Foram encontradas 933 questões.

Uma paciente de 63 anos de idade compareceu ao consultório queixando-se de dor nos joelhos há cerca de cinco anos. Nega trauma. Refere que a dor começou a piorar nos últimos três meses. Relata ainda diabetes mellitus, e que seu joelho começou a entortar (sic) e que, quando acorda, o seu joelho frequentemente está rígido.
Nesse caso clínico, a principal hipótese diagnóstica é
Provas

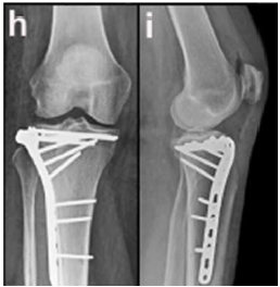
A respeito da técnica empregada na osteossíntese do platô tibial nesse caso, é correto afirmar que a placa lateral
Provas

A estrutura que mais corre risco de ser lesada nessa abordagem é o
Provas


A abordagem cirúrgica para a osteossíntese foi realizada pela via
Provas

Assinale a alternativa que indica os princípios a serem seguidos na osteossíntese do platô tibial lateral, nesse caso.
Provas

No acesso cirúrgico para o caso, deve-se abordar a articulação do joelho através do espaço entre os músculos
Provas

O exame apresentado indica o envolvimento do platô tibial
Provas

Um paciente de 39 anos de idade, vítima de queda de bicicleta, sofreu trauma no joelho direito. Foi levado ao pronto-socorro do hospital mais próximo, onde foram realizadas as radiografias apresentadas.
O quadro clínico desse paciente se caracteriza por dor
Provas

Um paciente de 39 anos de idade, vítima de queda de bicicleta, sofreu trauma no joelho direito. Foi levado ao pronto-socorro do hospital mais próximo, onde foram realizadas as radiografias apresentadas.
O exame de imagem mais apropriado para o estudo do caso é
Provas

Um paciente de 39 anos de idade, vítima de queda de bicicleta, sofreu trauma no joelho direito. Foi levado ao pronto-socorro do hospital mais próximo, onde foram realizadas as radiografias apresentadas.
Geralmente, o mecanismo de trauma dessas fraturas envolve
Provas
Caderno Container