Foram encontradas 933 questões.
Uma paciente de 40 anos de idade, advogada, compareceu ao consultório médico queixando-se de parestesia na mão esquerda, diuturna. Relatou que não consegue mais segurar objetos, deixando-os cair da mão com frequência. O teste de Durkan foi positivo.
Considerando que o exame mostrou uma compressão acentuada, assinale a alternativa correspondente ao tratamento adequado para o caso clínico exposto.
Provas
Uma paciente de 40 anos de idade, advogada, compareceu ao consultório médico queixando-se de parestesia na mão esquerda, diuturna. Relatou que não consegue mais segurar objetos, deixando-os cair da mão com frequência. O teste de Durkan foi positivo.
Acerca do mencionado caso clínico, o exame complementar diagnóstico que pode verificar a gravidade da lesão é a
Provas
Uma paciente de 40 anos de idade, advogada, compareceu ao consultório médico queixando-se de parestesia na mão esquerda, diuturna. Relatou que não consegue mais segurar objetos, deixando-os cair da mão com frequência. O teste de Durkan foi positivo.
Um dos principais diagnósticos diferenciais do caso é a síndrome do
Provas
Uma paciente de 40 anos de idade, advogada, compareceu ao consultório médico queixando-se de parestesia na mão esquerda, diuturna. Relatou que não consegue mais segurar objetos, deixando-os cair da mão com frequência. O teste de Durkan foi positivo.
Assinale a alternativa que apresenta o provável diagnóstico para o caso clínico citado.
Provas
Uma paciente de 40 anos de idade, advogada, compareceu ao consultório médico queixando-se de parestesia na mão esquerda, diuturna. Relatou que não consegue mais segurar objetos, deixando-os cair da mão com frequência. O teste de Durkan foi positivo.
Ao exame físico, notou-se a atrofia da região tenar. Nessa condição, espera-se uma redução da força de
Provas
Uma paciente de 40 anos de idade, advogada, compareceu ao consultório médico queixando-se de parestesia na mão esquerda, diuturna. Relatou que não consegue mais segurar objetos, deixando-os cair da mão com frequência. O teste de Durkan foi positivo.
No teste mencionado, é realizada a
Provas
Um paciente de 62 anos de idade foi vítima de queda da própria altura há cerca de três horas. Ele chegou ao pronto-socorro queixando-se de dor lombar de moderada intensidade.
Tendo em vista que houve traumatismo raquimedular, de acordo com a ASIA (American Spine Injury Association), o paciente classifica-se como ASIA
Provas
Um paciente de 62 anos de idade foi vítima de queda da própria altura há cerca de três horas. Ele chegou ao pronto-socorro queixando-se de dor lombar de moderada intensidade.
Considere que, no caso clínico relatado, houve lesão do muro posterior e retropulsão de fragmentos para o interior do canal medular. O exame neurológico evidenciou uma paresia da extensão do hálux à direita. Com base nisso, conclui-se que ocorreu uma lesão
Provas
Um paciente de 62 anos de idade foi vítima de queda da própria altura há cerca de três horas. Ele chegou ao pronto-socorro queixando-se de dor lombar de moderada intensidade.
De acordo com a AOOTA spine, é correto classificar a fratura de L3 como do tipo
Provas
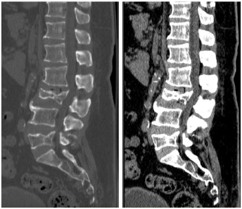
Um paciente de 62 anos de idade foi vítima de queda da própria altura há cerca de três horas. Ele chegou ao pronto-socorro queixando-se de dor lombar de moderada intensidade.

No caso descrito, foi solicitada uma TC da coluna lombar, conforme apresentado. Esse exame mostra fratura de
Provas
Caderno Container