Foram encontradas 4.908 questões.
A Política Nacional de Atenção à Saúde dos Povos Indígenas integra a Política Nacional de Saúde e para a efetiva implementação e consolidação desta, deverão ser consideradas e priorizadas ações para situações especiais como, assinale a alternativa incorreta.
Provas
A paralisia de Bell acomete qual par dos nervos cranianos:
Provas
O nervo infra-orbitário, inerva as seguintes regiões:
Provas
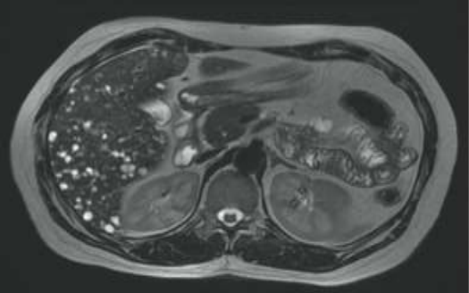
Analise a imagem de ressonância magnética ponderada em T2 e assinale o diagnóstico mais provável:

Provas
A prevenção de doença enxerto versus hospedeiro é feita com irradiação (para lesar o DNA dos linfócitos doadores) de todos os hemocomponentes transfundidos exceto:
Provas
Lesão hipoatenuante no lobo temporal, com realce pós contraste e hemorragia, à tomografia computadorizada é sugestivo de infecção do sistema nervoso central por:
Provas
Assinale a alternativa que apresenta qual a região dos ossos temporais mais acometida na otosclerose.
Provas
Sobre a murcomicose pode-se afirmar, exceto:
Provas
São achados comuns na doença de von Hippel-Lindau, exceto:
Provas
Assinale a alternativa que presenta qual desses achados deve ser incluído como categoria 3 segundo o sistema de classificação BI-RADS.
Provas
Caderno Container