Foram encontradas 1.460 questões.
Paciente com paralisia cerebral fez gastrostomia endoscópica. No primeiro dia de pós-operatório, há um vazamento para a cavidade peritoneal. A melhor conduta é
Provas
Uma vesicostomia pode ser uma boa solução temporária para casos de Válvula de Uretra Posterior. Neste caso, o estoma deve ser posicionado
Provas
A síndrome de Leriche consiste em
Provas
Acerca dos enxertos cutâneos, assinale a alternativa correta.
Provas
A síndrome Prune Belly consiste na tríade de anormalidades descrita em qual das alternativas a seguir?
Provas
Com relação aos tumores retroperitoneais, assinale a alternativa correta.
Provas
A complexidade imposta pelas neoplasias pode ainda ter como catalisadores problemas de ordem clínica, como idade avançada, disfunções orgânicas (p. ex., cardíacas, respiratórias, renais, hepáticas, neurológicas ou endócrinas), estado nutricional precário e sarcopenia. Essas condições são associadas à queda de performance status, comumente avaliada em oncologia por escalas que funcionam como indicadores de risco clínico e ajudam na tomada de decisão dos cirurgiões. Dentre estas, a escala descrita em 1949, que emprega um sistema de escore que, dentre outros, classifica os pacientes em uma escala de 0 a 100, no qual 100 corresponderia à “saúde perfeita” e 0 à morte, é denominada
Provas
A respeito das hérnias lombares, assinale a alternativa correta.
Provas
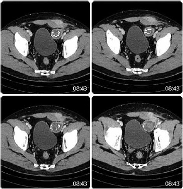
Homem de 35 anos foi submetido a uma herniorrafia inguinal esquerda pela técnica aberta/convencional de Lichtenstein. No 15º dia de pós-operatório, apresentou dor no local da incisão e sinais flogísticos locais. Foi realizada tomografia computadorizada (a seguir demonstrada).

(Arquivo pessoal; imagens usadas com autorização)
O diagnóstico do paciente é
Provas
Mulher de 67 anos, portadora de diabetes melitus tipo II, hipertensão arterial e insuficiência renal crônica (não dialítica) descompensadas, deu entrada na emergência com quadro de colecistite aguda grau III (de acordo com a classificação de Tokyo). Glicemia: 234 mg/dL; creatinina 2,6 mg/dL; ureia 248 mg/dL; PA: 85/54 mmHg. Considerando-se as classificações de ASA e a de Tokyo, o tratamento mais indicado para essa paciente deverá ser
Provas
Caderno Container