Foram encontradas 1.120 questões.
Paciente com 55 anos de idade, apresenta um quadro progressivo há um ano, caracterizado por desinibição, impulsividade, inércia, perda de comportamento social, irritabilidade e agressividade, negligência com cuidados pessoais e de higiene, prejuízo da memória recente, comportamento estereotipado. Exame clínico e neurológico normais (sem localização, sem deficits motores ou sensitivos e tono normal). A sua impressão diagnóstica é:
Provas
Em relação à doença de Alzheimer, pode-se dizer:
Provas
Um paciente chega ao serviço de emergência com quadro subagudo (um dia de evolução) caracterizado por: falta de concentração, distração, distúrbio de percepção (ex. ilusão, falha de interpretação dos fatos, alucinação visual), comprometimento da memória recente e desorientação no tempo e no espaço. Períodos de agitação e sonolência; fala incoerente. Não tem antecedentes mórbidos. Não estava em uso de medicações e negava exposição a inseticidas, agrotóxicos ou outro veneno. Está febril, atribuído à infecção urinária; sem sinais de localização neurológica ou de hipertensão intracraniana. Esse quadro é sugestivo de:
Provas
Os principais sinais e sintomas de um adenoma hipofisário são:
Provas
O tumor mais frequente no ângulo ponto cerebelar é o/a
Provas
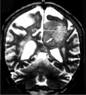
Paciente com 60 anos de idade se apresenta com quadro de cefaleia moderada há 3 meses, e há 15 dias discreta redução da atenção, moderada hemiparesia direita e vertigens. Não tem antecedentes mórbidos; o exame clínico é normal e o exame neurológico confirma os achados. A ressonância magnética é apresentada a seguir.

Com esses elementos, qual a sua primeira impressão diagnóstica?
Provas
Em um paciente com hipoestesia dolorosa e táctil abaixo da linha umbelical, qual seria a topografia da lesão?
Provas
Em relação à doença de Lyme, assinale a alternativa correta.
Provas
Em relação às neuropatias periféricas, assinale a alternativa correta.
Provas
Para uma situação de polirradiculoneurite aguda, em que o doente manifesta intensa paresia nos quatro membros e dispneia, a melhor conduta é:
Provas
Caderno Container