Foram encontradas 2.033 questões.
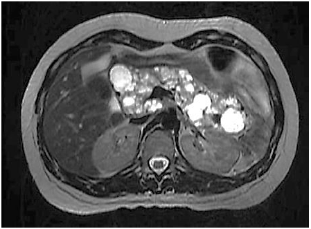
Paciente realiza ressonância magnética que individualiza múltiplas formações císticas pancreáticas conforme a imagem:

Podemos afirmar que o paciente tem maior risco de desenvolver as seguintes condições, EXCETO:
Provas
Alguns micro-organismos possuem facilidade para penetrar nas articulações, causando processo inflamatório-infeccioso. Como a sinóvia que reveste as articulações não apresenta defesa substancial, elas logo atingem o líquido sinovial, levando à artrite séptica. Considerando o exposto, quais são as articulações mais comprometidas por artrite séptica em crianças e adultos, respectivamente?
Provas
“Paciente, recém-nascido, quatro semanas de vida, apresenta quadro de vômitos, desidratação e perda de peso. Foi realizada ultrassonografia com estenose hipertrófica de piloro. O critério para estabelecer o diagnóstico é: espessamento da muscular e comprimento do piloro .” Assinale a alternativa que completa correta e sequencialmente a afirmativa anterior.
Provas
A Hérnia Diafragmática Congênita (CDH) representa uma pequena proporção de todas as hérnias diafragmáticas. No entanto, é uma das anomalias intratorácicas do feto não cardíaco mais comuns. A maioria das hérnias diafragmáticas congênitas são detectadas logo após o nascimento ou em ultrassom pré-natal. A mortalidade é predominantemente decorrente do desenvolvimento de hipoplasia pulmonar, que ocorre devido ao efeito de massa no pulmão em desenvolvimento. Esses neonatos apresentam hipoxemia e têm circulação fetal persistente devido à hipoplasia pulmonar e hipertensão pulmonar. Sobre as causas de imagens císticas aéreas em RN, assinale a afirmativa correta.
Provas
CB, 2 meses, sexo masculino, assintomático; durante a investigação de massa abdominal palpável pelo pediatra realizou cintilografia renal com DMSA que evidenciou os seguintes resultados:

Podemos afirmar que o diagnóstico mais provável é:
Provas
Neurofibromatose (NF) pode ser classificada como tipo 1 (NF1), tipo 2 (NF2) e schwannomatose. A NF2 é uma doença genética autossômica dominante que predispõe à ocorrência de tumores como schwannomas, meningiomas e ependimomas. O diagnóstico é estabelecido por identificação do gene mutado, ou por critérios do National Health Institute (NHI) dos Estados Unidos. NÃO faz parte dos critérios do National Health Institute (NHI) para neurofibromatose tipo II:
Provas
Na investigação de doença metastática no abdômen, para realizar o protocolo correto de exame e auxiliar na interpretação dos achados de imagem, é fundamental conhecer as características de realce dos tumores primários pelos meios de contraste endovenoso. Os tumores que têm realce hipervascular e hipovascular são, respectivamente:
Provas
“Craniossinostose refere-se ao fechamento prematuro das suturas cranianas. A forma do crânio, então, sofre mudanças e características, dependendo das suturas que fecham precocemente. Sobre a dolicocefalia, é correto afirmar que há aumento do diâmetro devido ao fechamento precoce da sutura .” Assinale a alternativa que completa correta e sequencialmente a afirmativa anterior.
Provas
Paciente, sexo feminino, 57 anos, realizou um estudo de tomografia computadorizada com a utilização de meio de contraste endovenoso, e cursa com mal-estar, PA de 63 x 40 mmHg e FC de 47 bpm. Considerando a situação hipotética, a droga mais indicada a ser administrada para tal paciente é:
Provas
A Artrite Reumatoide (AR) é uma doença multissistêmica crônica com manifestações predominantemente musculoesqueléticas. São consideradas características radiográficas da artrite reumatoide:
Provas
Caderno Container