Foram encontradas 540 questões.
Criança de 11 anos, sexo feminino, com infecções urinárias de repetição e dor lombar direita de longa data, apresenta micções normais e perda urinária constante (usa fralda), gestação e parto sem intercorrências, desenvolvimento neuropsicomotor adequado e sem outras patologias. Diante desse quadro clínico, a hipótese diagnóstica mais adequada é:
Provas
Questão presente nas seguintes provas
Hoje sabe-se que metade da população encontra-se com sobrepeso e com isso a cirurgia bariátrica vem ganhando destaque na mídia, o que fez com que o CFM baixasse a resolução nº 1766/05 asseverando que o tratamento cirúrgico de obesidade está indicado para pacientes com
Provas
Questão presente nas seguintes provas
No que se refere ao código de ética médica, é vedado ao médico:
Provas
Questão presente nas seguintes provas
Analise o partograma a seguir e indique o diagnóstico e a conduta obstétrica ideal:


Provas
Questão presente nas seguintes provas
Em relação à cirurgia de acesso para raspagem, considerando-se o retalho de Widman modificado, nota-se que
Provas
Questão presente nas seguintes provas
Segundo o Código de Ética do Psicólogo, é vedado
Provas
Questão presente nas seguintes provas
Segundo o DSM IV-TR, é incaracterístico da Síndrome de Asperger:
Provas
Questão presente nas seguintes provas
Em relação ao tratamento endodôntico em dentes decíduos, tem-se o seguinte:
Provas
Questão presente nas seguintes provas
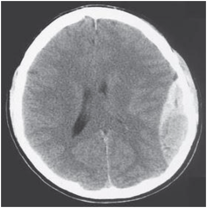
Paciente com traumatismo craniano foi atendido no pronto-socorro e foi realizado o exame a seguir. Qual o diagnóstico?

Fonte: Site Ciência Atual. Disponível em: <www.ciencia-atual.blogspot.com.br/
2009/02/serie-imagem-em-medicina-clinica-20.html>. Acesso em: 25 mar. 2013.
Provas
Questão presente nas seguintes provas
O diagnóstico da leucoplasia é feito normalmente por exclusão de outras lesões que se apresentam com placas brancas na boca. Placas brancas na região intraoral são características de
Provas
Questão presente nas seguintes provas
Cadernos
Caderno Container