Foram encontradas 1.120 questões.
Em relação à neuromielite óptica, pode-se dizer:
Provas
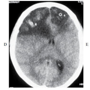
Paciente com 22 anos de idade foi admitida a serviço de emergência devido a comprometimento do nível de consciência há um dia. Ao exame físico, estava febril (39 °C), pressão arterial 70x50 mmHg, comatosa, sem resposta aos estímulos nociceptivos, pupila direita midriática. A família refere que a paciente se queixava de cefaleia há três dias. Como antecedentes, a paciente estava em tratamento com azatioprina 75 mg/dia e predinisona 20 mg/dia, devido a ulcerocolite O hemograma mostra 12 000 leucócitos/mm 3 (82% polimorfonucleares, 18% linfócitos), hemoglobina de 9 g/dL, e potássio sérico de 2.8 mEq/L. A tomografia de crânio é mostrada a seguir:

Com esses elementos, a sua primeira hipótese diagnóstica seria:
Provas
Paciente de sexo feminino, com 25 anos de idade, em tratamento com varfarina para uma trombose venosa cerebral manifestada há quatro meses (da qual se recuperou totalmente), engravida. Qual seria a melhor conduta?
Provas
Em relação à neurossífilis, assinale a alternativa correta.
Provas
Em relação à neurocisticercose, pode-se dizer que:
Provas
Paciente com 50 anos de idade sem antecedentes mórbidos, apresenta um quadro progressivo, com dois meses de evolução, caracterizado por prejuízo cognitivo, ansiedade, mioclonias, ataxia à marcha e há 15 dias crise convulsiva generalizada. A ressonância magnética cranioencefálica mostra hipersinal simétrico no pulvenar e tálamo e o exame do líquido cefalorraqueano é normal. Nega história familiar. Com estes elementos, a sua primeira hipótese diagnóstica é
Provas
Paciente com 20 anos de idade, sexo feminino, sem antecedentes mórbidos, apresenta perda de consciência aguda, sem outras manifestações neurológicas e se recupera em poucos minutos, referindo cefaleia após essa crise. A sua primeira hipótese diagnóstica é
Provas
Em relação à apneia obstrutiva do sono, assinale a afirmação correta.
Provas
Assinale entre as alternativas a seguir, quais situações podem ser complicações da apneia obstrutiva do sono.
Provas
Qual dos tumores pode estar associado à esclerose tuberosa (facomatose autossômica dominante)?
Provas
Caderno Container