Foram encontradas 1.269 questões.
Acerca da patogênese da pancreatite crônica, analise as assertivas a seguir:
I. A hipersecreção de proteínas pancreáticas promove a formação de tampões intraductais, cursando com obstrução de ductos pancreáticos.
II. A ativação das enzimas digestórias dentro do parênquima pancreático é um dos fatores responsáveis pelo desencadeamento da pancreatite crônica.
III. O álcool pode agir diretamente na ativação das enzimas pancreáticas, sendo esse um possível mecanismo patogênico.
Quais estão corretas?
Provas
Insulina com pico de ação entre 6-7 horas, início da ação em 2-4 horas da aplicação, utilizada no tratamento intensivo do Diabetes Melito tipo 1. Essa descrição refere-se à insulina:
Provas
Sobre as manifestações do ceratocone, é correto afirmar que:
Provas
As Leis e Atos Normativos da Fisioterapia e Terapia Ocupacional, no Art. 17, dizem que as penas disciplinares consistem em, EXCETO:
Provas
Antimicrobianos betalactâmicos compreendem grupos que possuem em comum um anel betalactâmico, diferindo entre si pelas estruturas diretamente ligadas a ele. Em relação aos antimicrobianos betalactâmicos, assinale a alternativa INCORRETA.
Provas
Sobre o tratamento transcateter da cardiomiopatia hipertrófica (CMPH), analise as assertivas abaixo:
I. O tratamento transcateter pela ablação septal alcóolica está indicada para pacientes refratários ao tratamento clínico e que persistam com angina ou dispneia em classe funcional III e IV (NYHA/CCS).
II. A ablação septal alcóolica no paciente com bloqueio completo de ramo esquerdo ao eletrocardiograma confere menor risco para implante de marcapasso definitivo do que no paciente com bloqueio de ramo direito.
III. Outros materiais (por exemplo: molas, polivinil) mostraram mesma eficácia que o álcool para ablação septal no tratamento da CMPH.
Quais estão corretas?
Provas
Em relação à psicoterapia de apoio de orientação analítica (Freitas e Jung), assinale a alternativa INCORRETA.
Provas
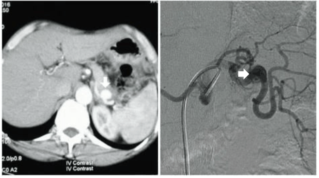
Mulher de 31 anos, nuligesta, em uso de anticoncepcional, assintomática, apresenta achado incidental de aneurisma visceral com 2,8 cm no maior eixo, apontado por setas nos exames abaixo. Sobre esse caso clínico, assinale a alternativa INCORRETA.

Provas
Em função de avanços no tratamento de câncer e no desenvolvimento de novas terapias, a sobrevida de pacientes oncológicos pediátricos aumentou. Sendo assim, analise as assertivas abaixo:
I. A minoria dos pacientes apresenta efeitos tardios relacionados ao tratamento.
II. Radioterapia do encéfalo está associada à disfunção hipotalâmica-pituitária a longo prazo.
III. Baixa estatura é um dos eventos que podem ocorrer a longo prazo em pacientes oncológicos pediátricos e está ligada apenas a fatores endócrinos.
IV. Suplementação de cálcio e vitamina D, bem como exercício físico com carga devem ser estimulados em todos os pacientes oncológicos pediátricos com densidade mineral óssea borderline ou baixa.
V. Crianças que foram submetidas a tratamento oncológico estão propensas a desenvolver tanto hipotireoidismo, quanto hipertireoidismo.
Quais estão corretas?
Provas
Considere os seguintes resultados laboratoriais e seus contextos:
I. Glicemia de jejum de 95 mg/dL na 10ª semana de gestação.
II. TOTG 75 g na 1ª hora de 175 mg/dL na 26ª semana de gestação.
III. TOTG 75 g na 2ª hora de 155 mg/dL na 25ª semana de gestação.
IV. Glicemia de jejum de 130 mg/dL na 7ª semana de gestação.
Em quais o diagnóstico de diabetes gestacional pode ser estabelecido?
Provas
Caderno Container