Foram encontradas 50 questões.
Uma paciente de quarenta anos de idade, usuária de anticoncepcional oral e tabagista, chegou ao pronto-socorro com dor abdominal. Foi realizada uma angiotomografia, que evidenciou uma trombose da artéria mesentérica superior. Por apresentar sinais de peritonite, optou-se pelo tratamento operatório, com posterior anticoagulação. Durante a cirurgia, foi encontrada necrose extensa do intestino delgado, desde 50 cm do ângulo de Treitz até cerca de 20 cm da válvula ileocecal (não havia necrose no cólon).
Com base nesse caso hipotético, assinale a alternativa correta.
Provas
Uma paciente de 63 anos de idade, vítima de atropelamento por automóvel, foi levada ao pronto-socorro em prancha rígida e com colar cervical, GCS 15, eupneica, com FC de 120 bpm, PA de 100 x 60 mmHg, A e B sem alterações, dor na região suprapúbica, membro inferior direito com rotação interna, equimose inguinal e sinal de Destot positivo. Após estabilização com lençol e expansão volêmica, a paciente teve melhora transitória da taquicardia, sendo possível a realização da tomografia de crânio, tórax, abdômen e pelve, que descartaram focos de hemorragia nesses segmentos e evidenciaram uma lesão em compressão lateral à direita.
Com base nesse caso hipotético, assinale a alternativa que apresenta a conduta mais adequada nesse momento.
Provas
Um paciente de quarenta anos de idade, portador de encefalopatia crônica não evolutiva, foi levado ao pronto-socorro pelos genitores, pois estava vomitando e com fácies de dor há cerca de quatro dias. Ao exame físico, apresentava-se em regular estado geral, taquipneico, desidratado, corado, 100 bpm, com pulso fino e rápido, perfusão periférica de 3 segundos, abdome plano, flácido, com aparente dor à palpação superficial do epigastro e sem sinais de peritonite. Foi passada uma sonda nasogástrica com saída de cerca de 1.000 mL de líquido de estase. Após as medidas iniciais de hidratação e correção de distúrbios metabólicos, o paciente se mostrou estável, sendo encaminhado para a tomografia de abdome, cujo achado mais relevante foi uma hérnia hiatal de grandes proporções, sendo que o estômago se encontrava no mediastino. Optou-se pela realização de uma endoscopia, que determinou que a transição esofagogástrica estava situada a 15 cm do pinçamento diafragmático.
Com base nesse caso hipotético, assinale a alternativa que apresenta o provável diagnóstico do paciente.
Provas

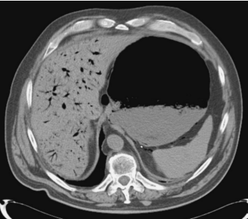
Assinale a alternativa que apresenta o achado da tomografia computadorizada acima.
Provas
Uma paciente de 65 anos de idade, com antecedente de hipertensão arterial sistêmica e angioplastia coronariana há dois anos (em uso de AAS), foi admitida no pronto-socorro com melena há doze horas, normal hemodinamicamente. Realizou endoscopia digestiva alta e colonoscopia, que não evidenciaram sangramento. A dosagem inicial de hemoglobina sérica era de 8 g/dL (normal: 12-18 g/dL) e o toque retal confirmava a presença de melena.
Com base nesse caso hipotético, assinale a alternativa que apresenta o próximo passo na investigação diagnóstica.
Provas
Um paciente de vinte anos de idade, sem comorbidades, foi levado ao pronto-socorro após queda de bicicleta. À admissão, apresentava-se com a via aérea pérvia, eupneico, com expansão torácica preservada bilateralmente, ausculta pulmonar normal, sem alterações hemodinâmicas e com 15 pontos na escala de coma de Glasgow. Foi submetido a uma tomografia computadorizada de abdome com contraste endovenoso, que evidenciou uma grande laceração esplênica, levando à desvascularização de cerca de 50% da víscera, sem extravasamento de contraste na fase arterial e com moderada quantidade de líquido livre na cavidade abdominal. O paciente continuava normal do ponto de vista hemodinâmico e não apresentava sinais de peritonite.
Com base nesse caso hipotético, assinale a alternativa que apresenta a melhor conduta.
Provas
Um paciente de 29 anos de idade, vítima de ferimento por arma branca em linha paraesternal esquerda, apresenta dreno de tórax, à direita, com borbulhamento intenso.
Com base nesse caso hipotético, é correto afirmar que, se se tratar de uma lesão de brônquio, a melhor conduta será a
Provas
Um paciente de sessenta anos de idade, sem antecedentes mórbidos, chegou ao pronto-socorro com mal-estar e icterícia. Apresentava-se em bom estado geral, eupneico, desidratado +/4+, corado, ictérico 2+/4, com frequência cardíaca de 92 bpm, pulso amplo e cheio, boa perfusão periférica e pressão arterial de 110 x 70 mmHg. Seu abdome era flácido, doloroso no hipocôndrio direito, sem sinais de peritonite. Realizou uma ultrassonografia de abdome, que evidenciou colelitíase e dilatação das vias biliares, sem caracterização do ponto obstrutivo. Seus exames laboratoriais apontavam uma bilirrubina total de 10 mg/dL (normal até 1,2 mg/dL), às custas de bilirrubina direta (8 mg/dL), 10 mil leucócitos (normal até 12 mil/mm3 ), 250 mil plaquetas (normal: 150 mil – 400 mil/uL de sangue), creatinina de 1,2 mg/dL (normal até 1,2 mg/dL), INR de 1, além de gasometria e lactato arteriais normais (colhidos com o paciente respirando ar ambiente).
Com base nesse caso hipotético, assinale a alternativa correta.
Provas
Um paciente de cinquenta anos de idade, com antecedentes de obesidade, hipertensão arterial sistêmica e diabetes, foi submetido à colecistectomia videolaparoscópica para tratamento de colecistite aguda há dois dias. Hoje passou a apresentar dor abdominal difusa, frequência cardíaca de 120 bpm e saída de bile pelo dreno localizado no flanco direito. A equipe assistente indicou a realização de uma videolaparoscopia diagnóstica, que encontrou um coleperitônio e uma lesão parcial da via biliar principal logo abaixo da inserção do ducto cístico.
Com base nesse caso hipotético, assinale a alternativa que apresenta a melhor conduta.
Provas
Uma paciente de trinta anos de idade, sem antecedentes mórbidos, chegou ao pronto-socorro queixando-se de dor no baixo ventre há cerca de cinco dias, sendo que hoje passou a apresentar febre. Ao exame físico, sem sinais de sepse e com abdome plano, flácido e doloroso no andar inferior. Foi realizado exame ginecológico, sendo constatada dor à mobilização do colo uterino. Os exames laboratoriais mostravam uma leucometria normal e um aumento de PCR (duas vezes o valor normal). A tomografia computadorizada de abdome mostrou um apêndice sem sinais inflamatórios e pequena quantidade de líquido livre na pelve.
Com base nesse caso hipotético, assinale a alternativa que apresenta a melhor conduta.
Provas
Caderno Container