Foram encontradas 2.058 questões.
Em quadros clínicos de bexiga neurogênica, o tratamento da disfunção do trato urinário inferior neurogênica:
Provas
No que concerne ao diagnóstico laboratorial da urinálise, é correto afirmar que
Provas
Homens que atingem o orgasmo e ejaculam para dentro da bexiga, como consequência da falha do colo vertical em fechar durante a ejaculação, apresentam um caso de
Provas
Assinale a alternativa correta no que concerne à fisiopatologia da litíase renal.
Provas
Na figura abaixo representando o trato inferior, o ducto deferente encontra-se no item:

Provas
Nos exames de urina, sua presença é anormal, mesmo em pouca quantidade, e interpretada como hematúria. Trata-se da presença de
Provas
Doenças do trato genital feminino podem atingir secundariamente os órgãos urinários, tornando necessário um exame ginecológico abrangente. Sendo assim, a respeito do exame da genitália feminina, assinale a alternativa correta.
Provas
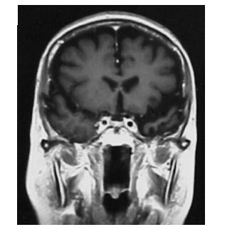
Observe abaixo a imagem por ressonância magnética

A imagem de um corte frontal mostra um paciente com demência semântica, em que se observa
Provas
As contusões cerebrais situam-se geralmente na região fronto-basal ou temporal e resultam do contato da superfície cerebral e com a rugosidade da tábua óssea interna, com micro-hemorragias que coalescem e são visualizadas à TC como
Provas
Em relação à Epilepsia, assinale a alternativa correta
Provas
Caderno Container