Foram encontradas 1.670 questões.
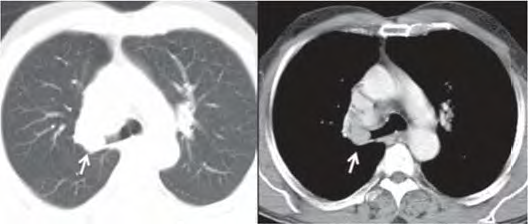
Uma paciente de 47 anos de idade, não tabagista, apresenta episódio de tosse e hemoptise. A tomografia computadorizada de tórax, realizada para investigação, evidenciou um nódulo pulmonar, com densidade de partes moles, de 2,1 cm, com obstrução do brônquio lobar superior direito, demonstrada nas imagens a seguir. Não há linfonodos mediastinais aumentados. A fibrobroncoscopia para investigação evidenciou uma lesão sólida em brônquio lobar superior direito, com obstrução total do brônquio, e aspecto em “dedo de luva”. As tomografias computadorizadas de abdome e de crânio não identificaram lesões metastáticas a distância. A biópsia endobrônquica demonstrou ser um carcinoide típico.
A espirometria permite ressecção pulmonar (lobectomia e pneumonectomia), e a avaliação clínica pré-operatória permite cirurgia de grande porte.

Acervo Pessoal.
Em relação a esse caso clínico e com base nos conhecimentos médicos correlatos, julgue os itens a seguir.
A paciente tem indicação de lobectomia superior direita com linfadenectomia mediastinal por VATS.
Provas
Uma paciente de 47 anos de idade, não tabagista, apresenta episódio de tosse e hemoptise. A tomografia computadorizada de tórax, realizada para investigação, evidenciou um nódulo pulmonar, com densidade de partes moles, de 2,1 cm, com obstrução do brônquio lobar superior direito, demonstrada nas imagens a seguir. Não há linfonodos mediastinais aumentados. A fibrobroncoscopia para investigação evidenciou uma lesão sólida em brônquio lobar superior direito, com obstrução total do brônquio, e aspecto em “dedo de luva”. As tomografias computadorizadas de abdome e de crânio não identificaram lesões metastáticas a distância. A biópsia endobrônquica demonstrou ser um carcinoide típico.
A espirometria permite ressecção pulmonar (lobectomia e pneumonectomia), e a avaliação clínica pré-operatória permite cirurgia de grande porte.

Acervo Pessoal.
Em relação a esse caso clínico e com base nos conhecimentos médicos correlatos, julgue os itens a seguir.
Espera-se encontrar, no painel imuno-histoquímico dessa paciente, hMLH1, hMSH2 e Cox-2.
Provas
Um paciente de 18 anos de idade tem diagnóstico de hiperidrose palmar. Refere que os sintomas se iniciaram desde a infância e trazem prejuízo social importante. Relata ter dificuldade de tocar instrumentos musicais em razão da quantidade de suor, além do desconforto social por esse motivo. É previamente hígido, seu IMC atualmente é = 21 e nega outras comorbidades.
Com relação a esse caso clínico e considerando os conhecimentos médicos correlatos, julgue os itens a seguir.
Pneumotórax é complicação possível da simpatectomia torácica.
Provas
Um paciente de 18 anos de idade tem diagnóstico de hiperidrose palmar. Refere que os sintomas se iniciaram desde a infância e trazem prejuízo social importante. Relata ter dificuldade de tocar instrumentos musicais em razão da quantidade de suor, além do desconforto social por esse motivo. É previamente hígido, seu IMC atualmente é = 21 e nega outras comorbidades.
Com relação a esse caso clínico e considerando os conhecimentos médicos correlatos, julgue os itens a seguir.
Bromidrose axilar é complicação frequente do pós-operatório de simpatectomia.
Provas
Um paciente de 18 anos de idade tem diagnóstico de hiperidrose palmar. Refere que os sintomas se iniciaram desde a infância e trazem prejuízo social importante. Relata ter dificuldade de tocar instrumentos musicais em razão da quantidade de suor, além do desconforto social por esse motivo. É previamente hígido, seu IMC atualmente é = 21 e nega outras comorbidades.
Com relação a esse caso clínico e considerando os conhecimentos médicos correlatos, julgue os itens a seguir.
Hiperidrose compensatória é uma complicação possível da simpatectomia torácica.
Provas
Um paciente de 18 anos de idade tem diagnóstico de hiperidrose palmar. Refere que os sintomas se iniciaram desde a infância e trazem prejuízo social importante. Relata ter dificuldade de tocar instrumentos musicais em razão da quantidade de suor, além do desconforto social por esse motivo. É previamente hígido, seu IMC atualmente é = 21 e nega outras comorbidades.
Com relação a esse caso clínico e considerando os conhecimentos médicos correlatos, julgue os itens a seguir.
O paciente tem indicação de simpatectomia torácica bilateral por VATS.
Provas
Determinado paciente de 18 anos de idade apresenta dor torácica ventilatório-dependente à direita, associado à febre vespertina, perda de peso e tosse. É militar em atividade e refere ter mantido contato com pacientes com tuberculose no alojamento. Realizou raios X de tórax com evidência de derrame pleural livre à direita, de moderado volume. O paciente relata ter realizado a vacina BCG na infância.
Tendo em vista esse caso clínico e os conhecimentos médicos correlatos, julgue os itens a seguir.
O tratamento dessa condição é cirúrgico, envolvendo resseção pulmonar e pleurectomia.
Provas
Determinado paciente de 18 anos de idade apresenta dor torácica ventilatório-dependente à direita, associado à febre vespertina, perda de peso e tosse. É militar em atividade e refere ter mantido contato com pacientes com tuberculose no alojamento. Realizou raios X de tórax com evidência de derrame pleural livre à direita, de moderado volume. O paciente relata ter realizado a vacina BCG na infância.
Tendo em vista esse caso clínico e os conhecimentos médicos correlatos, julgue os itens a seguir.
Pelo fato de o paciente ter realizado a vacina BCG (contra tuberculose), a tuberculose pleural está afastada das possibilidades diagnósticas.
Provas
Determinado paciente de 18 anos de idade apresenta dor torácica ventilatório-dependente à direita, associado à febre vespertina, perda de peso e tosse. É militar em atividade e refere ter mantido contato com pacientes com tuberculose no alojamento. Realizou raios X de tórax com evidência de derrame pleural livre à direita, de moderado volume. O paciente relata ter realizado a vacina BCG na infância.
Tendo em vista esse caso clínico e os conhecimentos médicos correlatos, julgue os itens a seguir.
Talcagem por toracoscopia está indicada.
Provas
Determinado paciente de 18 anos de idade apresenta dor torácica ventilatório-dependente à direita, associado à febre vespertina, perda de peso e tosse. É militar em atividade e refere ter mantido contato com pacientes com tuberculose no alojamento. Realizou raios X de tórax com evidência de derrame pleural livre à direita, de moderado volume. O paciente relata ter realizado a vacina BCG na infância.
Tendo em vista esse caso clínico e os conhecimentos médicos correlatos, julgue os itens a seguir.
Espera-se encontrar granuloma com necrose na biópsia de pleura desse paciente.
Provas
Caderno Container