Foram encontradas 800 questões.
Uma paciente com história de síncope e períodos de bloqueio atrioventricular total foi submetida a implante de marcapasso definitivo.

De acordo com sua radiografia de tórax, o tipo de dispositivo mais provável é o
Provas
Mulher de 58 anos com hipertensão arterial, diabetes mellitus e dislipidemia foi encaminhada para a realização de um risco cirúrgico para colecistectomia por videolaparoscopia. Relata que caminha 3 vezes por semana durante 1 hora, sem limitações. Está em uso de losartana, atenolol, metformina e sinvastatina. Frequência cardíaca: 66 bpm; pressão arterial: 126 x 74 mmHg e o restante do exame físico normal. Eletrocardiograma e laboratório sem alterações.
Em relação ao manejo do risco cardiovascular na avaliação pré-operatória, assinale a opção mais adequada.
Provas

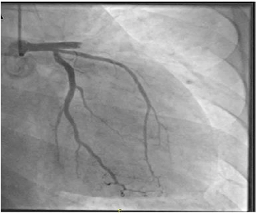
A coronariografia acima é compatível com a seguinte emergência cardiovascular:
Provas
Em relação à pericardite aguda, assinale a afirmativa correta.
Provas
Identifique o medicamento que está mais associado à arritmia abaixo.

Provas
O caso clínico a seguir refere-se a questão.
Mulher de 60 anos, sem comorbidades, relata dor torácica retroesternal em aperto de início há 90 minutos, que começou após ser informada do falecimento de seu irmão.
Ao exame: taquidispneica em ar ambiente, sudoreica, corada, acianótica. FC: 120 bpm; PA: 118 x 64 mmHg. MVUA com crepitação até os 2/3 superiores bilateralmente. RCR em 3 tempos (B3), bulhas normofonéticas, sem sopros ou turgência jugular patológica a 90°. O restante do exame físico foi normal. ECG de entrada com supradesnível de 2mm do segmento ST de V1-V4. Coronariografia de urgência não mostrou obstruções, mas a ventriculografia revelou disfunção sistólica moderada do ventrículo esquerdo, com acinesia antero-apical e hipercinesia das regiões basais.
Considerando o quadro acima, assinale o diagnóstico mais provável.
Provas
Em pacientes com estenose aórtica grave, a ocorrência de hemorragia digestiva baixa deve levantar a suspeita de
Provas
No contexto dos anti-hipertensivos, assinale a opção que demonstra uma associação verdadeira entre o medicamento e o potencial efeito adverso.
Provas
Dos fatores de risco para eventos embólicos na fibrilação atrial, aquele associado ao maior risco, entre as opções a seguir, é
Provas
Um paciente é atendido no serviço de emergência após subitamente perder a consciência. Ele encontra-se irresponsivo e sem pulso carotídeo palpável. Após início das manobras de reanimação, o paciente é monitorizado e apresenta o traçado abaixo.

A conduta imediata deve ser
Provas
Caderno Container