Foram encontradas 2.033 questões.
Paciente, sexo feminino, 38 anos, assintomática, realiza ultrassonografia abdominal em pré-operatório para abdominoplastia. Nega antecedentes patológicos ou uso de medicamentos. Foi constatado um nódulo hepático hiperecogênico no segmento III medindo 1,0 cm; assim como um nódulo renal hiperecogênico na cortical do terço superior do rim esquerdo medindo 0,8 cm. Assinale, a seguir, os diagnósticos mais prováveis e a conduta adequada.
Provas
Paciente, sexo feminino, 22 anos de idade, apresenta história de epilepsia com aura epigástrica. Ressonância magnética do encéfalo evidencia hipersinal em T2/FLAIR e perda de volume no hipocampo esquerdo. O diagnóstico mais provável é:
Provas
Menina, 9 anos de idade, previamente hígida, iniciou quadro de ataxia e vômitos há um mês. Foi realizada uma ressonância magnética do encéfalo que evidenciou lesão expansiva sólido-cística no hemisfério cerebelar direito, com realce ao meio de contraste e restrição à difusão. O diagnóstico mais provável é:
Provas
Sobre o uso de metformina em pacientes que serão submetidos a exames radiológicos com uso de contraste iodado endovenoso, assinale a afirmativa correta.
Provas
Paciente feminina, 55 anos, com queixa de nódulo mamário palpável há três meses com crescimento progressivo, associado a espessamento cutâneo e retração papilar, procurou serviço de mastologia, sendo indicadas mamografia, ultrassonografia e ressonância magnética das mamas, além de biópsia guiada por imagem. Sobre a conduta proposta, assinale a afirmativa correta.
Provas
A prematuridade é um problema de saúde pública mundial e acomete, aproximadamente, 15 milhões de partos no mundo. O colo uterino é responsável pela manutenção da gestação e seu amadurecimento ocorre de uma cérvice totalmente fechada e alongada até um formato encurtado e esvaecido. A ultrassonografia transvaginal pode identificar a precocidade desse processo e permitir intervenções, a fim de prolongar a gestação até o termo. A sistematização básica da avaliação do colo uterino na gestação foi descrita por Kagan e Soniek e, para se ter um resultado acurado, recomenda-se que ela seja seguida à risca. Assinale, a seguir, um passo correto da sistematização do exame.
Provas
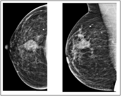
Paciente, 45 anos, encaminhada à mamografia por nódulo palpável em exame físico. Não há exames prévios.

Tal lesão deve ser classificada como BIRADS:
Provas
Sobre a ultrassonografia pélvica em crianças do sexo feminino, marque V para as afirmativas verdadeiras e F para as falsas.
( ) Em neonatos, o volume ovariano é discretamente maior que na infância.
( ) A relação colo/corpo uterino de 2:1 representa ação hormonal uterina; deve ser valorizada em casos suspeitos de puberdade precoce.
( ) O estudo Doppler das artérias uterinas pode ser empregado como ferramenta complementar no seguimento da puberdade. Ao final da puberdade, o espectro Doppler é de uma onda sistólica mais larga, com Doppler contínuo durante a diástole e IP geralmente menor do que no início da puberdade.
( ) O rabdomiossarcoma vaginal é encontrado geralmente em adolescentes; a aparência desses tumores é de grandes nódulos heterogêneos com conteúdo sólido, cístico e gorduroso, posteriores à bexiga. Há, também, reforço acústico posterior.
A sequência está correta em
Provas
Paciente, sexo feminino, 12 anos de idade, encaminhada pelo pronto-socorro pediátrico para serviço de ultrassonografia por dor em FID há três dias com piora nas últimas 24 horas associada à adinamia. Foi realizado o exame; a paciente foi encaminhada ao centro cirúrgico após o diagnóstico. Considerando a situação hipotética, assinale a afirmativa correta.
Provas
Paciente, sexo feminino, 30 anos, comparece para realização de ultrassonografia transvaginal. Assintomática, DUM há três anos, usuária de DIU hormonal há quatro anos. Ao exame, evidenciado DIU bem localizado; endométrio 7 mm; ovário direito com volume de 4 cm³; ovário esquerdo com volume de 10 cm³ às custas de cisto unilocular; sem septos e papilas; e, ausência de fluxo ao estudo Doppler, medindo 17 mm. Considerando a situação hipotética, qual orientação deverá ser dada à paciente?
Provas
Caderno Container