Foram encontradas 2.033 questões.
O TIRADS é um sistema de notificação de nódulos tireoidianos na ultrassonografia proposto pelo Colégio Americano de Radiologia. Através de um sistema de pontuação padronizado para laudos, fornece aos usuários recomendações sobre quando usar aspiração por agulha fina (PAAF) ou acompanhamento ultrassonográfico de nódulos suspeitos e, ao deixar em segurança, nódulos benignos e não suspeitos. São consideradas características ultrassonográficas que somam 2 pontos na classificação TIRADS, EXCETO:
Provas
A ultrassonografia morfológica de segundo trimestre é uma das mais importantes avaliações da gestação. A avaliação da formação do sistema nervoso central deve ser feita de forma completa e cuidadosa. Para o diagnóstico de hidrocefalia nesse período é realizada a medida do átrio dos ventrículos laterais ao nível do plexo coroide. O valor de referência para essa medida é de até:
Provas
O sinal da tatuagem é uma nomenclatura dada para descrever as calcificações dérmicas vistas na mamografia. A base desse sinal é o fato de as calcificações dérmicas manterem relações fixas entre si, reprodutíveis com projeções semelhantes em momentos diferentes. Isso contrasta com as calcificações intramamárias, nas quais a relação das calcificações entre si pode mudar à medida que o tecido é comprimido. Para comprovar esse diagnóstico, pode-se realizar:
Provas
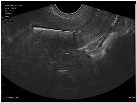
Paciente, 32 anos, DUM há quinze dias, em uso de DIU não hormonal há dois anos, comparece para realização de ultrassonografia para avaliação de posicionamento de DIU. Ao exame, é observada a imagem a seguir:

Qual a conclusão do exame?
Provas
Qual a medicação mais indicada no tratamento do Comprometimento Cognitivo Leve (CCL)?
Provas
Sobre a síndrome extrapiramidal que se caracteriza por sintomas que ocorrem predominantemente com uso dos antipsicóticos típicos, podendo se manifestar de forma aguda ou crônica, assinale a afirmativa INCORRETA.
Provas
São considerados fatores que aumentam o risco de suicídio, EXCETO:
Provas
Em relação ao tratamento do Transtorno Obsessivo Compulsivo (TOC) na infância, assinale a afirmativa INCORRETA.
Provas
Em relação ao tratamento do transtorno de personalidade borderline, assinale a melhor resposta terapêutica.
Provas
De acordo com DSM-5, trata-se de critério diagnóstico para o transtorno de personalidade borderline:
Provas
Caderno Container