Foram encontradas 2.058 questões.
Caracteriza-se pela ocorrência de múltiplos tipos de crise, que incluem necessariamente crises de queda abrupta (tônicas ou atônicas). Manifesta-se habitualmente entre 3 e 5 anos. Podem ainda ocorrer ausências atípicas e crises tônico-clônicas generalizadas. As crises são com frequência refratárias ao tratamento medicamentoso e, concomitantemente, observa-se deterioração intelectual.
A descrição acima corresponde a
Provas
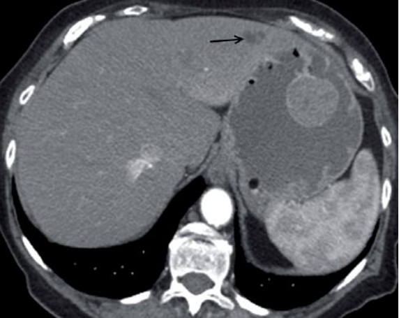
Observe a imagem abaixo. Paciente apresenta perda de peso, dor epigástrica e anemia.

Diante do exposto, é INCORRETO afirmar que
Provas
Assinale a alternativa que apresenta uma manifestação neurológica frequente em associação com a esclerose localizada.
Provas
São critérios menores levados em conta para o diagnóstico da febre reumática na criança:
I. ritmos cardíacos anormais.
II. febre.
III. cardite.
É correto o que se apresenta em
Provas
Assinale a alternativa que apresenta um critério maior no diagnóstico da febre reumática.
Provas
A juvenil costuma ter diagnóstico mais tardio, e muitos destes pacientes podem ser diagnosticados como artrite idiopática juvenil no início dos sintomas. O comprometimento do quadril é mais frequente na criança do que no adulto, o que determina um pior prognóstico, pela necessidade de próteses totais de quadril em muitos pacientes. Trata-se do(a)
Provas
São manifestações na Síndrome de Sjögren (SS):
I. despigmentações, eritemas, prurido e eczemas, mais frequentes na SS primária.
II. fenômeno de Raynauld, trombose venosa profunda e vasculites (pele, fígado e rins).
III. secura e prurido vaginal, coito doloroso e dor à micção.
É correto o que se apresenta em
Provas
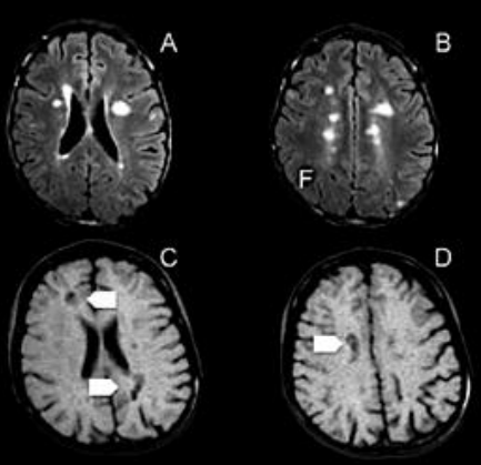
As imagens da ressonância abaixo são sugestivas de:

Provas
Os ossos longos são formados por diversas camadas. Esta é a mais externa, sendo uma membrana fina e fibrosa (tecido conjuntivo denso) que envolve o osso, exceto nas regiões de articulação. Trata-se do(a)
Provas
US transvaginal evidencia cisto multilocular, com septações finas, de paredes delgadas e conteúdo espesso contedo debris. Diante do exposto, o diagnóstico mais provável é de
Provas
Caderno Container