Foram encontradas 800 questões.
Em relação à rotura do músculo papilar, é correto afirmar que
Provas
A etiologia mais comum de estenose mitral nos países desenvolvidos é
Provas
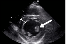
Observe a imagem:

O músculo papilar identificado na seta é o
Provas
O método de Baermann é um método de análise parasitológica de fezes que se baseia em
Provas
Dos métodos a seguir, o mais indicado para pesquisa de ovos de ancilostomídeos é o
Provas
Para o diagnóstico de coccídios em amostras fecais conservadas, é aconselhável o uso de
Provas
A parasitose que ocorre pela ingestão de oocistos provenientes do solo, ingestão de carne crua e infecção transplacentária como modos de transmissão é a
Provas
O diagnóstico parasitológico da doença de Chagas aguda é feito por meio do método de:
Provas
Assinale a alternativa que apresenta os métodos considerados parasitológicos diretos para o diagnóstico de Schistosoma mansoni.
Provas
O teste de fixação do complemento é um teste imunológico que detecta anticorpos específicos, sendo usado como meio de diagnosticar doenças infecciosas. Assinale a afirmativa correta sobre essa metodologia.
Provas
Caderno Container