Foram encontradas 244 questões.
No contexto das metodologias ágeis, o que é o artefato Backlog?
Provas
Sobre os padrões de interoperabilidade estabelecidos pelo e-PING, pode-se afirmar que sua arquitetura
Provas
No gerenciamento de código fonte com Git os comandos “merge” e “rebase” são responsáveis por, respectivamente:
Provas
O Model-View-Controller (MVC) é um padrão de arquitetura de software em que
Provas
- Paradigmas de ProgramaçãoOrientação a ObjetosAnálise e Projeto Orientado a Objetos
- Paradigmas de ProgramaçãoOrientação a ObjetosOrientação a Objetos: Polimorfismo
Qual dos seguintes conceitos descreve a capacidade de um objeto de se comportar de várias maneiras diferentes, dependendo do contexto em que é usado?
Provas
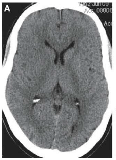
Leia o Quadro Clínico 1 para responder à questão.
Quadro Clínico 1
Paciente do sexo masculino, 60 anos, admitido em departamento de emergência com quadro insidioso e progressivo de redução de força e sensibilidade no hemicorpo esquerdo há mais ou menos 2,5 horas. Tem antecedente de hipertensão arterial e dislipidemia há mais de 20 anos, em tratamento irregular com losartam, hidroclorotiazida e atorvastatina. Ex-tabagista. Ao exame físico, paciente com abertura ocular a estímulos verbais, contactuante e obedecendo comandos simples. Apresenta hemiparesia e hipoestesia em hemicorpo esquerdo. Ritmo cardíaco regular, frequência cardíaca 90bpm, pressão arterial em membros superiores e inferiores (deitado) 190x100mmHg, frequência respiratória 19ipm, SpO2 88%. Tomografia de crânio evidenciou o resultado a seguir.

A conduta, nesse momento, em relação à pressão arterial do paciente relatado no Quadro Clínico 1 é
Provas
Leia o Quadro Clínico 1 para responder à questão.
Quadro Clínico 1
Paciente do sexo masculino, 60 anos, admitido em departamento de emergência com quadro insidioso e progressivo de redução de força e sensibilidade no hemicorpo esquerdo há mais ou menos 2,5 horas. Tem antecedente de hipertensão arterial e dislipidemia há mais de 20 anos, em tratamento irregular com losartam, hidroclorotiazida e atorvastatina. Ex-tabagista. Ao exame físico, paciente com abertura ocular a estímulos verbais, contactuante e obedecendo comandos simples. Apresenta hemiparesia e hipoestesia em hemicorpo esquerdo. Ritmo cardíaco regular, frequência cardíaca 90bpm, pressão arterial em membros superiores e inferiores (deitado) 190x100mmHg, frequência respiratória 19ipm, SpO2 88%. Tomografia de crânio evidenciou o resultado a seguir.

A principal hipótese diagnóstica é de acidente vascular encefálico
Provas
Leia o caso a seguir.
Paciente de 85 anos, internada há 6 dias com quadro de pneumonia comunitária grave, tendo recebido alta da UTI ontem. Segundo o acompanhante, a paciente vem alternando “momentos de lucidez e de confusão”, nos quais se queixa da higiene do quarto, alegando que havia baratas nas paredes e no teto. Antecedente de insuficiência cardíaca e acidente vascular encefálico, com hemiparesia à esquerda. Antes da internação, deambulava com auxílio de uma muleta e fazia uso de óculos e aparelho auditivo. Relata ainda uso prévio de metoprolol, furosemida, clopidogrel e atorvastatina. No momento da avaliação, a paciente encontrava-se afebril, eupneica, hidratada e normocorada. Pressão arterial de 150x90mmHg, frequência cardíaca de 68bpm. Saturação periférica de oxigênio em ar ambiente 97%. Glicemia capilar 150mg/dL. Sonda vesical de demora posicionada com diurese clara. O único déficit motor evidente no exame físico é compatível com o déficit prévio descrito pelo acompanhante. Pupilas isofotorreagentes. Durante a avaliação, a paciente manifestou dificuldade para focar a atenção. Quando questionada, afirmou que estava em seu domicílio e que a data era vários meses antes da data real.
A conduta apropriada neste caso seria
Provas
Mulher de 26 anos de idade com antecedente de diabetes mellitus do tipo 1, em uso de insulina NPH 20 unidades SC cedo, deu entrada em unidade de pronto atendimento com relato de disúria, polaciúria e febre não aferida há 5 dias. Evoluiu há 2 dias com poliúria e polidipsia. Há 1 dia com dor abdominal, vômitos e queda do estado geral. Ao exame físico, apresentava-se apática e algo confusa, porém obedecendo comandos simples, pupilas isofotorreagentes, desidratada 2+/4+, corada, anictérica, acianótica, hálito cetônico. Pressão arterial 90x60 mmHg. Frequência cardíaca de 100 bpm. Frequência respiratória de 30ipm. Aparelho Respiratório: respiração de Kussmaul, murmúrio vesicular fisiológico, sem ruídos adventícios. Aparelho Cardiovascular: bulhas rítmicas normofonéticas em 2 tempos, sem sopros. Abdome flácido, doloroso, com ruídos hidroaéreos presentes, descompressão brusca negativa. Membros com pulsos simétricos e sem edema. Não foram observados déficits sensitivos ou motores lateralizados. SpO2 92%. Glicemia capilar: 450mg/dl. Exames complementares solicitados evidenciaram: sódio 132meq/l, potássio 3,0 meq/l, cloreto: 95 mEq/L, corpos cetônicos 4+/4+ na urina, gasometria arterial: pH 7,22, pO2: 90mmHg, pCO2: 22 mmHg, bicarbonato: 15mEq/L.
A conduta imediatamente indicada neste cenário é a
Provas
Leia o caso a seguir.
Paciente do sexo feminino, 62 anos, diabética e hipertensa de longa data, portadora de “alteração de funcionamento renal” há 2 anos, sem seguimento clínico regular, procura atendimento ambulatorial com queixa de piora de edema de membros inferiores há 3 meses. Nega náuseas, vômitos ou hiporexia. Faz uso de metformina 850mg 1x/dia, glipizida 5mg 1x/dia e hidroclorotiazida 25mg/dia. Antecedente de “problema nos olhos em função do diabetes”. Ao exame: frequência cardíaca 60bpm, pressão arterial 150x90mmHg, edema de membros inferiores 2+/4+. Traz exames realizados há 1 semana: uréia 100mg/dl; creatinina 3,2 mg/dL; sódio 131mEq/L; potássio 5,8mEq/L; cálcio total 8,2mg/dL; fósforo 5,2mg/dL; hemoglobina 9,3g/dL; colesterol total = 237 mg/dl; HDL = 35 mg/dl; LDL = 156 mg/dl; Triglicérides = 232 mg/dl; hemoglobina glicada 9,0%; gasometria venosa com pH = 7,2; bicarbonato = 16 mmol/L; ferritina = 40 ng/ml; saturação de ferro = 14%; 25 hidroxivitamina D = 17 ng/ml (valor de referência: 30 a 100); hormônio paratiroidiano (PTH) = 330 pg/ml (valor de referência: 16 a 87); EAS (urina tipo 1)= densidade 1020, pH = 6,0, proteínas 2+/4+, leucócitos 6000/mm3, hemácias 2000/mm3; proteinúria de 24 horas = 2,8 g/24 horas.
Qual conduta é apropriada nesse momento?
Provas
Caderno Container