Foram encontradas 320 questões.
FSL, 8 meses, sexo feminino é trazida para consulta de rotina devido a lesões em couro cabeludo há dois meses. Ao exame físico, nota-se a presença de placas eritematosas em couro cabeludo, pescoço, face e axila, pruriginosas com escamas de cor amarelo-acastanhadas bem aderidas. O melhor tratamento inclui
Provas
JSS, 13 anos, sexo masculino, apresenta IMC acima do percentil 95 (Curva da OMS). Pressão arterial no percentil 50 para idade e sexo. Os exames laboratoriais mais recomendados na avaliação inicial são
Provas
Paciente de 4 anos com diabetes insipidus iniciou tratamento com desmopressina intranasal. Uma das principais complicações deste tratamento é
Provas
Uma paciente do sexo feminino portadora de Síndrome de Down, com 4 meses de vida, procura o pediatra devido à dificuldade para mamar, apresenta episódios ocasionais de regurgitação e baixo ganho de peso desde o nascimento, apesar de estar em aleitamento materno exclusivo. Foi uma recém-nascida de termo, sem intercorrências no pré-natal, parto normal sem intercorrências. Teve ictérica leve no 2º dia de vida. Peso de nascimento: 2.790 g. Teste do pezinho normal. A principal hipótese diagnóstica que deve ser afastada neste momento é
Provas
Adolescente de 12 anos refere aparecimento de tumoração em região posterior do joelho. Ao exame físico apresenta joelho indolor e tumoração de 4 cm de diâmetro de consistência cística, indolor a palpação e a mobilização em posição medial da fossa poplítea, mais proeminente na extensão do joelho em decúbito ventral. Restante do exame físico normal. A melhor conduta inicial é
Provas
A mãe de um lactente de 6 meses está preocupada que seu filho ainda não apresente dentes. A idade média para a erupção do primeiro dente é
Provas
Paciente do sexo masculino, 6 anos, é levado ao pediatra com a queixa de diarréia há 6 meses. A mãe refere que a criança apresenta perdas diárias de fezes líquidas sujando a roupa. Ao exame físico apresenta fezes palpáveis na topografia retal. A conduta inicial é
Provas
Paciente do sexo masculino, 12 anos, portador de anemia falciforme evolui com dor torácica intensa que não melhora com analgésicos simples. Ao exame apresenta-se taquidispnéico, descorado, febril com SatO2: 88%. O tratamento deste paciente deve evitar:
Provas
s 12 horas de vida, recém-nascido de termo, sexo feminino, parto normal, Apgar 9/9 e gestação sem intercorrências, evolui com tosse, leve dispneia, saída de secreção abundante pela boca com respiração ruidosa e crise de cianose. A melhor conduta inicial para o diagnóstico é:
Provas
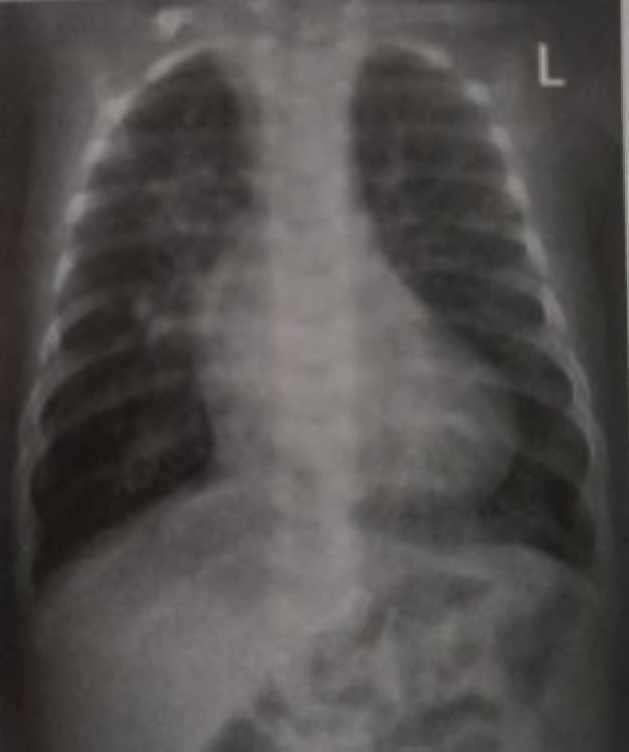
Recém-nascido com idade gestacional de 42 semanas, filho de mãe diabética, parto cesárea por pós-datismo e líquido amniótico meconial (+++/4+). Evolui com cianose central, FC: 120 bpm, FR: 65 ipm. Após ser colocado em halo respiratório com oferta de oxigênio a 100%, manteve cianose central e saturação de 60%. Gasometria arterial mostrou: pH: 7,25, pCO2: 42, pO2: 40, bic: 15, BE: -10 e SatO2: 57%. Realizada radiografia de tórax, conforme abaixo.

A conduta imediata neste momento é:
Provas
Caderno Container