fungo negro”, é uma infecção fúngica grave causada por fungos do grupo mucorales. Durante a pandemia de Covid-19, houve um aumento significativo nos casos de mucormicose, especialmente em pacientes que apresentavam formas graves da doença ou que estavam em tratamento com corticosteroides, que podem suprimir o sistema imunológico.
Qual dos seguintes exames laboratoriais é mais comumente utilizado para o diagnóstico de mucormicose?
 

Provas

Questão presente nas seguintes provas
3698497 Ano: 2025
Disciplina: Medicina
Banca: VUNESP
Orgão: Pref. Campinas-SP
O uso do sequenciamento do exoma no prognóstico do câncer de mama permite identificar mutações específicas que podem estar associadas ao desenvolvimento e à progressão da doença. Essas informações podem ajudar os médicos a determinar o risco de recorrência do câncer, a eficácia de tratamentos e a personalização das terapias. Além disso, o estudo do exoma pode revelar novos alvos terapêuticos e contribuir para a pesquisa de novas abordagens no tratamento do câncer de mama.
É correto afirmar que o exoma
 

Provas

Questão presente nas seguintes provas
3698496 Ano: 2025
Disciplina: Medicina
Banca: VUNESP
Orgão: Pref. Campinas-SP
No mecanismo hemostático, as plaquetas participam tanto na hemostasia primária quanto na hemostasia secundária. Qual método é considerado o padrão-ouro para a avaliação da função das plaquetas?
 

Provas

Questão presente nas seguintes provas
3698495 Ano: 2025
Disciplina: Medicina
Banca: VUNESP
Orgão: Pref. Campinas-SP
Assinale a alternativa que melhor define o que é biópsia líquida.
 

Provas

Questão presente nas seguintes provas
3698494 Ano: 2025
Disciplina: Medicina
Banca: VUNESP
Orgão: Pref. Campinas-SP
A síndrome de POEMS é uma condição rara que combina várias manifestações clínicas e é caracterizada por cinco componentes principais, que dão origem ao acrônimo “POEMS”: P – Polineuropatia; O – Organomegalia; E – Endocrinopatia; M – Monoclonalidade; S – Skin.
O tratamento pode incluir quimioterapia, radioterapia ou terapias direcionadas, dependendo da gravidade e da apresentação clínica.
Qual dos seguintes exames laboratoriais é mais relevante para o diagnóstico da síndrome de POEMS?
 

Provas

Questão presente nas seguintes provas