Criança de 9 anos chega à Unidade Básica de Saúde (UBS) com o
diagnóstico de transtorno de déficit de atenção e hiperatividade
há 2 anos. Faz uso de metilfenidato há pelo menos 1 ano. O pai
informa que, desde o início do uso, apresentou grande melhora
na escola e solicita que o uso seja estendido por mais tempo.
Quais estratégias de monitoramento referentes ao uso dessa
medicação devem ser utilizadas?
O vírus Chikungunya é transmitido pelo mosquito Aedes sp e
foi responsável por grandes epidemias associadas a desfechos
clínicos agudos, crônicos e graves.
As ações voltadas para o controle do Aedes sp incluem medidas
como o manejo integrado de vetores, que envolve atividades a
serem executadas pela equipe de vigilância do território em um
processo cíclico, tais como
Ao visitar um idoso acamado de 80 anos, restrito ao lar e
dependente em relação às atividades de vida diária, a médica
de família e comunidade verificou que ele não havia recebido
as vacinas indicadas pelo Ministério da Saúde para os idosos.
Ao questionar a filha de 55 anos, principal cuidadora, sobre a
vacinação do idoso, ela respondeu que o pai é muito frágil e não
iria aguentar os efeitos colaterais, e como ele é restrito ao lar,
a família preferiu não vacinar.
Assinale a alternativa que inclui, respectivamente, vacinas
disponibilizadas no calendário de imunização nacional para o
idoso e uma forma de abordar a situação encontrada.
Uma adolescente de 15 anos comparece em consulta
ginecológica com a finalidade de iniciar contracepção. Na história
patológica pregressa, refere episódios de enxaqueca com aura.
Nos antecedentes familiares, relata que a avó materna teve
diagnóstico de câncer de mama, sua mãe é hipertensa e sua
irmã tem diabetes.
O uso do contraceptivo combinado está contraindicado para
essa paciente devido ao risco de
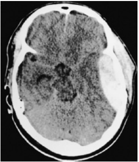
Paciente do sexo masculino, 23 anos, foi vítima de acidente
automobilístico no qual o veículo em que estava colidiu com
caminhão. Usava cinto de segurança e foi retirado consciente
do carro pela equipe de resgate. Apresentava amnésia
anterógrada. Após atendimento pré-hospitalar, o paciente foi
levado ao pronto-socorro, sem déficits motores ou sensitivos.
No hospital, o médico pede uma tomografia computadorizada
de crânio para avaliação. Alguns minutos depois, a equipe de
enfermagem solicita avaliação de emergência para o paciente,
com necessidade de intubação orotraqueal por rebaixamento do
nível de consciência e anisocoria com pupila esquerda dilatada.
Tomografia computadorizada de crânio sem contraste
Ao considerar a situação clínica do paciente e a imagem
tomográfica apresentada, o médico diagnosticou
Mãe de menina de 11 meses em consulta de puericultura, relata
que não há queixas específicas no momento e refere que a criança
está começando a trocar passos de maneira independente.
Apresenta marcos do desenvolvimento anteriores a 11 meses
dentro da normalidade e bom ganho pondero-estatural.
Gestação e parto sem intercorrências.
O reflexo primitivo usualmente presente nessa faixa etária é o
Homem de 38 anos retorna a ambulatório de clínica
médica de um hospital de atenção secundária, onde faz
acompanhamento clínico de retocolite ulcerativa. Analisando
os exames complementares solicitados na última consulta, o
médico atendente observa elevações significativas da fosfatase
alcalina e gama-GT, com discreta elevação dos níveis séricos
de aminotransferases, sem hiperbilirrubinemia. Questionado,
o paciente refere apenas leve desconforto no hipocôndrio
direito. Ao exame físico, não há icterícia, febre ou presença de
sinal de Murphy.
Considerando a doença de base do caso, o exame complementar
indicado e seu resultado provável são, respectivamente,
Homem de 55 anos, com diagnóstico de diabetes mellitus,
foi em consulta de rotina em Unidade Básica de Saúde
(UBS) levando exames laboratoriais solicitados pelo médico
na consulta anterior. Faz uso de metformina 850 mg,
3 vezes ao dia, e glicazida 30 mg, 1 vez ao dia, há mais de 6
meses. Os exames laboratoriais atuais apresentam hemoglobina
glicada de 9,5% e creatinina sérica de 0,8 mg/dL.
Qual das condutas é a mais adequada para o seguimento desse
caso?
Nulípara de 30 anos, com diagnóstico de lúpus eritematoso
sistêmico e história recente de trombose venosa, apresenta
ciclos menstruais prolongados de 8 a 10 dias, com intenso
sangramento e cólicas fortes, busca orientação sobre métodos
contraceptivos.
Considerando os critérios de elegibilidade para uso de
anticoncepção e o quadro clínico, qual é a melhor opção de
contracepção?
Paciente masculino, 36 anos, é tabagista e trabalha como
ascensorista. Procura atendimento no ambulatório queixando-se
de tosse seca, persistente por mais de 3 semanas, acompanhada
de febre vespertina, dificuldade respiratória durante esforços e
dor infraescapular à esquerda. Exame físico: bom estado geral,
orientado, emagrecido, descorado, hidratado, afebril. Ausculta
cardíaca sem alterações; ausculta pulmonar com murmúrios
vesiculares diminuídos e percussão maciça em base do tórax à
esquerda.
Com base no diagnóstico provável, quais são, respectivamente,
o exame complementar e a conduta adequada ao caso?