Foram encontradas 933 questões.

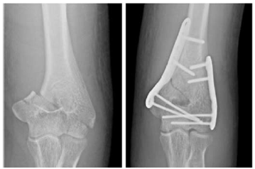
Um paciente de 30 anos de idade foi vítima de queda de árvore há cerca de um dia, sofrendo trauma no cotovelo esquerdo. Foi atendido no pronto-socorro e solicitadas as radiografias retratadas nas figuras.
De acordo com a classificação AO, trata-se de uma fratura
Provas
O teste de Pivot-Shift reverso é usado para diagnóstico da lesão do
Provas
Nos casos de associação com lesão do LCA, a lesão meniscal
Provas
As técnicas de sutura meniscal incluem inside-out, outside-in e all-inside.
A técnica inside-out é mais utilizada para sutura da lesão do
Provas
A lesão meniscal em alça de balde ocorre frequentemente em casos
Provas
Entre as lesões meniscais, a mais comum é a lesão
Provas
Um paciente de 19 anos de idade sofreu entorse do joelho direito durante agachamento em partida de futebol. Foi retirado do campo e queixando-se de dor na face interna do joelho. Foi levado ao hospital mais próximo e, ao ser examinado, percebeu que não conseguia estender completamente o joelho. Não conseguia flexionar totalmente o joelho também. Notaram-se ainda, edema e o sinal da tecla.
Diante do diagnóstico do caso clínico citado, a conduta terapêutica adequada seria
Provas
Um paciente de 19 anos de idade sofreu entorse do joelho direito durante agachamento em partida de futebol. Foi retirado do campo e queixando-se de dor na face interna do joelho. Foi levado ao hospital mais próximo e, ao ser examinado, percebeu que não conseguia estender completamente o joelho. Não conseguia flexionar totalmente o joelho também. Notaram-se ainda, edema e o sinal da tecla.

Considere que, no caso clínico descrito, foi realizado o exame complementar, conforme apresentado. Essa figura mostra
Provas
Um paciente de 19 anos de idade sofreu entorse do joelho direito durante agachamento em partida de futebol. Foi retirado do campo e queixando-se de dor na face interna do joelho. Foi levado ao hospital mais próximo e, ao ser examinado, percebeu que não conseguia estender completamente o joelho. Não conseguia flexionar totalmente o joelho também. Notaram-se ainda, edema e o sinal da tecla.
Assinale a alternativa que apresenta o exame de imagem mais adequado para a confirmação diagnóstica.
Provas
Um paciente de 19 anos de idade sofreu entorse do joelho direito durante agachamento em partida de futebol. Foi retirado do campo e queixando-se de dor na face interna do joelho. Foi levado ao hospital mais próximo e, ao ser examinado, percebeu que não conseguia estender completamente o joelho. Não conseguia flexionar totalmente o joelho também. Notaram-se ainda, edema e o sinal da tecla.
No caso clínico exposto, o teste clínico indicado é o
Provas
Caderno Container