Foram encontradas 1.670 questões.
Determinado paciente de 18 anos de idade apresenta dor torácica ventilatório-dependente à direita, associado à febre vespertina, perda de peso e tosse. É militar em atividade e refere ter mantido contato com pacientes com tuberculose no alojamento. Realizou raios X de tórax com evidência de derrame pleural livre à direita, de moderado volume. O paciente relata ter realizado a vacina BCG na infância.
Tendo em vista esse caso clínico e os conhecimentos médicos correlatos, julgue os itens a seguir.
Espera-se encontrar transudato com predomínio de polimorfonucleares na toracocentese desse paciente.
Provas
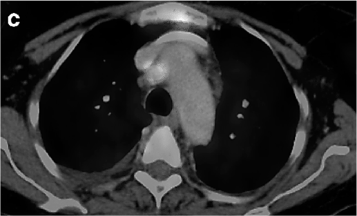
Um paciente de 62 anos de idade, tabagista ativo, cerca de 180 anos-maço, queixa-se de cansaço, tosse seca e perda de peso; por isso, procurou atendimento médico. O paciente referiu que pesava 100 kg e perdeu 10 kg. Realizou-se tomografia computadorizada de tórax, com evidência de lesão sólida de 2,1 cm em topografia de lobo inferior à direita, sólida, espiculada, com margens bem definidas e densidade de partes moles, assim como linfonodomegalia paratraqueal direita de 1,5 cm, paratraqueal esquerda de 1,2 cm e subcarinal de 2 cm. O paciente foi submetido a PET-CT de corpo inteiro, com evidência de hipercaptação de radiofármaco pela lesão (SUV 12) e pelo linfonodo representado na figura 2 a seguir.
Figura 1: TC de tórax sem contraste

Figura 2: PET-CT do tórax.

Acervo Pessoal.
Com base nesse caso clínico, nas imagens apresentadas e nos conhecimentos médicos correlatos, julgue os itens a seguir.
O dado emagrecimento é um marcador de mau prognóstico nesse caso.
Provas
Um paciente de 62 anos de idade, tabagista ativo, cerca de 180 anos-maço, queixa-se de cansaço, tosse seca e perda de peso; por isso, procurou atendimento médico. O paciente referiu que pesava 100 kg e perdeu 10 kg. Realizou-se tomografia computadorizada de tórax, com evidência de lesão sólida de 2,1 cm em topografia de lobo inferior à direita, sólida, espiculada, com margens bem definidas e densidade de partes moles, assim como linfonodomegalia paratraqueal direita de 1,5 cm, paratraqueal esquerda de 1,2 cm e subcarinal de 2 cm. O paciente foi submetido a PET-CT de corpo inteiro, com evidência de hipercaptação de radiofármaco pela lesão (SUV 12) e pelo linfonodo representado na figura 2 a seguir.
Figura 1: TC de tórax sem contraste

Figura 2: PET-CT do tórax.

Acervo Pessoal.
Com base nesse caso clínico, nas imagens apresentadas e nos conhecimentos médicos correlatos, julgue os itens a seguir.
O EBUS traz a possibilidade de biopsiar todos os linfonodos das cadeias mediastinais
Provas
Um paciente de 62 anos de idade, tabagista ativo, cerca de 180 anos-maço, queixa-se de cansaço, tosse seca e perda de peso; por isso, procurou atendimento médico. O paciente referiu que pesava 100 kg e perdeu 10 kg. Realizou-se tomografia computadorizada de tórax, com evidência de lesão sólida de 2,1 cm em topografia de lobo inferior à direita, sólida, espiculada, com margens bem definidas e densidade de partes moles, assim como linfonodomegalia paratraqueal direita de 1,5 cm, paratraqueal esquerda de 1,2 cm e subcarinal de 2 cm. O paciente foi submetido a PET-CT de corpo inteiro, com evidência de hipercaptação de radiofármaco pela lesão (SUV 12) e pelo linfonodo representado na figura 2 a seguir.
Figura 1: TC de tórax sem contraste

Figura 2: PET-CT do tórax.

Acervo Pessoal.
Com base nesse caso clínico, nas imagens apresentadas e nos conhecimentos médicos correlatos, julgue os itens a seguir.
Tomografia computadorizada, ou ressonância magnética de crânio, pode acrescentar informações clínicas em relação ao estadiamento não invasivo nesse caso.
Provas
Um paciente de 62 anos de idade, tabagista ativo, cerca de 180 anos-maço, queixa-se de cansaço, tosse seca e perda de peso; por isso, procurou atendimento médico. O paciente referiu que pesava 100 kg e perdeu 10 kg. Realizou-se tomografia computadorizada de tórax, com evidência de lesão sólida de 2,1 cm em topografia de lobo inferior à direita, sólida, espiculada, com margens bem definidas e densidade de partes moles, assim como linfonodomegalia paratraqueal direita de 1,5 cm, paratraqueal esquerda de 1,2 cm e subcarinal de 2 cm. O paciente foi submetido a PET-CT de corpo inteiro, com evidência de hipercaptação de radiofármaco pela lesão (SUV 12) e pelo linfonodo representado na figura 2 a seguir.
Figura 1: TC de tórax sem contraste

Figura 2: PET-CT do tórax.

Acervo Pessoal.
Com base nesse caso clínico, nas imagens apresentadas e nos conhecimentos médicos correlatos, julgue os itens a seguir.
Trata-se de um estadiamento clínico T1cN3.
Provas
Um paciente de 62 anos de idade, tabagista ativo, cerca de 180 anos-maço, queixa-se de cansaço, tosse seca e perda de peso; por isso, procurou atendimento médico. O paciente referiu que pesava 100 kg e perdeu 10 kg. Realizou-se tomografia computadorizada de tórax, com evidência de lesão sólida de 2,1 cm em topografia de lobo inferior à direita, sólida, espiculada, com margens bem definidas e densidade de partes moles, assim como linfonodomegalia paratraqueal direita de 1,5 cm, paratraqueal esquerda de 1,2 cm e subcarinal de 2 cm. O paciente foi submetido a PET-CT de corpo inteiro, com evidência de hipercaptação de radiofármaco pela lesão (SUV 12) e pelo linfonodo representado na figura 2 a seguir.
Figura 1: TC de tórax sem contraste

Figura 2: PET-CT do tórax.

Acervo Pessoal.
Com base nesse caso clínico, nas imagens apresentadas e nos conhecimentos médicos correlatos, julgue os itens a seguir.
O ultrassom endobrônquico (EBUS) ou a mediastinoscopia para estadiamento invasivo do mediastino não estão indicados, visto que o paciente tem metástase mediastinal.
Provas
Um paciente de 62 anos de idade, tabagista ativo, cerca de 180 anos-maço, queixa-se de cansaço, tosse seca e perda de peso; por isso, procurou atendimento médico. O paciente referiu que pesava 100 kg e perdeu 10 kg. Realizou-se tomografia computadorizada de tórax, com evidência de lesão sólida de 2,1 cm em topografia de lobo inferior à direita, sólida, espiculada, com margens bem definidas e densidade de partes moles, assim como linfonodomegalia paratraqueal direita de 1,5 cm, paratraqueal esquerda de 1,2 cm e subcarinal de 2 cm. O paciente foi submetido a PET-CT de corpo inteiro, com evidência de hipercaptação de radiofármaco pela lesão (SUV 12) e pelo linfonodo representado na figura 2 a seguir.
Figura 1: TC de tórax sem contraste

Figura 2: PET-CT do tórax.

Acervo Pessoal.
Com base nesse caso clínico, nas imagens apresentadas e nos conhecimentos médicos correlatos, julgue os itens a seguir.
O paciente tem indicação, nesse momento, de lobectomia superior direita por VATS, com linfadenectomia mediastinal.
Provas
Um paciente de 62 anos de idade, tabagista ativo, cerca de 180 anos-maço, queixa-se de cansaço, tosse seca e perda de peso; por isso, procurou atendimento médico. O paciente referiu que pesava 100 kg e perdeu 10 kg. Realizou-se tomografia computadorizada de tórax, com evidência de lesão sólida de 2,1 cm em topografia de lobo inferior à direita, sólida, espiculada, com margens bem definidas e densidade de partes moles, assim como linfonodomegalia paratraqueal direita de 1,5 cm, paratraqueal esquerda de 1,2 cm e subcarinal de 2 cm. O paciente foi submetido a PET-CT de corpo inteiro, com evidência de hipercaptação de radiofármaco pela lesão (SUV 12) e pelo linfonodo representado na figura 2 a seguir.
Figura 1: TC de tórax sem contraste

Figura 2: PET-CT do tórax.

Acervo Pessoal.
Com base nesse caso clínico, nas imagens apresentadas e nos conhecimentos médicos correlatos, julgue os itens a seguir.
O linfonodo hipercaptante no PET desse paciente, representado na figura 2, trata-se do paratraqueal direito.
Provas
Certa paciente de 12 anos de idade, com fibrose pulmonar idiopática desde os 8 anos de idade, usuária de oxigênio domiciliar, realizou cintilografia pulmonar perfusional, a qual constatou que o pulmão direito contribui com apenas 12% da capacidade pulmonar total e o esquerdo, com 88%.
Considerando esse caso clínico e os conhecimentos médicos correlatos, julgue os itens a seguir.
As complicações infecciosas são as mais frequentes em transplante pediátrico, à semelhança do que ocorre em adultos, sendo mais comuns no pós-operatório de transplante pulmonar do que em qualquer outro transplante de órgão sólido.
Provas
Certa paciente de 12 anos de idade, com fibrose pulmonar idiopática desde os 8 anos de idade, usuária de oxigênio domiciliar, realizou cintilografia pulmonar perfusional, a qual constatou que o pulmão direito contribui com apenas 12% da capacidade pulmonar total e o esquerdo, com 88%.
Considerando esse caso clínico e os conhecimentos médicos correlatos, julgue os itens a seguir.
O transplante pulmonar intervivos ainda não é uma realidade no Brasil e foi realizado apenas em grandes centros americanos e canadenses de cirurgia torácica.
Provas
Caderno Container