Foram encontradas 1.460 questões.
Em relação ao teste de esforço com ECG, é correto afirmar:
Provas
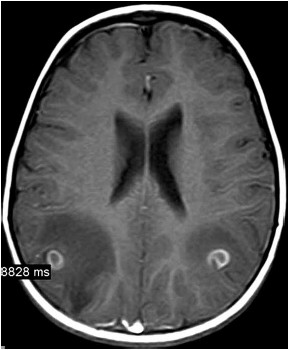
Homem de 45 anos apresenta o primeiro episódio na vida de convulsão focal seguida de generalização secundária. Não há comorbidade conhecida, trauma recente, febre ou algum sintoma sistêmico. Após o período ictal, a avaliação neurológica é normal. Não há febre e o exame físico não é contributivo. A ressonância magnética do encéfalo realizada é mostrada a seguir.

(Arquivo pessoal; imagem usada com autorização)
Considerando a principal hipótese diagnóstica, além de anticonvulsivante, a conduta inicial de escolha é
Provas
Mulher diabética de 48 anos com IMC de 48 kg/m2 apresenta história de menstruações irregulares e períodos de sangramento intermenstrual. Ela é nulípara.
Nessa situação, a investigação diagnóstica de maior utilidade é:
Provas
Mulher de 44 anos é avaliada com o relato de episódios ocasionais de palpitações e rubor com duração de alguns minutos. Esses episódios não têm nenhum fator precipitante óbvio e não são associados a nenhuma dor ou aperto no peito. Ao exame, ela apresenta discreto tremor de repouso e frequência cardíaca regular de 84 bpm; o restante do exame é normal. Perfil hormonal da tireoide (PHT): T4 livre: 1,57 ng/dL (normal: 0,7 a 1,8); TSH: 0,21 mU/L (normal: 0,4 a 5,5); anticorpo antirreceptor de TSH: negativo.
A conduta inicial de escolha para essa paciente é
Provas
Mulher de 22 anos apresenta uma história de quatro semanas de dor abdominal, mal-estar e fezes com sangue. Ela é submetida a uma sigmoidoscopia flexível com biópsias. Qual característica histológica tem o maior valor preditivo para o diagnóstico de colite ulcerativa ao invés de colite infecciosa?
Provas
Homem de 57 anos realiza o seguinte ECG como parte de uma avaliação de palpitações nas últimas semanas.

(Arquivo pessoal; imagem usada com autorização)
Considerando a principal hipótese diagnóstica, assinale a alternativa correta com relação a essa arritmia.
Provas
Criança de 4 anos é avaliada em consulta de rotina. A mãe está preocupada porque ele parece gostar apenas de brincar com seu trem de brinquedo e insiste em assistir ao mesmo filme todas as noites antes de ir para a cama. Ele frequenta a creche onde brinca com os brinquedos, mas não com outras crianças. Seu comportamento pode ser muito difícil de controlar às vezes. Ele não fala nenhuma palavra, enquanto os demais colegas da mesma idade falam frases. Ao examiná-lo, nota-se que ele não faz contato visual com você e empurra seu trem de brinquedo para frente e para trás no chão. O restante do exame é normal.
O diagnóstico mais provável é
Provas
Homem de 52 anos com diabetes tipo 2 foi recentemente diagnosticado com esteatohepatite não alcoólica com cirrose. Não há nenhuma característica clínica de descompensação. A endoscopia digestiva alta (EDA) mostra duas pequenas colunas de varizes esofágicas que se achatam completamente após a insuflação de ar; gastropatia hipertensiva portal leve, mas sem varizes gástricas.
Nesse paciente, a conduta mais adequada em relação à vigilância e/ou tratamento das varizes esofágicas é
Provas
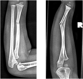
Criança de 4 anos de idade é atendida após queda de bicicleta com trauma em um dos braços. As radiografias anteroposteriores laterais são mostradas a seguir:

(Arquivo pessoal; imagem usada com autorização)
A principal hipótese diagnóstica é fratura
Provas
Mulher de 55 anos com doença renal crônica estadio 3b apresenta nível sérico de fósforo de 4,4 mg/dL (normal: 2,3 a 4,3). Nessa circunstância, é correto afirmar:
Provas
Caderno Container