Foram encontradas 800 questões.
Mulher de 49 anos, amenorreia há 9 meses, refere fogachos intensos, insônia e diminuição de libido. Relata ser normotensa. O perfil lipídico evidenciou colesterol total=160 mg/dl; LDL =100 mg/dl; HDL = 70 mg/dl; triglicerídeos = 110 mg/dl. IMC 30 kg/m2. Deseja iniciar terapia hormonal.
Assinale a melhor opção para esse caso.
Provas
Relacione as entidades patológicas com a melhor descrição ou comentário.
1. Doença de Fabry
2. Endomiocardiofibrose
3. Cardiotoxidade por radiação
4. Cardiomiopatia restritiva idiopática
5. Sarcoidose cardíaca
( ) Fibrose apical do ventrículo esquerdo e/ou direito com formação sobreposta de trombo.
( ) Pode-se apresentar como uma cardiomiopatia restritiva ou pericardite constrictiva.
( ) A biópsia do miocárdio é necessária para o diagnóstico.
( ) A biópsia do endomiocárdio pode ter uma aparência de dupla cama ou binária no eco ou ser confundido com uma cardiomiopatia hipertrófica.
( ) Frequentemente associada a anormalidades segmentares do movimento das paredes fora da distribuição clássica da anatomia da perfusão coronariana do miocárdio.
Assinale a alternativa que mostra a relação correta, de cima para baixo:
Provas
Identifique a etiologia mais provável de regurgitação aórtica baseada na imagem abaixo.

Provas
Das condições abaixo, assinale a mais associada ao defeito do septo atrial do tipo seio venoso.
Provas
A localização típica da coarctação da aorta é
Provas
A síndrome de Loeys-Dietz está associada à seguinte anormalidade:
Provas
Em relação às cardiomiopatias restritivas, assinale a afirmativa correta.
Provas
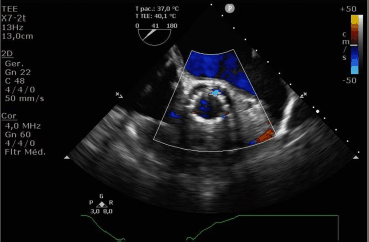
Paciente homem, 85 anos, portador de estenose aórtica grave e alto risco cirúrgico, submetido a implante valvar aórtico percutâneo (TAVI). Imediamente após a liberação da válvula, foi submetido a ecocardiograma transesofágico que mostrou leve refluxo.
A seguinte imagem foi obtida.

Nesse caso, nota-se regurgitação
Provas
Durante a realização de um ecocardiograma com contraste sonográfico nota-se que o ápice ventricular esquerdo não está totalmente opacificado, observando um enchimento inadequado de bolhas com swirling.
A primeira abordagem seria
Provas
Os folhetos da valva pulmonar são
Provas
Caderno Container