Foram encontradas 800 questões.
As complicações respiratórias que caracterizam um desvio do equilíbrio ácido-base diagnosticado como acidose metabólica, podem ser observadas por meio das seguintes alterações observadas pelo exame de gasometria em sangue arterial:
Provas
Os tubos para coleta de sangue são usados para coletar e transportar as amostras de sangue do paciente até o laboratório para posterior análise. Esses tubos possuem uma coloração específica, em função do aditivo colocado no seu interior, para a preservação do material para o exame especifico. Relacione a cor de cada tubo abaixo, com o aditivo presente e/ou o teste indicado para o paciente.
| COR DO TUBO | INDICAÇÃO |
| 1. Rosa/roxo/lilás | ( ) possui citrato de sódio, para estimular a coagulação. |
| 2. Amarelo | ( ) possui ativador de coágulo+gel, para após a coagulação, haver uma separação física entre a parte celular e liquida (soro) |
| 3. Cinza | ( ) Possui EDTA, anticoagulante para preservação da morfologia celular, para rotinas hematológicas |
| 4. Azul | ( ) Possui heparina de lítico, aditivo que ativa as enzimas antiplaquetárias que bloqueiam a cascata de coagulação |
| 5. Verde | ( ) Fluoreto de sódio e EDTA, atuando como inibidor glicótico e anticoagulante, utilizando para análises que incluem dosagem de glicos. |
A sequência numérica correta para a correlação, na ordem dada, é
Provas
Com relação à ecocardiografia sob estresse, analise as afirmações a seguir:
I. A utilização do contraste endocavitário facilita a visualização das paredes do VE, ao mesmo tempo que permite a avaliação da perfusão miocárdica.
II. Broncoespasmo e uso de xantinas são contraindicações ao uso de Dipiridamol.
III. Está indicada para avaliação de pacientes portadores de estenose aórtica grave de baixo fluxo e baixo gradiente e fração de ejeção reduzida, para diferenciar estenose aórtica grave de pseudo-estenose aórtica grave.
Está correto o que se afirma em:
Provas
Paciente diabético do sexo masculino, 66 anos, apresenta sinais clínicos de neuropatia sensitiva nos membros inferiores. Quanto ao cuidado com o pé diabético, avalie as seguintes afirmações.
I. Usar cremes para prevenir a pele seca.
II. Aplicar água quente e compressa morna sobre os pés.
III. Lavar diariamente os pés, secando bem entre os dedos.
Está correto o que se afirma em
Provas
Homem de 25 anos é atendido durante viagem ao Jalapão (TO) com dor abdominal, vômitos e diarreia com sangue. No exame físico sua temperatura axilar é de 36,8ºC, frequência cardíaca de 120 bpm e pressão arterial de 110/75 mmHg. Exames complementares realizados na urgência mostram: hemoglobina = 9,5 g/l; leucometria = 13.000/mm3; contagem relativa de neutrófilos = 83%; contagem de plaquetas = 30.000/mm3; ureia sérica = 156 mg/dL; creatinina sérica = 5,2 mg/dL.
Além da reposição adequada de líquidos por via intravenosa, qual a próxima abordagem mais apropriada para este paciente:
Provas
Mulher de 73 anos com história de dispneia aos esforços vai à consulta médica. A radiografia do tórax revelou hipertensão venosa pulmonar. Encontra-se em uso de anticoagulante oral, betabloqueador e diurético de alça, porém refere cansaço e dispneia. No exame apresenta ritmo cardíaco irregular e frequência ventricular de 104 bpm, pressão arterial de 160/80 mmHg; há distensão venosa jugular e edema dos membros inferiores, mas não foram encontrados sopros, terceira bulha ou ruídos adventícios pulmonares à ausculta. A radiografia do tórax revelou hipertensão venosa pulmonar e o ecocardiograma apresentou fração de ejeção de 65%, ventrículo esquerdo com diâmetro normal e hipertrofia concêntrica, e aumento do átrio esquerdo.
Sobre essa paciente, podemos afirmar que apresenta
Provas
Homem de 67 anos com história prévia de DPOC e ainda tabagista, apesar de ter sido orientado para cessar o hábito, é atendido com dispneia em unidade de pronto atendimento. Refere tosse matinal pouco produtiva e vem se mantendo afebril nos últimos dias. Ao exame físico se nota veias jugulares túrgidas a 45º; bulhas cardíacas hipofonéticas e ausculta respiratória com redução universal do murmúrio vesicular; presença de edema de membros inferiores 9++/4+).
A causa mais provável da dispneia é:
Provas
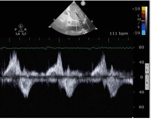
Considere um paciente de 72 anos, portador de fibrilação atrial e doença pulmonar crônica, admitido com dispneia e edema de membros inferiores.
Com base na imagem do fluxo da veia supra-hepática a seguir, assinale a alternativa que apresenta a hipótese diagnóstica mais provável.

Provas
A conduta terapêutica a ser tomada em paciente portador de insuficiência adrenal com diagnóstico confirmado de COVID-19 e que apresenta febre, tosse seca, cansaço, mialgia, dor de garganta e congestão nasal é
Provas
A ocorrência de eritema nodoso acompanhado de febre, adenopatia hilar, poliartrite migratória e iridociclite aguda, em um paciente com sarcoidose, caracteriza a
Provas
Caderno Container