Foram encontradas 1.670 questões.
Uma paciente de 57 anos de idade, que nunca fumou, é encaminhada a consulta médica em função de achado ocasional de alteração em exame de imagem do tórax. A paciente está assintomática e previamente hígida. A tomografia de tórax demonstrou uma massa de 3,6 cm em topografia de lobo superior direito, sólida e espiculada. Há linfonodos mediastinais de 2,1 cm em cadeia paratraqueal direita e de 1,8 cm em cadeia subcarinal. O PET-CT mostrou hipercaptação do radiofármaco na lesão (SUV 22) e nos linfonodos (SUV 16 e 14, respectivamente). Há uma lesão hipercaptante em adrenal à direita, muito sugestiva de neoplasia, que foi biopsiada. A biópsia apresentou um adenocarcinoma de pulmão metastático. EGFR e ALK foram positivos na amostra analisada. A RNM de encéfalo não indicou alterações neoplásicas.
Com base nesse caso clínico e nos conhecimentos médicos correlatos, julgue os itens a seguir.
A paciente pode ter benefício com imunoterapia.
Provas
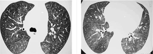
Um Paciente de 25 anos de idade, com tosse e febre de início súbitos 60 dias após transplante de medula óssea, realizou RT-PCR para Covid-19, cujo resultado foi negativo. Constataram-se exame de BAAR negativo, teste de Mantoux negativo e fibrobroncoscopia com cultura e BAAR negativos. A tomografia de tórax apresenta opacidades com atenuação em vidro fosco e pequenos nódulos pulmonares bilaterais, conforme as imagens a seguir.

Acervo Pessoal.
Considerando esse caso clínico, as imagens apresentadas e os conhecimentos médicos correlatos, julgue os itens a seguir.
O paciente tem indicação de ganciclovir.
Provas
Um Paciente de 25 anos de idade, com tosse e febre de início súbitos 60 dias após transplante de medula óssea, realizou RT-PCR para Covid-19, cujo resultado foi negativo. Constataram-se exame de BAAR negativo, teste de Mantoux negativo e fibrobroncoscopia com cultura e BAAR negativos. A tomografia de tórax apresenta opacidades com atenuação em vidro fosco e pequenos nódulos pulmonares bilaterais, conforme as imagens a seguir.

Acervo Pessoal.
Considerando esse caso clínico, as imagens apresentadas e os conhecimentos médicos correlatos, julgue os itens a seguir.
O paciente apresenta fibrose pulmonar e deve ser listado para transplante bilateral.
Provas
Um Paciente de 25 anos de idade, com tosse e febre de início súbitos 60 dias após transplante de medula óssea, realizou RT-PCR para Covid-19, cujo resultado foi negativo. Constataram-se exame de BAAR negativo, teste de Mantoux negativo e fibrobroncoscopia com cultura e BAAR negativos. A tomografia de tórax apresenta opacidades com atenuação em vidro fosco e pequenos nódulos pulmonares bilaterais, conforme as imagens a seguir.

Acervo Pessoal.
Considerando esse caso clínico, as imagens apresentadas e os conhecimentos médicos correlatos, julgue os itens a seguir.
Está indicado tratamento com RHZE.
Provas
Um Paciente de 25 anos de idade, com tosse e febre de início súbitos 60 dias após transplante de medula óssea, realizou RT-PCR para Covid-19, cujo resultado foi negativo. Constataram-se exame de BAAR negativo, teste de Mantoux negativo e fibrobroncoscopia com cultura e BAAR negativos. A tomografia de tórax apresenta opacidades com atenuação em vidro fosco e pequenos nódulos pulmonares bilaterais, conforme as imagens a seguir.

Acervo Pessoal.
Considerando esse caso clínico, as imagens apresentadas e os conhecimentos médicos correlatos, julgue os itens a seguir.
Nova fibrobroncoscopia está indicada com pesquisa de DNA viral pela reação em cadeia da polimerase (PCR).
Provas
Um Paciente de 25 anos de idade, com tosse e febre de início súbitos 60 dias após transplante de medula óssea, realizou RT-PCR para Covid-19, cujo resultado foi negativo. Constataram-se exame de BAAR negativo, teste de Mantoux negativo e fibrobroncoscopia com cultura e BAAR negativos. A tomografia de tórax apresenta opacidades com atenuação em vidro fosco e pequenos nódulos pulmonares bilaterais, conforme as imagens a seguir.

Acervo Pessoal.
Considerando esse caso clínico, as imagens apresentadas e os conhecimentos médicos correlatos, julgue os itens a seguir.
Citomegalovírus em paciente imunocomprometido é uma das possibilidades diagnósticas.
Provas
Um adolescente de 17 anos de idade apresenta assimetria na caixa torácica, na parte anterior. Refere prejuízo social importante, haja vista que tem vergonha de realizar atividades físicas com os colegas, as quais requerem tirar a camisa, como jogar futebol, além de demonstrar extrema incapacidade de manter relacionamentos afetivos por ter vergonha. Durante a consulta, foi diagnosticado com pectus excavatum.
Acerca desse caso clínico e tendo em vista os conhecimentos médicos correlatos, julgue os itens a seguir.
Em relação à técnica de Ravitch para correção, a técnica de Nuss apresentou-se significativamente melhor no que se refere a menos riscos e complicações pós-operatórias.
Provas
Um adolescente de 17 anos de idade apresenta assimetria na caixa torácica, na parte anterior. Refere prejuízo social importante, haja vista que tem vergonha de realizar atividades físicas com os colegas, as quais requerem tirar a camisa, como jogar futebol, além de demonstrar extrema incapacidade de manter relacionamentos afetivos por ter vergonha. Durante a consulta, foi diagnosticado com pectus excavatum.
Acerca desse caso clínico e tendo em vista os conhecimentos médicos correlatos, julgue os itens a seguir.
O paciente tem indicação de correção cirúrgica, principalmente para fins estéticos, melhorando assim a aceitação e, consequentemente, causando menos transtornos emocionais.
Provas
Um adolescente de 17 anos de idade apresenta assimetria na caixa torácica, na parte anterior. Refere prejuízo social importante, haja vista que tem vergonha de realizar atividades físicas com os colegas, as quais requerem tirar a camisa, como jogar futebol, além de demonstrar extrema incapacidade de manter relacionamentos afetivos por ter vergonha. Durante a consulta, foi diagnosticado com pectus excavatum.
Acerca desse caso clínico e tendo em vista os conhecimentos médicos correlatos, julgue os itens a seguir.
Durante investigação para fins pré-operatórios, devem ser descartadas doenças cardíacas congênitas que podem estar associadas.
Provas
Um adolescente de 17 anos de idade apresenta assimetria na caixa torácica, na parte anterior. Refere prejuízo social importante, haja vista que tem vergonha de realizar atividades físicas com os colegas, as quais requerem tirar a camisa, como jogar futebol, além de demonstrar extrema incapacidade de manter relacionamentos afetivos por ter vergonha. Durante a consulta, foi diagnosticado com pectus excavatum.
Acerca desse caso clínico e tendo em vista os conhecimentos médicos correlatos, julgue os itens a seguir.
A condição clínica do paciente trata-se de uma depressão anterior do tórax, que pode ser simétrica ou assimétrica, associada a um desvio dorsal do esterno e da terceira à sétima costela ou cartilagem costocondral.
Provas
Caderno Container