Foram encontradas 1.269 questões.
Homem, 48 anos, apresenta pólipo séssil de 3 cm de diâmetro localizado a cerca de 3 cm da linha pectínea. Foi submetido à excisão local por excisão local transanal com boa evolução pós-operatória. O resultado de anatomopatológico evidenciou: adenocarcinoma moderadamente diferenciado com invasão de 0,5 mm da submucosa em grande adenoma tubuloviloso com displasia de alto grau da transição da junção escamocolunar. A área invasora mede 0,7 cm de extensão lateral, correspondendo a 20% da lesão. Ausência de: invasão vascular, linfática, perineural e budding tumoral. Limites cirúrgicos da mucosa glandular retal, da mucosa escamosa anal e profundo (muscular) livres. Frente ao quadro clínico, qual a conduta a seguir?
Provas
De acordo com o Decreto nº 9.235/2017, o regime de trabalho docente em tempo integral compreende a prestação de _______ horas semanais de trabalho na mesma instituição, nele reservado o tempo de, pelo menos, ________ horas semanais para estudos, pesquisa, extensão, planejamento, gestão e avaliação.
Assinale a alternativa que preenche, correta e respectivamente, as lacunas do trecho acima.
Provas
Os cinco princípios constitucionais mencionados no caput do Art. 37 da Constituição Federal formam uma base dentro do Direito Administrativo e se aplicam à administração pública direta e indireta. Entre eles, qual princípio tem como propósito considerar o pilar da conduta dos agentes em face da administração pública, em que todo e qualquer ato administrativo deve ter respaldo em lei, sob pena de ser considerado ilícito?
Provas
São medidas empregadas para correção da disfunção plaquetária relacionada à uremia, EXCETO:
Provas
Em relação aos padrões anormais de marcha, relacione a Coluna 1 à Coluna 2, associando os tipos de marcha às características específicas de cada tipo.
Coluna 1
1. Marcha festinante.
2. Marcha ebriosa.
3. Marcha escarvante.
4. Marcha talonante.
Coluna 2
( ) Ocorre por alteração sensitiva dos membros inferiores, principalmente proprioceptiva.
( ) Decorre da paralisia dos flexores dorsais do pé.
( ) Apresenta passos curtos e anteriorização de tronco.
( ) Apresenta base alargada, passos oscilantes e rápidos.
A ordem correta de preenchimento dos parênteses, de cima para baixo, é:
Provas
A respeito da ergonomia aplicada ao trabalho, analise as seguintes assertivas e assinale V, se verdadeiras, ou F, se falsas.
( ) No Brasil, a análise ergonômica do trabalho está prevista na Norma Regulamentadora nº 17 e se constitui em uma metodologia para avaliar as adaptações das condições de trabalho às características psicofisiológicas dos trabalhadores.
( ) A análise ergonômica do trabalho cronologicamente inicia com a etapa de formulação do prédiagnóstico, seguida pela análise do processo técnico das tarefas e pela formulação de recomendações e transformações do processo de trabalho.
( ) A análise ergonômica do trabalho tem por finalidade corrigir as distorções da realidade de trabalho por meio da ação e da intervenção ergonômica, situadas em um contexto social, econômico e técnico específicos.
A ordem correta de preenchimento dos parênteses, de cima para baixo, é:
Provas
Analise o seguinte trecho:
“O dano causado ao encéfalo por um projétil de arma de fogo é diretamente proporcional à massa deste projétil (1), e diretamente proporcional ao quadrado da velocidade (2) do mesmo”.
De acordo com isso, podemos inferir que:
Provas
Para responder a questão a seguir, considere o Consenso Brasileiro de Disfagia em Idosos Hospitalizados.
Quanto à avaliação fonoaudiológica nos casos de idosos hospitalizados, analise as assertivas abaixo:
I. Na avaliação funcional, observa-se a ingestão de diferentes consistências alimentares, em pequenas quantidades, como líquidos finos, líquidos espessados, pastosos/purês, pastosos/pedaços moles, sólidos macios e secos.
II. Recursos instrumentais podem ser utilizados durante a abordagem clínica, tais como ausculta cervical e oximetria de pulso.
III. Diante da dúvida clínica, o fonoaudiólogo pode lançar mão de exames de imagem para concluir seu diagnóstico. Os principais exames utilizados são a endoscopia e a videofluoroscopia da deglutição.
Quais estão corretas?
Provas
O sulfato de magnésio é uma droga utilizada como terapia anticonvulsivante nos casos de eclâmpsia. Sobre o seu uso, assinale a alternativa correta.
Provas
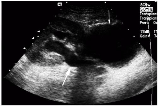
Homem de 42 anos, com história de transplante renal há três meses, se apresenta com queixa de abaulamento subjacente à cicatriz cirúrgica do enxerto na fossa ilíaca direita, sem dor ou vermelhidão local. Nega febre. Sua creatinina sérica é de 1,0 mg/dL. Uma avaliação ultrassonográfica é realizada, observando-se dilatação pielocalicial moderada no rim transplantado, assim como uma coleção subjacente à ferida operatória, conforme imagens abaixo. De acordo com a história clínica e o exame complementar, assinale a alternativa correta.

Provas
Caderno Container