Foram encontradas 1.269 questões.
Conforme a Lei Federal nº 12.305/2010, a área contaminada cujos responsáveis pela disposição não sejam identificáveis ou individualizáveis, é definida como:
Provas
A anatomia se dedica ao estuda da forma e relacionamento dos diversos componentes do corpo humano enquanto a fisiologia estuda o seu funcionamento. Em relação à anatomia e à fisiologia pediátrica, analise as assertivas abaixo:
I. O crescimento das vias aéreas distais é mais lento do que o das vias aéreas proximais durante os primeiros 5 anos. Esse fenômeno explica porque infecções virais das vias aéreas inferiores são uma grande ameaça aos lactentes e crianças pequenas pela mais lenta regeneração.
II. No crânio, a fontanela posterior normalmente fecha às 6 semanas e a fontanela anterior aos 18 meses. Alterações na consistência dessas suturas podem indiciar desidratação, hipertensão (hidrocefalia, meningite).
III. A barreira hematoencefálica que é uma estrutura de permeabilidade altamente seletiva que protege o SNC de substâncias presentes no sangue, permitindo ao mesmo tempo a função metabólica normal do cérebro esta imatura na criança pequena, permitindo a passagem de substâncias como a bilirrubina e água, facilitando a instalação de situações como a hipertensão, hipercapnia, hipóxia e acidose.
Quais estão corretas?
Provas
Títulos elevados de ___________________________ são associados com nefropatia membranosa primária.
Assinale a alternativa que preenche corretamente a lacuna do trecho acima.
Provas
O modelo conceitual abaixo mostra um relacionamento criado no software BrModelo.

Relacione a Coluna 1 à Coluna 2, associando os nomes dos componentes.

Coluna 2
( ) Entidade.
( ) Cardinalidade.
( ) Autorrelacionamento.
( ) Atributo.
( ) Atributo Identificador.
A ordem correta de preenchimento dos parênteses, de cima para baixo, é:
Provas
Sobre o atendimento em sala de parto, assinale a alternativa INCORRETA.
Provas
De acordo com a Lei nº 8.429/1992, assinale a alternativa que apresenta um ato de Improbidade Administrativa que Causa Prejuízo ao Erário.
Provas
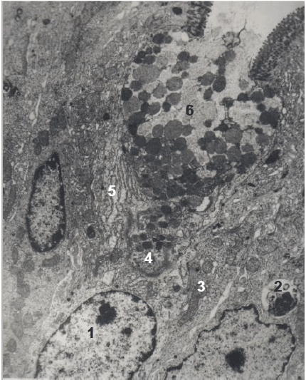
A eletromicrografia abaixo mostra diferentes tipos celulares de um órgão do sistema digestório. A alternativa que contém, respectivamente, o órgão e as organelas representadas pelos números é:

Provas
Sobre a Síndrome do Desconforto Respiratório Agudo (SDRA), analise as assertivas abaixo:
I. No paciente em ventilação mecânica por SDRA, é tolerado hipoxemia permissiva.
II. Manobras de recrutamento alveolar são empregadas para aumentar áreas de trocas pulmonares nos pacientes em ventilação mecânica.
III. Faz parte da estratégia de ventilação protetora ofertar volume correntes em torno de 10 ml/kg.
IV. É marcada por hipoxemia e opacidades radiográficas bilaterais.
Quais estão corretas?
Provas
Segundo a Lei nº 8.666/1993, a modalidade de licitação entre interessados devidamente cadastrados ou que atenderem a todas as condições exigidas para cadastramento até o terceiro dia anterior à data do recebimento das propostas, com limite estimado na contratação de até R$ 1.500.000,00 para obras e serviços de engenharia, é chamada de:
Provas
Um engenheiro está elaborando a planta baixa de uma edificação retangular que possui 15 metros de comprimento e 8 metros de profundidade. No momento da plotagem, ele fica na dúvida de qual seria a escala mais adequada para representar seu projeto em uma folha A1. Sabendo que a folha A1 possui dimensões de 594x841 mm, qual das escalas abaixo seria a mais adequada para representar a edificação sem comprometer a visualização de nenhum detalhe, deixando o mínimo possível de espaços vazios na folha e de forma que o comprimento da edificação seja representado na mesma direção que a dimensão de 841 mm?
Provas
Caderno Container