Foram encontradas 1.460 questões.
A respeito da colecistite aguda alitiásica, assinale a alternativa correta.
Provas
No diagnóstico diferencial do abdome agudo, o cirurgião dispõe de exames auxiliadores no diagnóstico, como radiografias simples de abdome, ultrassonografia (USG) e tomografia (TC). Esses exames auxiliam ao identificar sinais de obstrução intestinal, presença de coleções abdominais, sinais de perfuração intestinal etc. Com relação a esse tema, assinale a alternativa correta.
Provas
O conceito de cirurgia de controle de dano (Damage Control Surgery) foi inicialmente desenvolvido por cirurgiões do trauma que observaram que alguns pacientes com politraumatismos graves eram mais bem tratados com uma abordagem cirúrgica estadiada, e não definitiva, visando ao controle de lesões com risco de morte iminente e postergando o tratamento definitivo de algumas lesões após adequada compensação clínica do paciente em regime de terapia intensiva. Esse princípio tem sido utilizado no trauma musculoesquelético, e atualmente, com os conhecimentos das fases da síndrome da resposta inflamatória sistêmica (SIRS), preconiza-se que
Provas
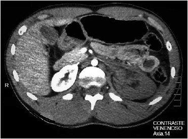
Homem de 55 anos, condutor de veículo, sofreu acidente automobilístico (colisão frontal auto versus auto) e deu entrada na emergência conduzido pelo SAMU 192. A equipe de plantonistas realizou o atendimento inicial de acordo com o preconizado pelo ATLS™:
- A: vias aéreas pérvias com colar cervical.
- B: ausência de alterações na semiologia cardiopulmonar; FR: 18 mrpm; Sat. O2: 96%.
- C: PA 110/75 mmHg; FC: 112 bpm; tempo de enchimento capilar < 2 segundos, ausência de sangramentos externos, pulsos normais, abdome tenso, doloroso à esquerda e sem sinais de irritação peritoneal; pelve sem alterações.
- D: ECG=15, pupilas isocóricas e fotorreagentes.
- E: escoriações em flanco esquerdo.
Foi realizado FAST (Focused Assesment with Sonography for Trauma), que detectou líquido livre no espaço de Traube. Foi realizada tomografia de abdome com contraste, cujo laudo revelou lesão do pedículo vascular esquerdo com hemorragia contida (imagem demonstrada a seguir).

(Arquivo pessoal; imagem usada com autorização)
Considerando-se o descrito no enunciado, a imagem apresentada e a classificação mais utilizada e adotada pela AAST (American Association for the Surgery of Trauma), assinale a alternativa que contempla o diagnóstico da lesão renal baseado na classificação da AAST.
Provas
Numa gestante de último trimestre de gravidez que sofre politraumatismo, compreender as alterações anatômicas e fisiológicas da gravidez, bem como a relação fisiológica entre uma paciente grávida e seu feto, é essencial para a melhor abordagem de ambos os pacientes. Diante dessa premissa, é correto afirmar:
Provas
A respeito das lesões do diafragma, assinale a alternativa correta.
Provas
As principais causas do trauma vascular são as de origem iatrogênica, os ferimentos por arma branca (FABs) ou por arma de fogo (FAFs) e os traumas fechados. Com relação a esse tema, assinale a alternativa correta.
Provas
A pressão de perfusão cerebral (PPC) deve ser suficiente para atender às necessidades metabólicas cerebrais. Não deve ser muito baixa, a fim de se evitar a isquemia, e nem muito alta, para não haver edema cerebral. A PPC é definida como:
Provas
No que se refere às malformações congênitas do pescoço, assinale a alternativa correta.
Provas
Com relação aos tumores da mama, assinale a alternativa correta.
Provas
Caderno Container