Foram encontradas 4.908 questões.
A diarreia induzida por antibioticoterapia é uma manifestação frequente na faixa etária pediátrica. Em relação a este fato, assinale a alternativa incorreta.
Provas
Em relação às parasitoses em pediatria, analise as afirmativas abaixo e dê valores Verdadeiro (V) ou Falso (F).
( ) As helmintíases compreendem Ascaris lumbricoides, Hymenolepis nana, Trichuris trichiura e Necator americanos.
( ) Os testes sorológicos são úteis para diagnóstico de Strongyloides.
( ) Eosinofilia, hemoglobina ≤ 5g/dL e baixa concentração de ferritina podem ser vistas em pacientes com infestação maciça por ancilóstomo.
( ) Enterobíase (Enterobius vermicularis) acomete principalmente o intestino delgado proximal e determina manifestações diversas, tais como anorexia, náuseas, vômitos, distensão abdominal.
Assinale a alternativa que apresenta a sequência correta de cima para baixo.
Provas
A constipação é uma queixa frequente na rotina do gastropediatra. Quanto à definição de constipação, de acordo com os critérios de ROMA IV, analise as afirmativas abaixo e dê valores Verdadeiro (V) ou Falso (F).
( ) Três ou menos evacuações por semana.
( ) Retenção excessiva de fezes.
( ) História de evacuações duras ou dolorosas.
( ) História de evacuações cibalosas.
Assinale a alternativa que apresenta a sequência correta de cima para baixo
Provas
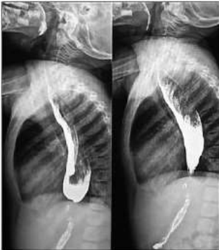
Menina de 8 anos apresenta, há 2 anos, disfagia, regurgitação e perda de peso. Há 6 meses apresenta dor retroesternal e pirose. Após anamnese, exame físico e exames laboratoriais, foi realizado o esôfago-estomago-duodeno (EED) contrastado, com as seguintes imagens:

Analise as afirmativas abaixo sobre a principal hipótese diagnóstica.
I. Esofagite Eosinofílica.
II. Acalasia do cárdia.
III. Doença do refluxo gastroesofágico.
IV. Estenose pilórica.
Estão corretas as afirmativas:
Provas
Em relação ao tratamento das alergias alimentares, analise as afirmativas abaixo.
I. Em bebês que desenvolvem sintomas quando alimentados com fórmula infantil, 80% respondem à substituição por fórmula de aminoácidos e poucos casos necessitam de fórmula extensamente hidrolisada.
II O uso de probióticos para o tratamento da proctocolite alérgica vem se mostrando benéfico para lactentes amamentados ao seio.
III. Por ser a proctocolite benigna e autolimitada, a reintrodução alimentar do alimento suspeito pode ser conduzida no domicílio, gradativamente, sob orientação do médico, quando este considerar que a criança, provavelmente, já tenha alcançado a tolerância, que costuma ocorrer até os 11-12 meses de idade, para a maioria dos pacientes.
IV. A dieta de exclusão de proteínas para a mãe visa a exclusão da ingesta principalmente da alfa-lactoalbumina, principal proteína com excreção mamária.
Estão corretas as afirmativas:
Provas
Em relação ao diagnóstico das alergias alimentares, assinale a alternativa correta.
Provas
Em relação as alergias alimentares, analise as afirmativas abaixo e dê valores Verdadeiro (V) ou Falso (F).
( ) A FPIES (Síndrome da enterocolite induzida por proteína alimentar) ocorre predominantemente em lactentes entre 2 e 6 meses de idade, associada à introdução de fórmulas lácteas e outros alimentos, sendo frequente em crianças alimentadas exclusivamente ao seio materno, por passagem de proteínas intactas via leite materno.
( ) As reações mediadas por IgE normalmente se manifestam por sintomas ocorridos pouco tempo após a ingesta do alimento, normalmente envolvendo a pele (urticária, angioedema), trato respiratório (tosse, sibilância, congestão nasal), sistema cardiovascular (hipotensão), podendo ainda se apresentar como quadro de anafilaxia.
( ) As reações mistas têm a participação do anticorpo IgE, linfócitos T e citocinas. Manifestam-se como gastropatias eosinofílicas (esofagite eosinofílica, gastrite eosinofílica, gastroenterite eosinofílica), dermatite atópica e asma.
( ) As reações alérgicas aos alimentos não mediadas por IgE ocorrem sem a participação da IgE específica e são decorrentes de uma reação de hipersensibilidade do tipo 1.
Assinale a alternativa que apresenta a sequência correta de cima para baixo.
Provas
A alergia à proteína do leite de vaca (APLV), também conhecida como alergia ao leite de vaca, é uma das alergias alimentares mais comuns em bebês, e geralmente aparece antes de 1 ano de idade. Sobre esta condição, assinale a alternativa incorreta.
Provas
Em relação ao diagnóstico diferencial das lesões hepáticas focais da infância, assinale a alternativa correta.
Provas
Diversas condições influenciam na modulação da microbiota intestinal e na saúde do hospedeiro, sendo o uso de probióticos uma estratégia para se alcançar a homeostase intestinal. A esse respeito, assinale a alternativa correta.
Provas
Caderno Container