Foram encontradas 2.178 questões.
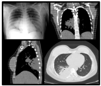
Paciente do sexo feminino, 41 anos de idade apresentou dor
torácica à direita, com 3 dias de evolução. Nesse período, houve
febre, mal-estar, astenia, mialgia e piora da falta de ar, o que a
motivou a procurar a emergência de um hospital. Foi admitida
com sinais vitais normais. Foram solicitados exames
complementares.
Três horas após admissão hospitalar iniciou quadro de palidez cutânea, extremidades frias, hipotensão (60X40mmHg), taquipneia (32 irpm), dessaturação (Sat O2 89%), falta de ar e fraqueza. Gasometria revelou acidose metabólica com alcalose respiratória compensatória (PH 7,42 | PCO2 23 | PO2 102 | HCO3 14,6 | BE -8,7 | LAC 5,5 | SATO2 97%). Exames laboratoriais com os seguintes resultados: HB 9,4 | HT 28,6 | LEUCO 11.250 | PLAQ 182.000 | K 3.8 | NA 133 | CR 1,14 | U - | LDH 403 | PCR 10,4 | Ca 8,2.
Foi providenciado acesso venoso profundo, hidratação vigorosa, prescrição de bicarbonato, oxigênio sob máscara de alto fluxo. Houve evolução clínica satisfatória com estabilização dos sinais vitais. Nova gasometria foi realizada 6 horas após: PH 7,44 | PCO2 32,3 | PO2 106,4 | HCO3 21,6 | BE -2 | LAC 4,27 | SATO2 97,4%.
Telerradiografia e tomografia computadorizada do tórax revelaram as imagens a seguir.
Com relação à prescrição de antibioticoterapia, a conduta inicial nesse caso é
Três horas após admissão hospitalar iniciou quadro de palidez cutânea, extremidades frias, hipotensão (60X40mmHg), taquipneia (32 irpm), dessaturação (Sat O2 89%), falta de ar e fraqueza. Gasometria revelou acidose metabólica com alcalose respiratória compensatória (PH 7,42 | PCO2 23 | PO2 102 | HCO3 14,6 | BE -8,7 | LAC 5,5 | SATO2 97%). Exames laboratoriais com os seguintes resultados: HB 9,4 | HT 28,6 | LEUCO 11.250 | PLAQ 182.000 | K 3.8 | NA 133 | CR 1,14 | U - | LDH 403 | PCR 10,4 | Ca 8,2.
Foi providenciado acesso venoso profundo, hidratação vigorosa, prescrição de bicarbonato, oxigênio sob máscara de alto fluxo. Houve evolução clínica satisfatória com estabilização dos sinais vitais. Nova gasometria foi realizada 6 horas após: PH 7,44 | PCO2 32,3 | PO2 106,4 | HCO3 21,6 | BE -2 | LAC 4,27 | SATO2 97,4%.
Telerradiografia e tomografia computadorizada do tórax revelaram as imagens a seguir.
Com relação à prescrição de antibioticoterapia, a conduta inicial nesse caso é
Provas
Questão presente nas seguintes provas
Várias estratégias são utilizadas para a profilaxia pré-exposição
do HIV, entre elas o uso da medicação injetável: o cabotegravir e
mais recentemente o lenacapavir, ambas possuem comprovada
eficácia conforme estudos conduzidos em vários países do
mundo. Constituem uma nova e potente ferramenta no controle
da transmissão do HIV, estes antirretrovirais impedem a
replicação do vírus a partir de múltiplos mecanismos de ação,
afetando etapas necessárias para o ciclo de vida do vírus.
O cabotegravir e o lenacapavir fazem parte, respectivamente, das seguintes classes de medicamentos:
O cabotegravir e o lenacapavir fazem parte, respectivamente, das seguintes classes de medicamentos:
Provas
Questão presente nas seguintes provas
As células dendríticas de Langerhans foram descritas pelo
patologista e fisiologista alemão Paul Langerhans (1847-1888).
Elas são células dendríticas cuja principal função é o
processamento e a apresentação de antígenos. Fazem parte da
linhagem mielocítica e na verdade são macrófagos intraepiteliais,
sendo importante componente do sistema imunológico.
Essas células são encontradas principalmente
Essas células são encontradas principalmente
Provas
Questão presente nas seguintes provas
Os lepidópteros da Família Megalopygidae (lagartas cabeludas)
apresentam cerdas pontiagudas, curtas e que contêm glândulas
de veneno, entremeadas por outras longas, coloridas e
inofensivas. As lagartas do gênero Lonomia apresentam toxinas
capazes de provocar envenenamentos moderados ou graves. Há
duas espécies descritas para o Brasil: L. obliqua e L. achelous, esta
última encontrada principalmente na Região Norte. O gênero é o
único, até o momento, responsável por manifestações sistêmicas
caracterizadas por quadros hemorrágicos.
Elas podem causar manifestações sistêmicas que se instalam-se algumas horas após o acidente, mesmo depois da regressão do quadro local.
Um trabalhador rural com 24 anos de idade, saudável, residente no Município de Manacapuru (AM), entrou em contato com uma lagarta ao cair durante a poda de arbustos. Foi encaminhado ao pronto socorro com lesão cutânea no antebraço direito, porém não foram detectadas manifestações clínicas hemorrágicas. Exames laboratoriais mostraram um TAP com 46% de atividade e um PTT com 52 segundos.
A conduta nesse caso é
Elas podem causar manifestações sistêmicas que se instalam-se algumas horas após o acidente, mesmo depois da regressão do quadro local.
Um trabalhador rural com 24 anos de idade, saudável, residente no Município de Manacapuru (AM), entrou em contato com uma lagarta ao cair durante a poda de arbustos. Foi encaminhado ao pronto socorro com lesão cutânea no antebraço direito, porém não foram detectadas manifestações clínicas hemorrágicas. Exames laboratoriais mostraram um TAP com 46% de atividade e um PTT com 52 segundos.
A conduta nesse caso é
Provas
Questão presente nas seguintes provas
Tifo epidêmico (Tifo europeu, tifo clássico; tifo transmitido por piolho; febre das prisões). Seres humanos são o reservatório natural para a Rickettsia prowazekii, que tem distribuição universal e é transmitido quando fezes de piolho são arranhadas ou esfregadas nos locais da picada ou de outras feridas (e, algumas vezes, nas mucosas dos olhos ou da boca).
Depois de um período de incubação de 7 a 14 dias, febre, cefaleia e prostração ocorrem de maneira súbita. A temperatura alcança 40° C em vários dias e permanece alta, com sinais leves de remissão matutina durante aproximadamente 2 semanas. A cefaleia é generalizada e intensa. Pequenas máculas róseas que aparecem do quarto ao sexto dia cobrem o corpo de modo rápido, geralmente nas axilas e na parte superior do tronco, normalmente excluindo as palmas, as plantas dos pés e a face. Mais tarde, o exantema torna-se escuro e maculopapular. Em casos graves, o exantema torna-se petequial e hemorrágico. Esplenomegalia pode estar presente. Hipotensão ocorre na maioria dos pacientes gravemente enfermos. Colapso circulatório, insuficiência renal, sinais de encefalite, equimoses com gangrena e pneumonia são sinais de prognóstico reservado. O controle de piolhos é fundamental para evitar a transmissão desta doença, que pode acometer crianças, jovens e adultos.
O antimicrobiano mais indicado para o tratamento do tifo epidêmico é:
Provas
Questão presente nas seguintes provas
A vacina BCG (Bacilo de Calmette-Guérin) foi desenvolvida em
1921 pelos cientistas franceses Albert Calmette e Camille Guérin.
Ela é composta por uma cepa atenuada da bactéria
Mycobacterium bovis, semelhante à Mycobacterium tuberculosis,
causadora da tuberculose em humanos.
A imunidade cruzada é fundamental na prevenção e confere 75% de proteção contra formas graves da tuberculose, como a meningite tuberculosa e a tuberculose miliar, mas não protege contra forma pulmonar. A vacina é administrada por via intradérmica, na inserção do musculo deltoide direito. Essa localização permite a fácil verificação da existência da cicatriz vacinal e limita as reações ganglionares a região axilar.
Está indicada a vacinação BCG
A imunidade cruzada é fundamental na prevenção e confere 75% de proteção contra formas graves da tuberculose, como a meningite tuberculosa e a tuberculose miliar, mas não protege contra forma pulmonar. A vacina é administrada por via intradérmica, na inserção do musculo deltoide direito. Essa localização permite a fácil verificação da existência da cicatriz vacinal e limita as reações ganglionares a região axilar.
Está indicada a vacinação BCG
Provas
Questão presente nas seguintes provas
As cirurgias estéticas são procedimentos complexos que exigem um profundo conhecimento técnico para sua execução. Na atualidade, a busca por esses tipos de procedimentos teve um aumento exponencial em todo o mundo, especialmente no Brasil.
Nesse contexto, [...] há uma carência de conhecimento nas boas práticas de prevenção de infecções e uma das consequências é o surgimento de vários casos de infecções cutâneas graves por micobactérias não tuberculosas, entre elas a Mycobacterium abscessus, uma espécie intrinsecamente multirresistente e de rápido crescimento, conhecida por causar infecções associadas aos cuidados de saúde e implicada em infecções de pele e tecidos moles após procedimentos cirúrgicos estéticos.
(adap. Saunders KE, Reyes JM, Cyril L, et al. Notes from the Field: Nontuberculous Mycobacteria Infections After Cosmetic Surgery Procedures in Florida — Nine States, 2022–2023. MMWR Morb Mortal Wkly Rep 2024;73:66–67. DOI: http://dx.doi.org/10.15585/mmwr.mm7303a4).
Infecções cutâneas comumente se manifestam com eritema, nódulos vermelho-arroxeados e abscessos indolores. Os sintomas clínicos incluem celulite, lesões papulosas, nódulos de coloração púrpura, abscessos, seio de drenagem, nódulos subcutâneos (pseudoeritema nodular) e úlceras. Assim, o tratamento adequado destas infecções é um grande desafio, pelas características de resistência aos antimicrobianos das micobacterioses, pela necessidade do uso de múltiplas drogas, pelo tempo prolongado de tratamento, custos elevados, efeitos adversos das drogas e principalmente pelo impacto psicológico decorrentes das lesões surgidas em locais onde se esperava uma correção estética.
Nesse caso, o tratamento mais adequado da infecção pelo M. abscessus é:
Nesse contexto, [...] há uma carência de conhecimento nas boas práticas de prevenção de infecções e uma das consequências é o surgimento de vários casos de infecções cutâneas graves por micobactérias não tuberculosas, entre elas a Mycobacterium abscessus, uma espécie intrinsecamente multirresistente e de rápido crescimento, conhecida por causar infecções associadas aos cuidados de saúde e implicada em infecções de pele e tecidos moles após procedimentos cirúrgicos estéticos.
(adap. Saunders KE, Reyes JM, Cyril L, et al. Notes from the Field: Nontuberculous Mycobacteria Infections After Cosmetic Surgery Procedures in Florida — Nine States, 2022–2023. MMWR Morb Mortal Wkly Rep 2024;73:66–67. DOI: http://dx.doi.org/10.15585/mmwr.mm7303a4).
Infecções cutâneas comumente se manifestam com eritema, nódulos vermelho-arroxeados e abscessos indolores. Os sintomas clínicos incluem celulite, lesões papulosas, nódulos de coloração púrpura, abscessos, seio de drenagem, nódulos subcutâneos (pseudoeritema nodular) e úlceras. Assim, o tratamento adequado destas infecções é um grande desafio, pelas características de resistência aos antimicrobianos das micobacterioses, pela necessidade do uso de múltiplas drogas, pelo tempo prolongado de tratamento, custos elevados, efeitos adversos das drogas e principalmente pelo impacto psicológico decorrentes das lesões surgidas em locais onde se esperava uma correção estética.
Nesse caso, o tratamento mais adequado da infecção pelo M. abscessus é:
Provas
Questão presente nas seguintes provas
A paragonimíase é uma infecção parasitária causada por vermes trematódeos do gênero Paragonimus, sendo o Paragonimus westermani a espécie mais comum em humanos, seus hospedeiros definitivos. Já foram descritos casos no Brasil.
O ciclo destes parasitos segue a seguinte sequência: ovos não embrionados eliminados no escarro (quando engolido, nas fezes), ovos embrionados no ambiente, miracídeos, infecção de caracóis (onde passam pelos estágios de esporocisto, rédias e cercárias. As cercárias deixam os caracóis e infestam um segundo hospedeiro (crustáceos de água doce como caranguejos ou lagostins) onde se encistam como metacercárias, sendo este o estágio infeccioso para porcos, cães, felinos e o homem.
A infecção humana por P. westermani ocorre pela ingestão de caranguejo ou lagostim que abrigam metacercárias do parasita inadequadamente cozidos ou em conserva. Após a ingestão, as metacercárias se desencistam no intestino delgado e liberam larvas que penetram a parede duodenal e entram na cavidade peritoneal. As larvas migram por aproximadamente uma semana, penetram o diafragma, entram na cavidade pleural e migram diretamente pelo tecido pulmonar para atingir os brônquios, onde formam cavidades císticas e se desenvolvem em vermes adultos em 5 a 6 semanas. Os parasitas adultos são marrom-avermelhados e ovoides, medindo 7,5 a 12 mm por 4 a 6 mm.
Os vermes adultos induzem uma resposta inflamatória nos pulmões, gerando um cisto fibroso que contém uma efusão purulenta e sanguinolenta e ovos liberados pelos vermes são eliminados no ambiente por meio da expectoração ou podem ser engolidos e eliminados com as fezes, fechando o ciclo de vida do parasito.
Assim, a primeira manifestação é uma pneumonia hemorrágica provocada pela migração das larvas; os vermes adultos se encistam, podendo cavitar o parênquima. Clinicamente tem um curso crônico, sendo a hemoptise o sintoma mais comum e pelo qual é chamada de "hemoptise endêmica”.
O diagnóstico é feito pelo achado dos ovos característicos no escarro e nas fezes humanas, existem ainda testes sorológicos e o principal diagnóstico diferencial é principalmente com a tuberculose. O tratamento é feito com praziquantel ou triclabendazol.
Sabe-se que o tempo entre a infecção e a oviposição é de 65 a 90 dias.
Nesse caso, as infecções por esses trematódeos em humanos podem persistir por até
O ciclo destes parasitos segue a seguinte sequência: ovos não embrionados eliminados no escarro (quando engolido, nas fezes), ovos embrionados no ambiente, miracídeos, infecção de caracóis (onde passam pelos estágios de esporocisto, rédias e cercárias. As cercárias deixam os caracóis e infestam um segundo hospedeiro (crustáceos de água doce como caranguejos ou lagostins) onde se encistam como metacercárias, sendo este o estágio infeccioso para porcos, cães, felinos e o homem.
A infecção humana por P. westermani ocorre pela ingestão de caranguejo ou lagostim que abrigam metacercárias do parasita inadequadamente cozidos ou em conserva. Após a ingestão, as metacercárias se desencistam no intestino delgado e liberam larvas que penetram a parede duodenal e entram na cavidade peritoneal. As larvas migram por aproximadamente uma semana, penetram o diafragma, entram na cavidade pleural e migram diretamente pelo tecido pulmonar para atingir os brônquios, onde formam cavidades císticas e se desenvolvem em vermes adultos em 5 a 6 semanas. Os parasitas adultos são marrom-avermelhados e ovoides, medindo 7,5 a 12 mm por 4 a 6 mm.
Os vermes adultos induzem uma resposta inflamatória nos pulmões, gerando um cisto fibroso que contém uma efusão purulenta e sanguinolenta e ovos liberados pelos vermes são eliminados no ambiente por meio da expectoração ou podem ser engolidos e eliminados com as fezes, fechando o ciclo de vida do parasito.
Assim, a primeira manifestação é uma pneumonia hemorrágica provocada pela migração das larvas; os vermes adultos se encistam, podendo cavitar o parênquima. Clinicamente tem um curso crônico, sendo a hemoptise o sintoma mais comum e pelo qual é chamada de "hemoptise endêmica”.
O diagnóstico é feito pelo achado dos ovos característicos no escarro e nas fezes humanas, existem ainda testes sorológicos e o principal diagnóstico diferencial é principalmente com a tuberculose. O tratamento é feito com praziquantel ou triclabendazol.
Sabe-se que o tempo entre a infecção e a oviposição é de 65 a 90 dias.
Nesse caso, as infecções por esses trematódeos em humanos podem persistir por até
Provas
Questão presente nas seguintes provas
LF-LAM (Lateral Flow Lipoarabinomannan Assay) é um teste
imunocromatográfico rápido para detecção do antígeno
lipoarabinomanano (LAM), trata-se de um componente da
parede celular de algumas bactérias que é filtrado pelos rins,
portanto, presente na urna de pacientes.
A principal indicação desse teste é para diagnosticar
A principal indicação desse teste é para diagnosticar
Provas
Questão presente nas seguintes provas
Em um hospital trabalha uma médica residente, com 26 anos de
idade, grávida do seu segundo filho, com 10 semanas de
gestação. Ela descobriu recentemente, no primeiro exame do
pré-natal, ser portadora do HIV, com contagem de linfócitos TCD4
270 células/mm3
, porém assintomática e já fazendo uso da
medicação antirretroviral.
Nesse caso, pergunta-se: está indicada a vacinação com a tríplice viral?
A resposta correta é:
Nesse caso, pergunta-se: está indicada a vacinação com a tríplice viral?
A resposta correta é:
Provas
Questão presente nas seguintes provas
Cadernos
Caderno Container