Foram encontradas 244 questões.
Leia o caso a seguir.
Paciente do sexo feminino, 45 anos, com queixa de dor lombar à direita acompanhada de calafrios há mais ou menos 12 horas. Vinha apresentando disúria, urgência miccional e “urina escura” há 3 dias. Ao exame: paciente alerta, orientada, obedecendo comandos. Temperatura axilar 37,8 graus Celsius, frequência cardíaca de 118bpm, pressão arterial 110x50mmHg, tempo de enchimento capilar lentificado, frequência respiratória de 25ipm. SpO2 95% em ar ambiente. Glicemia capilar: 170mg/dL. Exames colhidos evidenciaram: gasometria (pH: 7,32; pO2: 70mmHg; pCO2: 30mmHg; Bic: 15mEq/L), Sódio: 140mEq/L, Cloro: 100mEq/L e lactato: 10mmol/L. EAS com leucocitúria > 1.000.000, hematúria > 1.000.000.
Qual é a conduta apropriada?
Provas
Leia o caso a seguir.
Paciente de 55 anos de idade, sexo masculino, deu entrada em uma unidade de pronto atendimento, trazido por terceiros após ter sido encontrado caído em via pública. Diante do diagnóstico de parada cardiorrespiratória, foram iniciadas as medidas de ressuscitação cardiopulmonar (RCP).

Diante da detecção do ritmo no monitor, ilustrado acima, a conduta imediata apropriada é
Provas
Paciente do sexo masculino, 66 anos, com história de tosse matinal e dispneia aos moderados esforços há vários anos. Ele associava esses sintomas ao tabagismo e nunca procurou atendimento médico. Há 6 dias vem apresentando piora da dispneia, acompanhado de aumento do volume da expectoração, que também parece mais espessa. Fuma 2 maços de cigarro/dia, desde os 30 anos de idade. Além disso, é hipertenso e faz uso irregular de Losartam 50mg/dia, prescrito em unidade primária de saúde. Ao exame: paciente com abertura ocular a estímulos verbais, algo confuso, porém obedecendo comandos simples. Frequência respiratória de 26ipm, tórax com aumento do diâmetro antero posterior, uso evidente de musculatura acessória, redução de expansibilidade bilateralmente, murmúrio vesicular reduzido globalmente e sibilos difusos. Saturação periférica de oxigênio de 86%. Frequência cardíaca de 100bpm, pressão arterial de 140x90mmHg, bulhas hipofonéticas, sem sopros. Abdome plano, indolor, sem visceromegalias, extremidades bem perfundidas e sem edemas. Exames colhidos evidenciaram os seguintes resultados: pH 7,29 pO2 58mmHg pCO2 65mmHg Bic 30mEq/L. Sódio 140mEq/L; Potássio 4,8mEq/L; Cloro 100mEq/L.
Nesse caso específico, as intervenções terapêuticas indicadas são
Provas
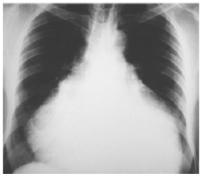
Paciente de 45 anos, sexo feminino, admitida em unidade de pronto atendimento com queixa de dispneia progressiva há 2 dias, com piora significativa até os mínimos esforços. Nega outros sintomas. Antecedente de neoplasia de mama, em acompanhamento irregular. Nega outras comorbidades. Nega uso prévio de medicações. Ao exame físico: vias aéreas aparentemente pérvias; frequência respiratória 26ipm, tórax com movimentos simétricos, murmúrio vesicular rude bilateralmente, som claro pulmonar a percussão, saturação periférica de oxigênio 88%; bulhas rítmicas e hipofonéticas, frequência cardíaca 120bpm, pressão arterial 70x40mmHg, pele fria, pegajosa, com tempo de enchimento capilar lentificado, turgência jugular evidente; aparente redução da amplitude do pulso e pressão arterial sistólica durante a inspiração; abertura ocular a estímulos dolorosos, emitindo palavras desconexas e localizando estímulos dolorosos, pupilas isofotorreagentes, sem déficit motor evidente. Trouxe radiografia de tórax realizada ontem em unidade primária de saúde (representada a seguir). Iniciado reposição volêmica com solução isotônica por acesso venoso periférico.

Qual é a conduta indicada?
Provas
Leia o caso a seguir.
Paciente do sexo feminino, 67 anos de idade, atendida em unidade de pronto atendimento com queixa de “cansaço e falta de ar” iniciada há 2 horas. Relata ainda que vinha apresentando episódios de dor epigástrica, tipo “queimação”, sem relação com jejum ou alimentos ingeridos. Portadora de diabetes mellitus e hipertensão arterial há mais de 10 anos, em tratamento irregular com metformina, hidroclorotiazida e atenolol. Sedentária. Desconhece histórico familiar de doença cardiovascular. Pais falecidos (morte natural - causa desconhecida). Ao exame físico, apresentava-se alerta, porém inquieta e sudoreica. Ritmo cardíaco regular, com bulhas normofonéticas e rítmicas, pressão arterial (aferida em 4 membros) 160x100mmHg, frequência cardíaca de 78bpm. Ventilação espontânea em ar ambiente, com saturação periférica de oxigênio de 92%, ausculta pulmonar com estertores em 1/3 inferior de campos pulmonares bilateralmente. Glicemia capilar 160mg/dL. Eletrocardiograma realizado na admissão a seguir.

Qual é a principal hipótese diagnóstica?
Provas
O identificador do processo mestre do servidor Nginx é gravado por default no arquivo
Provas
Considerando os padrões web mais recentes e as práticas de segurança, os cookies nos navegadores de Internet
Provas
Suponha que esteja trabalhando com uma tabela de vendas em uma planilha eletrônica. Nessa tabela, temos a coluna A representando o valor total de cada venda, e se deseja categorizar as vendas em três grupos: "Baixas", "Médias" e "Altas", com base nos critérios a seguir.
• Baixas: vendas menores ou iguais a R$ 100,00;
• Médias: vendas maiores que R$ 100,00 e menores ou iguais a R$ 500;
• Altas: vendas acima de R$ 500,00.
A fórmula condicional para atender a esses requisitos corresponde a
Provas
Os botões de atalho são muito úteis para agilizar o trabalho e melhorar a produtividade, uma vez que permitem ao usuário executar tarefas comuns de forma mais rápida e eficiente. No LibreOffice Impress, o comando Ctrl + k
Provas
O gerenciamento de impressão no Windows é formado por um conjunto de recursos e ferramentas que permitem aos usuários e administradores do sistema gerenciarem as tarefas de impressão. Em relação ao mecanismo de gerenciamento de impressão no Sistema Operacional Windows, o serviço de spooler de impressão no Windows é responsável por
Provas
Caderno Container