Magna Concursos

Foram encontradas 320 questões.

479834 Ano: 2018
Disciplina: Psiquiatria
Banca: FCC
Orgão: PM-AP

Atenção: Para responder às questões de números 36 a 38, considere o caso clínico abaixo.

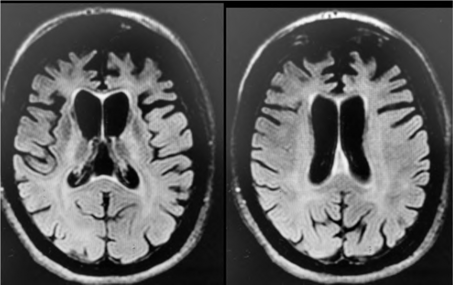
F.E.A, 64 anos, casada, superior completo, professora do ensino fundamental. Segundo os familiares, até 5 anos atrás a paciente tinha funcionalidade preservada, bom rendimento no trabalho, frequentava a igreja e atividades sociais. Nesses 5 anos começou a ficar mais retraída, reduziu contato social e permanecia mais em casa. Inicialmente pensaram que essas alterações estavam relacionadas à aposentadoria, mas com o passar do tempo começou a recusar ver filhos e netos, além de apresentar comportamento mais desinibido, sem prejuízo da necessidade de sono ou aceleração psíquica. Na avaliação clínica, verificou-se prejuízo visuoespacial e de função executiva significativos, associados a comprometimento da cognição social e pensamento lógico. Memória relativamente preservada. Funcionalidade prejudicada, com declínio das atividades instrumentais de vida diária. Ao exame físico, apresentava regular estado geral, algo descuidada, sinais vitais dentro dos parâmetros de normalidade. O exame neurológico apresentou grasping positivo, sem outras alterações. Exames gerais, EEG e líquor dentro dos parâmetros de normalidade. O exame de ressonância do crânio revelou a seguinte imagem:

enunciado 479834-1

São possibilidades adequadas para o tratamento da paciente:

 

Provas

Questão presente nas seguintes provas
479833 Ano: 2018
Disciplina: Psiquiatria
Banca: FCC
Orgão: PM-AP

Atenção: Para responder às questões de números 36 a 38, considere o caso clínico abaixo.

F.E.A, 64 anos, casada, superior completo, professora do ensino fundamental. Segundo os familiares, até 5 anos atrás a paciente tinha funcionalidade preservada, bom rendimento no trabalho, frequentava a igreja e atividades sociais. Nesses 5 anos começou a ficar mais retraída, reduziu contato social e permanecia mais em casa. Inicialmente pensaram que essas alterações estavam relacionadas à aposentadoria, mas com o passar do tempo começou a recusar ver filhos e netos, além de apresentar comportamento mais desinibido, sem prejuízo da necessidade de sono ou aceleração psíquica. Na avaliação clínica, verificou-se prejuízo visuoespacial e de função executiva significativos, associados a comprometimento da cognição social e pensamento lógico. Memória relativamente preservada. Funcionalidade prejudicada, com declínio das atividades instrumentais de vida diária. Ao exame físico, apresentava regular estado geral, algo descuidada, sinais vitais dentro dos parâmetros de normalidade. O exame neurológico apresentou grasping positivo, sem outras alterações. Exames gerais, EEG e líquor dentro dos parâmetros de normalidade. O exame de ressonância do crânio revelou a seguinte imagem:

enunciado 479833-1

O diagnóstico mais provável do presente quadro é

 

Provas

Questão presente nas seguintes provas
479832 Ano: 2018
Disciplina: Psiquiatria
Banca: FCC
Orgão: PM-AP

São sinais ou sintomas apresentados no critério diagnóstico “C” do DSM-5 para intoxicação por estimulantes, e que podem ser desenvolvidos durante ou logo após o uso dessas substâncias:

 

Provas

Questão presente nas seguintes provas
479831 Ano: 2018
Disciplina: Psiquiatria
Banca: FCC
Orgão: PM-AP

Nas diretrizes diagnósticas da CID-10 para anorexia nervosa (CID-10: F50.0), consta que o peso corporal se mantenha, pelo menos, 15% abaixo do esperado (tanto perdido quanto nunca alcançado) ou que o índice da massa corporal de Quetelet se mantenha menor ou igual a

 

Provas

Questão presente nas seguintes provas
479830 Ano: 2018
Disciplina: Psiquiatria
Banca: FCC
Orgão: PM-AP

C.W.S., 8 anos, sexo masculino, foi levado para avaliação com psiquiatra infantil por apresentar deficiências qualitativas na interação social recíproca e padrões de comportamento, interesses e atividades restritos, repetitivos e estereotipados. Não possui nenhum atraso ou retardo global no desenvolvimento cognitivo ou de linguagem. Após a avaliação, a médica chegou ao diagnóstico de Síndrome de Asperger (CID-10: F84.5), que, na referida classificação de transtornos mentais e de comportamento, inclui:

 

Provas

Questão presente nas seguintes provas
479829 Ano: 2018
Disciplina: Psiquiatria
Banca: FCC
Orgão: PM-AP

No critério diagnóstico “B” do DSM-5 para narcolepsia, consta a presença de polissonografia do sono noturno demonstrando latência do sono REM inferior ou igual a I minutos ou teste de latência múltipla do sono demonstrando média de latência do sono inferior ou igual a II., minutos e dois ou mais períodos de REM no início do sono.

As lacunas I e II são preenchidas, correta e respectivamente, por

 

Provas

Questão presente nas seguintes provas
479828 Ano: 2018
Disciplina: Psiquiatria
Banca: FCC
Orgão: PM-AP

De acordo com o DSM-5, nos marcadores diagnósticos do transtorno pedofílico, medidas psicofisiológicas do interesse sexual podem, algumas vezes, ser úteis quando a história do indivíduo sugere a possível presença de transtorno pedofílico, mas ele nega atração forte ou preferencial por crianças. Entre essas medidas, a mais pesquisada e usada há mais tempo é:

 

Provas

Questão presente nas seguintes provas
479827 Ano: 2018
Disciplina: Psiquiatria
Banca: FCC
Orgão: PM-AP

Considere as afirmativas abaixo relacionadas às “questões diagnosticas relativas ao gênero”, em diferentes condições clínicas, descritas no DSM-5:

I. Os ataques de pânico são mais comuns em indivíduos do sexo feminino do que nos do masculino, mas as características clínicas dos sintomas dos ataques de pânico não diferem entre os gêneros.

II. Indivíduos do sexo masculino, em geral, têm mais propensão do que os do sexo feminino para receber diagnóstico de formas moderadas (razão média masculino/feminino 1,6:1) e graves (razão média masculino/feminino 1,2:1) de deficiência intelectual.

III. O transtorno do déficit de atenção/hiperatividade (TDAH) é mais frequente no sexo masculino do que no feminino na população em geral, com uma proporção de cerca de 2:1 nas crianças e de 1,6:1 nos adultos. Há maior probabilidade de pessoas do sexo feminino se apresentarem primariamente com características de desatenção na comparação com as do sexo masculino.

IV. Indivíduos do sexo feminino com transtorno bipolar tipo I ou tipo II têm maior probabilidade de apresentar sintomas depressivos, e apresentam risco menor ao longo da vida de transtorno por uso de álcool do que os indivíduos do sexo masculino, embora tenham uma probabilidade maior de transtorno por uso de álcool do que indivíduos do sexo feminino na população em geral.

Com base no DSM-5, está correto o que consta APENAS de

 

Provas

Questão presente nas seguintes provas
479826 Ano: 2018
Disciplina: Psiquiatria
Banca: FCC
Orgão: PM-AP

De acordo com o DSM-5, a porcentagem dos pacientes ambulatoriais com transtorno dissociativo de identidade que tentaram suicídio é

 

Provas

Questão presente nas seguintes provas
479825 Ano: 2018
Disciplina: Psiquiatria
Banca: FCC
Orgão: PM-AP

Com relação à encoprese, considere:

I. Estima-se que, aproximadamente, 1% das crianças de 5 anos de idade tenham encoprese, e o transtorno é mais comum no sexo masculino do que no feminino.

II. A eliminação repetida de fezes em locais inapropriados deve ser sempre involuntária, nunca intencional

III. É preciso que a eliminação repetida de fezes em locais inapropriados ocorra, no mínimo, três vezes por mês, durante, pelo menos, 6 meses.

IV. A encoprese não é diagnosticada até a criança ter chegado a uma idade cronológica mínima de 4 anos (ou, no caso de crianças com atraso no desenvolvimento, uma idade mental de, no mínimo, 4 anos).

Com base no DSM-5, está correto o que consta APENAS de

 

Provas

Questão presente nas seguintes provas